来源:影像医学
1
髋臼骨折
髋臼骨折最常见的类型是髋臼后壁骨折,几乎占髋关节骨折的 1/4,且常常合并髋关节后脱位。由于骨性结构重叠,可能肉眼看上去觉得非常轻微的骨折,事实却并非如此。髋臼后缘中断常常是髋臼后壁骨折的一个特征(图 2)。

图 2 为髋臼后壁骨折伴髋关节脱位患者。A 右侧髋关节 X 线片示股骨头后方可见一骨折线(箭头),髋臼后缘中断。B 左侧髋关节 X 片对照可见髋臼后缘连续(箭头)。C CT 三维重建图像示髋臼后壁缺损,可见旋转、移位的骨折块(箭头)
2
耻骨骨折
具有持续损伤因素的耻骨支骨折,可能看似轻微,尤其是合并骨质疏松的患者。因此,特别需要注意皮质缺损和骨密度改变。长跑运动员易发生耻骨应力性骨折,常常发生在靠近耻骨联合的下支。由于这些骨折为非移位骨折,所以常常被忽视。

图 3 自行车事故患者,侧方受力的髋臼前柱/耻骨骨折。A 正位平片示右侧髂耻线轻微中断(实箭头),此处异常最初并未发现。此外,右下方其实还有一处轻微耻骨支骨折(空箭头)。B 10 天后行骨闪烁显像证实了髋臼前柱骨折和侧耻骨下支骨折(箭头)。值得注意的是,左侧前柱亦存在异常
3
儿童撕脱性骨折
撕脱性骨折常在体育运动时由于肌肉强烈收缩引起。图 4 为容易发生儿童撕脱性骨折的部位。

图 4 儿童撕脱性骨折的危险区

图 5 儿童撕脱性骨折。正位片(A)和斜位片(B)示从髂前上棘撕脱的骨折碎片(箭头)。正位片(C)和另一个患者的蛙式位片(D)示右侧坐骨支皮质毛糙,腘绳肌腱撕脱损伤(如 C 和 D 空箭头所示)
4
股骨头骨折
股骨头骨折常与髋关节脱位有关。需要注意的是那些既不是因剪力损伤也不是因直接*力暴**作用导致的骨折。这些类型的骨折可能十分轻微。提倡应用 CT 检查,不仅可诊断骨折,而且能评估关节内骨折碎片的位置(图 6)。

图 6 股骨颈骨折伴髋关节脱位。A 股骨头上外侧轮廓缺失(空箭头)注意嵌入上方关节间隙的骨折碎片(黑色箭头)B 冠状位 CT 多维重建(MPR)证实骨软骨碎片(白色箭头)和关节上方的另一个碎片(空箭头)
5
股骨近端骨折
股骨颈骨折常发生在老年人,头下型骨折最常见,但是当股骨外旋或有明显的关节炎骨赘形成时,骨折较难发现。此外,肥胖和骨量减少增加髋部 X 片诊断难度,所以需格外注意。
因骨结构重叠影响,股骨转子骨折发生轻度移位时亦很难发现,加做一个不同角度的 X 线片有助于诊断(图 7)。

图 7 摔倒后股骨大转子骨折。A 正位片初步检查未发现明显骨折,进一步检查发现大转子上方皮质中断(箭头)。B 蛙式侧位片示骨折分离,尤其是后方(箭头)。初步检查时忽视了这一点,是因为股骨颈未能充分显示
6
股骨颈应力性骨折
股骨颈应力性骨折在参加耐力运动的运动员中常见,且常发生在股骨颈压力侧。股骨颈基底部发现一垂直于骨皮质的线性硬化带可诊断这种类型的疲劳性骨折(图 8)。

图 8 长跑运动员股骨颈应力性骨折。X 片(A)和冠状位 CT 多维重建(B)图像示穿过股骨颈内侧皮质中的透亮区(箭头),周围硬化。骨折垂直于皮质
股骨颈张力侧的应力性骨折有可能发展为完全骨折(图 9)。

图 9 进食障碍患者股骨颈应力性骨折的张力侧。A 正位片示股骨颈完全骨折。B 2 周前的 X 片示局部骨量减少,正是后来发生骨折的位置(箭头)

7
非典型股骨骨折
另一种易漏诊的骨折是非典型股骨骨折,这种骨折与长期服用双膦酸盐相关,常发生在使用双膦酸盐 3 年以上的患者。前驱症状表现为腹股沟痛或大腿痛的患者中,60%~70% 被错误地认为由腰背痛或髋关节炎引起。
这种骨折的一个典型表现为火山口状骨膜隆起及一横行透亮带。值得注意的是,超过 50% 的患者表现为股骨干完全骨折。由于 50%~60% 的患者会累及双侧,所以一旦一侧下肢确诊,需行对侧下肢检查。

图 10 老年患者长期服用双磷酸盐引起的骨折。A 髋部正位片,箭头所示,股骨外侧皮质存在横行透亮带。B 后续的股骨 X 线片示局灶性骨膜反应,以及此类骨折的特征性表现-火山口状骨膜隆起(箭头)。C MRI 冠状位 STIR 序列扫描示相应骨折平面的骨髓水肿表现
膝关节撕脱骨折和压缩骨折常伴发于韧带损伤,若想准确诊断,在了解这些骨折高发部位的同时,还需仔细认真地阅片,否则有些骨折就被漏诊了。
8 前交叉韧带胫骨髁间嵴撕脱骨折
前交叉韧带撕脱骨折常发生在胫骨髁间嵴(图 1)。这种骨折在青少年中常见,但在成年人中也并不像大家想象的那么少见。

图 1 摩托车事故患者前交叉韧带撕脱性骨折
A 正位片示胫骨髁间嵴底部骨折(箭头),注意别把这个骨折碎片错认为关节内结构。B 侧位片示胫骨上方可见一细长型骨折碎片(椭圆)。C MRI 矢状位 T2 加权像示前交叉韧带附着于撕脱的骨折碎片上(箭头),注意周围存在骨髓水肿和积脂血征(空箭头)。
9 股骨外侧髁凹陷征

图 2 扭伤后的股骨外侧髁凹陷征
A 侧位片示股骨外侧髁凹陷。B MRI 矢状位 T2 加权像示股骨外侧髁及胫骨后外侧骨挫伤(空箭头)。胫骨近端随着后交叉韧带撕裂发生移位,露出外侧半月板的后角(弧形箭头)。
10 胫骨后外侧碎片骨折
胫骨后外侧小片骨皮质的压缩性骨折,可能是旋转移位损伤的唯一证据(图 3)。这种骨折在常规膝关节平片很难发现,若怀疑存在骨折,行下肢内旋斜位片检查可诊断。

图 3 胫骨后外侧碎片骨折
A 正位片示胫骨后外侧处可见一压缩骨折的小碎片(方框)。这是胫骨撞击股骨外侧髁旋转移位时所致。B 另一位患者的 MRI 矢状位 T1 加权像示胫骨后外侧骨折碎片(箭头)。
11 Segond 骨折
Segond 骨折是发生在胫骨平台外侧的垂直撕脱性骨折(图 4)。这种骨折在前后位 X 线片上显示最佳。
屈曲位时膝关节受到内旋*力暴**作用,导致皮质骨撕脱性骨折,这种骨折常发生在运动员身上。常引起股骨内髁和胫骨平台后内侧骨挫伤,75%~100% 的患者伴前交叉韧带断裂,33% 的患者伴外侧半月板损伤。

图 4 一位足球运动员的 Segond 骨折
A 正位片示关节线下方胫骨外侧皮质撕脱(箭头)。B MRI 冠状位 T1 加权像示附着于髂胫带的骨折碎片(空箭头)。
12 反向 Segond 骨折
胫骨平台内侧皮质骨撕脱性骨折,被称为内侧 Segond 骨折或反向 Segond 骨折(图 5)。这种骨折的旋转机制与 Segond 骨折相反,该骨折与后交叉韧带断裂及内侧半月板损伤相关。

图 5 一位足球运动员的反向 Segond 骨折
A 正位片示关节线处的胫骨内侧见一细小骨折片(箭头)。B MRI 冠状位 T1 加权像示骨折片出现在内侧副韧带关节囊附着处(方框)。
13 腓骨茎突撕脱性骨折
为胫骨前内侧受到直接*力暴**作用,发生在腓骨茎突的横形骨折,可表现为弓形信号(图 6)。可伴发前交叉韧带或后交叉韧带的断裂。如果弓形信号被忽视或未处理,前交叉韧带的重建将失败。

图 6 跌倒后发生腓骨茎突骨折
A MRI 冠状位 T1 加权像示腓骨茎突撕脱性骨折(箭头)。弓状韧带附着于骨折碎片,而联合腱绕过外侧附着于其上。B 正位片见横形骨折线(箭头)。
14 后交叉韧带胫骨髁间嵴
后方撕脱性骨折
约 6% 的后交叉韧带断裂与撕脱性骨折有关。X 线片特征表现为膝关节侧位片上可见大小不等的三角形骨折碎片移位到关节内(图 7)。

图 7 车祸后的后交叉韧带撕脱骨折
A 侧位片示后关节间隙见一移位的三角形骨折碎片(箭头)。B 矢状位 MRI 图像示骨折碎片(实箭头)附着于后交叉韧带上(空箭头)。
15 腓骨头撕脱性骨折
膝关节外侧由髂胫束、股二头肌和肌腱、外侧关节囊韧带及外侧副韧带组成。外侧副韧带对抗过度内旋*力暴**,维持膝关节稳定。当内旋*力暴**足够大时,韧带断裂或腓骨头撕脱性骨折就发生了。在 X 线片上,骨折线垂直于股骨头外侧(图 8)。

图 8 过度伸展引起的腓骨头撕脱性骨折
A 侧位片示腓骨头外侧的垂直骨折(箭头)。B MRI 冠状位 T1 加权像示骨折碎片同时附着于外侧副韧带(箭头)和弓状韧带上(弧形箭头)。
以上病例引自 Radiol Clin N Am 53 (2015) 737–755,YU,Ohio。
膝关节容易漏诊的骨折,大多伴发于韧带损伤,如前后交叉韧带、关节囊韧带、弓状韧带、侧副韧带等。急诊处置膝关节外伤时,在 X 线片上需要特别留意各韧带起止点附近骨质的完整性,发现骨折的迹象需高度怀疑韧带结构损伤的可能。以 Segond 骨折为例,伴发前交叉韧带的几率在 90% 以上。
急诊科医生常遇到的一个问题是:踝关节疼痛。对于这类患者,想要分辨是否存在骨折,X 线检查是主要手段。然而,由于各种原因,有些踝部骨折非常容易漏诊。
首先,来看踝关节骨折的高危区(图 1)。

图 1 踝部探查模板。阅片时,需对踝关节的前后位片(A)、内旋转位片(B)侧位片(C)仔细阅读,逐一详细排查。上图中的骨折:1. 内踝骨折,2. 外踝骨折,3. 胫骨结节骨折,4. 胫骨后踝骨折,5. 距骨骨软骨骨折,6. 距骨外侧突骨折,7. 距骨后突骨折,8. 距骨舟骨关节背侧骨折,9. 跟骨前突骨折,10. 跟骨骨折嵌插入趾短伸肌,11. 第五跖骨底骨折
16 胫骨后踝骨折
涉及到三角韧带和外侧副韧带(LCL)的复杂性骨折常常不难发现,尤其是存在表面软策划肿胀时。然而,后胫腓韧带牵拉引起的胫骨后踝骨折则很难发现。这些骨折大小不一(图 2),却很重要,因为他们常与胫骨远端螺旋骨折有关,或者是三踝骨折的一部分。

图 2 胫骨后踝骨折。A 侧位片示来源于胫骨后踝的一个小骨折碎片(箭头),因踝部扭伤导致;B 另一位跖屈损伤的患者,侧位片示一个大骨折块(箭头)
17 胫骨结节骨折
Tillaux 骨折,是足外旋外展时,胫腓前韧带牵拉引起的一种胫骨结节撕脱性骨折。斜位片上可见典型表现(图 3)。

图 3 摔倒后胫骨结节骨折。A 正位片示一细小斜型骨折线(箭头);B 侧位片示正常;C 冠状位 CT 三维成像更清晰地显示了骨折线和骨折块大小(空箭头);D 矢状位 CT 多维重建图像示骨折位置(箭头)
18 距骨外侧突骨折
距骨外侧突骨折常因踝外翻背屈时,跟骨上外侧面撞击距骨外侧突下缘导致,或偶尔由踝内翻引起,被称为「滑雪板者骨折」。这种骨折只能在踝关节正位片上发现,而且外踝远端表面软策划肿胀往往是一个重要线索(图 4)。

图 4 距骨外侧突骨折。A 正位片示内翻损伤所致的距骨外侧突撕脱性骨折(箭头);B 另一位患者,踝外翻损伤导致典型的「滑雪板者骨折」,X 片上可见一较大的三角形骨折块(方框);C 第二位患者的 MRI 矢状位 T1 加权像示横行骨折(箭头)
19 距骨后突骨折
距骨后突有内侧结节和外侧结节,距骨后突内侧结节撕脱性骨折常发生在背屈内旋的*力暴**作用下。严重跖屈时,胫骨后缘和跟骨挤压距骨后突外侧结节呈楔形,易发生粉碎性骨折。这些骨折细微且需与三角骨鉴别。侧位片观察距骨后突骨折最佳,常规拍片很难发现,当高度怀疑这种骨折又没法做 CT 时,建议加做多个角度的外旋斜位片(图 5)。

图 5 距骨后突骨折。侧位片(A)和 MRI 矢状位 T1 加权像(B)均示后外侧突的简单骨折(箭头),再次阅片时才发现 X 线片上的骨折;侧位片(C)和 CT 横断面图像示后内侧突的粉碎型骨折(箭头)
20 跟骨前突骨折
呈 Y 形的分歧韧带附着于跟骨前突上,是维持踝关节跖屈和背屈稳定性的重要结构。跟骨前突骨折常发生于足跖屈内旋、分歧韧带被牵拉时,或者足背屈外旋、骰骨和距骨挤压前突时。而这些骨折在初次 X 线检查时常常被漏诊掉。踝部侧位片诊断这些骨折最佳,准确诊断的关键点在于,必须仔细查看是否存在骨皮质中断(图 6)。如果侧位片可疑,建议加做斜位片协助诊断。

图 6 跟骨前突骨折。A 侧位片示跟骨前突骨折(箭头),与舟骨的重叠使骨折显示模糊;B 另一位患者的侧位片示内翻损伤所致的骨折(箭头),这种损伤机制引起小块的骨折
21趾短伸肌跟骨撕脱性骨折
另一种重要的跟骨撕脱性骨折,于足内翻时发生在趾短伸肌的起点处。观察来自跟骨背外侧的、不同大小的骨折块,前后位 X 片最适合不过了(图 7)。

图 7 溜冰受伤的患者,趾短伸肌跟骨撕脱性骨折。正位片示 2 个骨折块(箭头)来源于跟骨前外侧、趾短伸肌的起点处。踝关节外侧远端是否存在软策划水肿是一个重点观察点
22 跗跖关节复合体(Lisfranc 关节复合体)损伤
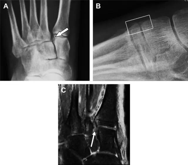
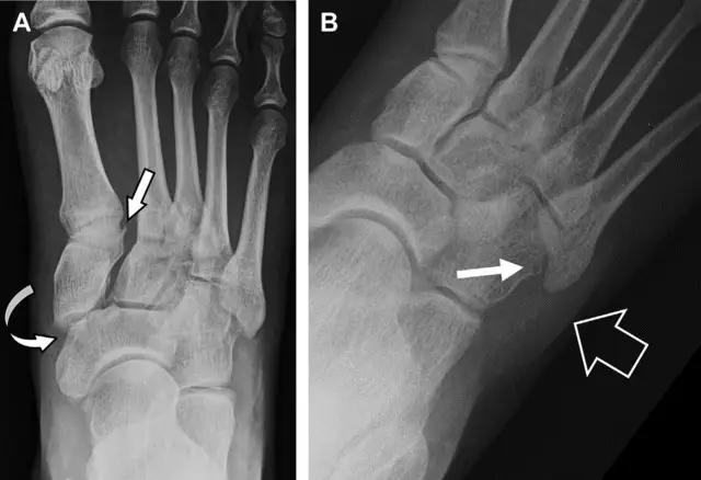
与跗跖关节韧带相关的骨折常由旋前或旋后的跖屈损伤引起。尽管跗跖关节骨折脱位仅占所有骨折的 0.2%,但是约 20% 的这些骨折在初次检查时被漏诊。初次 X 片可能示正常,但是负重位 X 线片常常提示脱位或半脱位。
典型表现:第二跖骨底和内侧楔骨之间的骨折碎片,跖骨间间隙增宽(图 8)。脱位亦可发生在舟骨-内侧楔骨关节,导致另一种变异的跗跖关节损伤(图 9A)。此外,骰骨的小块皮质撕脱在足部斜位片上可清晰显示(图 9B)。

图 8 从马上摔落的患者,跗跖关节骨折。A 正位片示内侧楔骨旁边的小骨折碎片(箭头),第二跖骨底向外半脱位;B 负重位侧位片示第二跖骨相对中间楔骨向背侧轻微移位(长方形);C STIR 序列 MRI 图像示跗跖关节韧带断裂(箭头),第一至第三跖骨、内侧楔骨及中间楔骨均骨髓水肿

图 9 变异的跗跖关节骨折。A 另一种类型的跗跖关节损伤,中间楔骨向内侧半脱位(弧形箭头),从而使第一、第二跖骨间间隙变宽,需注意,骨折在靠近内侧楔骨处(箭头);B 外侧跗跖关节损伤伴随从骰骨跖骨韧带的骰骨撕脱(箭头),需注意,第五跖骨底近端处存在软策划水肿(空箭头)
23 单纯肱骨大结节骨折
与其它肱骨近端骨折不同,单纯肱骨大结节骨折常发生于年轻人。肱骨大结节骨折常由撞击或剪切/撕脱损伤所致:
撞击包括直接撞击、肩峰撞击、上关节盂撞击(极度外展时);
剪切/撕脱损伤常发生于肩关节前脱位。
在常规前后位片上,大结节与肱骨头重叠,骨折不易发现,外旋位前后位片有助于诊断。

图 1 大结节骨折。(A)脂肪抑制序列斜冠状位 MRI,显示肱骨大结节线性骨折无移位(箭头)与周围骨水肿;(B)外旋位前后位(AP)片,证实大结节骨折(箭头),典型的骨折愈合过程中的骨吸收表现;(C、D)初诊时内旋位、外旋位前后位片,初诊时漏诊,仔细回忆影像,内旋伞下可见双密度影(椭圆),骨皮质中断(箭头)
24 无移位的桡骨头/颈骨折
多发生于摔倒时,手掌撑地,受到轴向、外翻应力所致。常规的前后位片容易漏诊,常需加拍内斜位、外斜位、桡骨头-肱骨小头位片。后脂肪垫可见(位于鹰嘴窝内,一般不可见)和/或前脂肪垫抬高常提示骨性损伤。

图 2 桡骨头骨折。前后位(A)和侧位(B)片示后脂肪垫抬高(黑色箭头),前脂肪垫抬高(白色箭头),呈「帆船征」,其它表现正常;外斜位(C)和桡骨头–肱骨小头位(D)示桡骨头关节内骨折线(虚线黑箭头)累及桡骨颈(虚线白箭头)
25 肩胛骨骨折
肩胛骨几何形状复杂,受到邻近其它骨性结重叠阻挡,且肩胛骨骨折少见,因此容易漏诊。当存在解剖变异时,诊断更为困难。

图 3 肩胛骨骨折正侧位片:由于骨块的叠加,(A)前后位片示「V」形高密度影(*),肩胛颈下方可见骨皮质碎片(箭头);(B)侧位片示骨皮质中断,骨折段移位,但由于肱骨的重叠遮挡,决断往往比较困难
26 喙突骨折
喙突骨折可发生于直接*力暴**、肩关节脱位过程的肱骨头撞击、以及撕脱骨折(肱二头肌短头、喙肱肌)。
其中喙突基底部骨折最多见,常发生于直接*力暴**或肱骨头前脱位,骨折可延伸至关节盂。
而撕脱骨折多为喙突尖部的骨折。需要加拍腋位和 Stryker 位片(X 射线束以喙突为中心并头倾 10°,手臂外展,这样可以避开骨性结构的阻挡)。
有时,负重位片可发现并存的肩锁关节脱位,将有助于诊断。

图 4 喙突骨折。66 岁男性患者,猎枪射击后右肩前方疼痛。(A)内旋位前后位片投影隐约可见喙突基底部骨折(白色箭头),(B)外旋位前后位片投影结构存在重叠,(C)腋位投影时可良好显示。(D~F)喙突骨折伴 Hill-Sachs 损伤:肩关节脱位后慢性疼痛,喙突骨折块(*)向前外侧移位(双箭头),在外旋前后位(D)及腋位(E)片上均可显示,在内旋位前后位(F)片上,喙突被遮挡,但可见肱骨头 Hill-Sachs 损伤。(G、H)喙突骨折伴肩锁关节脱位,肩锁关节分离(白色双箭头),而喙锁间距正常(黑色的双箭头),应警惕喙突骨折。(I)喙突与肩峰骨化中心:对于未成年人,喙突与肩峰骨化中心可同时存在,易与骨折混淆,此时,拍对侧的 X 线片对比将有助于诊断。
27 肩峰骨折
肩峰骨折为高能量损伤,多由直接*力暴**导致,好发于中青年患者,多伴有肩关节其它结构损伤。有必要拍摄 Rockwood 位(前后位片,X 线束尾倾),特别有利于显示肩峰下部及肩峰下间隙。

图 5 肩峰骨折。内旋位前后位(A)片上,骨折线几乎被喙突完全遮挡, 但是在标准前后位(B)和腋位(C)片上可见骨折线
28 骨折伴盂肱关节不稳
肩关节是最容易脱位的关节之一,肩关节脱位常伴随其它结构的损伤,如血管神经损伤、肩袖损伤、盂唇损伤、Bankart 损伤等。脱位本身诊断往往是明确的,容易被忽略的是其继发的伴随损伤。
需要仔细评估肱骨头、大结节、关节盂边缘、肩峰、喙突等结构。典型的 X 线投射角度包括:内旋位前后位片、外旋位前后位片(Grashey 位)、侧位(肩胛骨 Y 位)、腋位片以及改良腋位片。

图 6 肩关节前脱位伴有 Hill–Sachs 和 Bankart 损伤:(A~C)肱骨头后外侧撞击骨折,白色箭头所示为骨折的内侧边界;(A)内旋位前后位片,(B)「V」形压缩骨折的下边界(虚线短箭头),(C)Garth 位(轴向投影)示 Hill–Sachs 损伤(虚线和实线折箭头),特别是对骨性 Bankart 损伤的诊断有帮助。(D、E)MRI 进一步证实了损伤

图 7 肩关节后脱位伴有反 Hill–Sachs 损伤。(A)外旋位前后位片可见一硬化带(黑箭头),此「凹槽征」与肱骨头关节面平行;(B)腋位片进一步证实了骨折的存在
29 Essex-Lopresti 损伤
Essex-Lopresti 损伤是桡骨头骨折伴有下尺桡关节脱位,导致骨间膜损伤,桡骨短缩。此种损伤,桡骨头骨折的诊断往往是明确的,容易忽视的是下尺桡关节脱位,特别是早期,下尺桡关节的症状不明显,X 线表示也不明显。

图 8 Essex-Lopresti 损伤。前后位(A)和侧位(B)示桡骨头关节内骨折(白色实线箭头);(C~E)伤后 1 个月复诊,患者诉腕关节疼痛,X 线(C,D)发现下尺桡关节脱位,(E)CT 进一步证实损伤的存在
30 桡骨远端骨折
常规进行前后位、侧位、斜位 X 线检查,对于大多数桡骨远端骨折来说不容易漏诊;但是对于无移位的骨折,特别是桡骨茎突骨折,容易漏诊。桡骨茎突骨折是一斜行的骨折,常累及关节面,常发生于轴向应力或直接打击。

图 1 57 岁女性,摔倒后手掌撑地,桡骨茎突压痛。(A~C)前后位、斜位、侧位片示软策划肿胀(*)和发丝样骨折(白色箭头);(D~F)2 周后,前后位、斜位、侧位片示骨折线显明,由于新骨痂沉积而呈现透亮线与硬化线并存;(G~I)另一患者,桡骨茎突骨折在前后位及侧位片上显示不明显,而在斜位片显示更清楚
31 舟状骨骨折
舟状骨骨折 60%~70% 发生于腰部,15% 发生于近极, 10% 发生于远极, 8% 发生于远端关节面。除了常规的前后位、侧位、斜位片外,还需要拍专门的舟状骨位片(腕关节尺偏,以舟状骨为中心的腕关节前后位片),特别是鼻烟壶有压痛时。

图 2 舟状骨骨折 (A、B)第 1 例患者,舟状骨远极关节内骨折(白色箭头),斜位片显示较清楚(B);(C、D)第 2 例患者,舟状骨腰部骨折(虚线箭头),斜位片显示较清楚(D);(E~H)第 3 例患者,舟状骨近极骨折,常规 X 线片均未看到骨折,而在舟状骨位片上才能见到骨折(虚线圆)
32 掌板骨折
掌板是掌指关节和指间关节关节囊掌侧的纤维结构,防止关节过伸。掌板的远端部是增厚的纤维软骨,附着于指骨掌侧基底部,而其两侧与侧副韧带的纤维融合。掌板骨折多发生于过伸损伤,为撕脱性骨折。

图 3 掌板骨折(A~C)小指前后位、斜位、侧位片,由于骨折的部位及特点,在前后位片上通常难以发现骨折;放大后的斜位(D)、侧位(E)可见一骨碎片(白色箭头)
33 腕掌关节骨折脱位
腕掌关节骨折脱位为高能量损伤,常伴有神经损伤。腕掌关节组成骨多,侧位片上重叠遮挡多,骨折不易发现,容易漏诊。在前后位片上,关节面不平滑、关节间隙不对称、关节皮质破坏、关节面重叠常提示腕掌关节骨折脱位。特别是第 4、5 腕掌关节脱位,在前后位片上不容易发现;该损伤不稳定,也称为「变异型拳击手损伤/骨折」。

图 4 第 4、5 腕掌关节骨折脱位。(A)正常腕掌关节,关节面平衡起伏、平行;前后位(B)、斜位(C)、侧位(D),第 5 掌骨近端附近软策划肿胀(白色箭头),冠状面关节面重叠,背侧撞击剪切应力致钩状骨骨折(*),在前后位及斜位片上可见双密度影。第 4 掌骨底部可见微小骨折碎片(D,虚线箭头),第 4、5 掌骨掌侧成角。(E~G)变异型拳击手损伤:第 4、5 掌骨背侧脱位而未见骨折(E,虚线方框),钩状骨有骨折小碎片(F,短虚线箭头),第 4 掌骨基底部关节内骨折(G,长虚线箭头)
34 钩状骨骨折
钩状骨骨折可发生于体部和钩部,钩部骨折更多见,可合并有第 4、5 腕掌关节脱位。受伤机制由直接*力暴**或腕横韧带撕脱伤所致。骨折征象包括钩部无显示、骨皮质边缘模糊、硬化或双密度影等。常规的正侧位常无法明确诊断,需要加拍腕管位,可清晰显示其钩部。

图 5 打高尔夫球后腕部急性疼痛。常规腕关节 X 线片正常(X)。腕管位片(B)隐约可见钩部横行骨折(虚线箭头),CT 检查(C、D)进一步明确了诊断
35 三角骨骨折
三角骨骨折是除舟状骨骨折外腕关节常见的骨折之一。其背侧是背侧桡腕韧带的附着点,因此背侧骨折更常见。常规正侧位片基本可明确诊断。背侧骨折可在侧位片上看到一小骨块。

图 6 三角骨骨折。(A)前后位片骨折不明显,(B)仅在侧位片上见一小骨块(短箭头),伴有软策划肿胀(长箭头)。
36 腕关节不稳定与脆弱区
月骨周围脱位和月骨周围骨折脱位常发生于摔倒后手掌撑地,由过伸、轴向*力暴**所致。所谓的「脆弱区」包括桡骨茎突、大多角骨、舟状骨、头状骨近端、钩状骨近端、三角骨的月骨缘、尺骨茎突。

图 7 经舟状骨骨折月骨周围脱位(腕关节前后位、斜位、侧位)。(A,B)前后位、斜位示月骨腰部骨折(黑箭头),第 1、2 腕弧中断,舟状骨近极(*)仍在原位,而远极(虚线)背侧脱位
【版权声明】本平台属公益学习平台,转载系出于传递更多学习信息之目的,且已标明作者和出处,如不希望被传播的老师可与我们联系删除