导读
对于高足弓及周围神经病变的患者,除了腓骨肌萎缩症(CMT)还需考虑哪些疾病?如何根据临床表现和辅助检查进行鉴别诊断?最新一期Neurology(8月20日)临床推理报道了一例高足弓及神经病变的女性患者,一起学习一下其临床推理过程吧。

医脉通整顿编译,未经授权请勿转载。
病史和体格检查
患者为18岁女性,因神经病和震颤转诊。患者出生足月,于14个月时行走。患者行走时垫脚行走、且走路不稳,跑步时很难跟上同龄人。7岁时被诊断为注意力缺陷/多动障碍(ADHD),并且被发现有高足弓和脚跟行走困难。EMG和神经传导(NCS)显示脱髓鞘性神经病变。
根据病史和EMG / NCS表现,患者被诊断为Charcot-Marie-Tooth(CMT)病。症状在接下来的几年里不断发展,表现为容易绊倒、偶尔跌倒、跑步困难。患者可以在不使用扶手的情况下上楼梯,但下楼梯显得困难。双手震颤(左>右),接近物体时更明显;无感觉丧失、感觉异常、膀胱或肠道问题,无听力或视觉症状。患者于高中毕业并考进大学。家族史阴性。
神经系统检查显示意识状态正常、颅神经正常;未见异常眼球运动,皮质核束未见异常(下颌反射、呕吐反射、构音障碍或假性延髓麻痹);可见脚踝挛缩和高足弓;轻微下肢痉挛状态而无萎缩或肌束震颤,四肢远端肌力为5-;上肢肌腱反射2+,下肢3+;足底反射为伸肌反射。轻触、疼痛、温度和本体感觉完好,但脚趾振动觉稍减弱;小脑意向震颤(左>右)和指鼻试验稍不准,未见明显轮替动作障碍;步基增宽,串联步态受损。
问题思考:
1. 鉴别诊断有哪些?
2. 哪些检测可以缩小鉴别诊断范围?
鉴别诊断
患者的腿部有上运动神经元(UMN)征象(痉挛、反射活跃、足底伸肌反射),小脑征(意向性震颤、辨距不良、串联步态受损),振动觉受损以及高足弓。高足弓是一种固定的足部畸形,常与长期神经病变(遗传性或后天性)相关,可见于遗传性痉挛性截瘫[1-2]、弗里德赖希共济失调(FA)[3]和脊柱闭合不全(脊柱裂和脊髓栓系综合征)的患者。尽管在CMT中常见高足弓,但在CMT的脱髓鞘形式中反射活跃较少见。尽管罕见的CMT亚型可能具有锥体束征,但其最常临床表现为远端无力、萎缩和感觉丧失[1]。定位可能涉及后外侧索(皮质脊髓束+背柱)、震颤回路(双侧来自小脑核团、小脑至对侧丘脑腹外侧核的纤维束)以及脱髓鞘性多发性神经病或髓鞘病,但由于缺乏疼痛、无感觉水平或肠/膀胱受累,压迫性脊髓病变的可能性较小。
考虑到症状发作时的年龄,应考虑遗传性非压迫性脊髓病。遗传性痉挛性截瘫(HSP)是一组遗传性疾病,具有可变的遗传方式,由长度依赖性皮质脊髓束的轴索病变引起UMN体征[2]。临床上HSP可分为“单纯”型(明显的下肢痉挛、反射亢进、足底伸肌反射、泌尿系统症状和远端振动觉受损)和“复杂”型(神经病、癫痫发作、帕金森病、认知障碍、共济失调、肌萎缩、身材矮小、视觉或听觉异常)。HSP有时可与其他以小脑性共济失调、神经病变、运动神经元疾病、认知障碍和脑白质营养不良为特征的疾病重叠[2]。
该患者表现出复杂HSP(下肢锥体束征、小脑性共济失调和神经病)的临床特征。另一个需要考虑的是FA,是最常见的常染色体隐性共济失调,96%的病例由纯合子内含子GAA异常扩增所致[4],表现为共济失调、锥体束征(痉挛和足底伸肌反应)和感觉轴索性神经病变(关节位置和振动觉受损、反射消失),发病平均年龄为10-15岁 [3,5]。一些FA患者可以保留反射但脱髓鞘神经病变较少见。X连锁肾上腺脑白质营养不良的女性携带者可出现脊髓神经病[6]。多发性硬化症、脊髓小脑性共济失调以及影响小脑核团及小脑传出纤维的各种退行性、代谢性或肿瘤性疾病可引起意外性震颤。
该患者出现上下运动神经元受累、可能的小脑病变表现,提示可能存在神经代谢紊乱,如迟发性脑白质营养不良。脑白质营养不良是遗传性疾病,表型和基因型多样[6]。脱髓鞘神经病的存在可进一步缩小鉴别诊断[6]:X连锁肾上腺脑白质营养不良(女性患者的肾上腺脊髓性神经病变型)、Krabbe病(KD)、异染性脑白质营养不良、脑腱性黄瘤症以及Pelizaeus-Merzbacher样疾病(没有眼球震颤)。
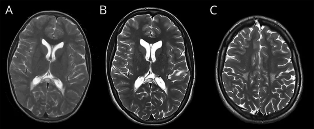
实验室检查显示血细胞计数、维生素水平(B12,叶酸,E)、乳酸、葡萄糖、肾、肝和甲状腺功能、C反应蛋白、高半胱氨酸、甲基丙二酸和铜均正常。排除了因B12和铜缺乏引起的脊髓病的可治疗原因;胆甾烷醇水平未检查。极长链脂肪酸正常,使得肾上腺脊髓性神经病变型的可能性较小。在第一次评估期间进行的脊柱MRI未见明显异常,为此未复查。头颅MRI显示胼胝体和侧脑室周围非增强、融合性对称性白质病变,与之前的MRI相比没有太大进展(图1)。
头颅MRI改变可能提示脑白质营养不良,但缺乏进展较少见。没有进行腰椎穿刺。NCS显示远端潜伏期延长和传导速度减慢,波幅无改变,类似于先前的检查并且与脱髓鞘神经病变一致。针肌电图显示胫骨前肌有轻度慢性神经再支配改变。电生理检查以及临床过程与遗传性脱髓鞘神经病变更一致,而非获得性脱髓鞘神经病变。针对CMT(PMP22、Cx32、MPZ、ERG2、NFL、GDAP1、LITAF、MFN2、SH3TC2和FIG4)的基因检测均为阴性。

图1 患者头颅MRI影像。T2显示脑室周围融合性白质高信号(A,B)和皮层投射纤维高信号病变(C;第一次扫描中没有这些变化)。A为2007年扫描结果;B和C为2018年扫描结果。
问题思考:
1.下一步该进行哪些检测以助确诊?
确诊
由于鉴别诊断广泛(复杂的HSP及脑白质营养不良),所以进行全外显子测序(WES)作为下一个诊断步骤。 WES鉴定出半乳糖脑苷脂酶基因(GALC)中的2个已知致病突变:母系遗传的外显子11-17(3'末端)缺失和父系遗传c.857G> A,p.G286D。GALC酶活性在血浆中较低,因此证实了KD。溶酶体酶筛选试验可用于诊断KD。患者接受了遗传咨询并转诊至遗传和代谢诊所进行进一步评估和管理。
讨论
KD(球形细胞脑白质营养不良)是由GALC基因突变引起的常染色体隐性溶酶体贮积症[7,8]。KD中溶酶体酶GALC的缺乏导致半乳糖神经酰胺和神经毒性半乳糖苷鞘氨醇在巨噬细胞(球形细胞)中累积,或者在神经细胞,特别是少突胶质细胞(中枢)和施万细胞(外周)中累积,反过来导致髓鞘的损伤[7]。
KD在美国新生儿的发病率为1/250,000。临床上KD可分为2种主要表型:婴儿期发病(<12个月,85%-90%),其特征是婴儿期进行性神经功能恶化并于2岁以前死亡;而晚发患者(> 12个月,10%-15%)疾病进展较慢[8]。晚发型患者可进一步细分为婴儿晚期(最迟3岁)、青少年(3-8岁)或成年期,临床上异质性较强且不太严重[7,8]。该患者符合青少年发病的KD。
6岁以上的儿童通常首先表现出行为症状(ADHD和情感障碍),其次是运动障碍[8]。经常在疾病发作后迅速恶化,随后逐渐进展[9]。据报道,患者存活时间可长达26年[10]。该患者在7岁左右出现ADHD症状,进展缓慢且认知功能保持不变。高足弓在诊断为KD之前已有报道(如我们的患者所见),并提示有周围神经病变。大多数婴儿型KD患者的NCS异常,疾病严重程度与脱髓鞘神经病变程度相关[10]。该患者7岁时有脱髓鞘神经病变,十年来保持稳定。大约一半的晚发性KD患者有p.G286D突变[8],如该患者中有所见。
KD的治疗取决于诊断时的年龄和疾病的阶段[8]。对于<6个月II / III期婴儿型KD的儿童,治疗主要是支持性治疗。通过产前检测(基于阳性家族史)或异常新生儿筛查确定无症状新生儿,然后进行额外检测并确认婴儿型KD,对于新生14天患儿可作为造血干细胞移植(HSCT)的候选者[8]。还有几种治疗方案尚处于临床前研究阶段,包括酶替代疗法、神经干细胞移植、底物减少疗法和化学伴侣疗法[8]。
尽管存在高足弓和脱髓鞘神经病变,如果有非典型临床表现和异常影像学时,需考虑CMT以外的可能。
参考文献:
[1] Barohn RJ, Amato AA. Pattern-recognition approach to neuropathyand neuronopathy. Neurol Clin 2013;31:343–361.
[2] Blackstone C. Hereditaryspastic paraplegia. Handb Clin Neurol 2018;148: 633–652.
[3] Harding AE. Friedreich’s ataxia: a clinical and genetic studyof 90 families with an analysis of early diagnostic criteria and intrafamilialclustering of clinical features. Brain 1981;104:589–620.
[4] Vucic S, Kennerson M, Zhu D, Miedema E, Kok C, Nicholson GA.CMT with pyramidal features: Charcot-Marie-Tooth. Neurology 2003;60:696–699.
[5] Synofzik M, N´emeth AH. Recessive ataxias. Handb Clin Neurol2018;155:73–89.
[6] K¨ohler W, Curiel J, Vanderver A. Adulthood leukodystrophies.Nat Rev Neurol 2018; 14:94–105.
[7] Won JS, Singh AK, Singh I. Biochemical, cell biological,pathological, and therapeutic aspects of Krabbe’s disease. J Neurosci Res2016;94:990–1006.
[8] Orsini JJ, Escolar ML, Wasserstein MP, Caggana M. Krabbedisease. In: AdamMP, ArdingerHH, PagonRA, et al, eds. GeneReviews. Seattle:University of Washington: 1993–2019.
[9] Fiumara A, Barone R, Arena A, et al. Krabbe leukodystrophy in aselected population with high rate of late onset forms: longer survival linkedto c.121G>A (p.Gly41Ser) mutation. Clin Genet 2011;80:452–458.
[10] Liao P, Gelinas J, Sirrs S. Phenotypic variability of Krabbedisease across the lifespan. Can J Neurol Sci 2014;41:5–12.
原文索引:
Jillian Alderson and Partha S. Ghosh. Clinical Reasoning: Pes cavusand neuropathy: Think beyond Charcot-Marie-Tooth disease. Neurology August 20,2019 93:e823-e826. http://n.neurology.org/content/93/8/e823.extract