我们有一双容易受伤的膝关节
● 跑步(尤其是长跑)可能导致:髂胫束摩擦综合征(跑步者膝);
● 骑自行车,滑冰可能导致:髌骨软化症
● 篮球、排球跳多了可能导致:髌腱末端炎(跳跃者膝);
● 篮球变向,足球射门又容易损伤半月板;
● 但如果一直不运动又会关节僵硬、肌肉萎缩......
一组我们碰到的关节肿胀、关节变形的案例:

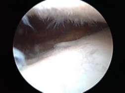
使用关节镜观察膝关节内部:

I度:探针可触及关节软骨软化,少量表面纤维化
膝盖,即膝关节,是人体最易被各种病痛创伤侵袭的关节之一。人类站立行走这一进化成果,使得膝关节需要在承受身体大部分重量的同时,还必须具备相当大的活动范围以便于个体的各种活动,如跑、跳、踢等。
为了实现稳定性与活动性的对立统一,膝关节进化成了人体最复杂的关节,具有了韧带、关节盘(半月板)、滑膜囊等多种特化的结构。额外的组成部件,增加了膝关节额外受损的危险。

图片来源网络,侵删!
传统的观念中,运动会磨损膝关节,是消耗膝盖“寿命”的行为。但实际上运动对于膝盖的作用非常复杂,一些竞技性运动如足球、篮球等确实有可能会对膝关节导致损耗,但运动不足继发的肌肉无力同样也会加速骨关节炎的发展。不论是运动过量,还是运动过少,它们都可引起膝关节疼痛。

图片来源网络,侵删!
膝痛原因多种多样
膝关节结构复杂,决定了可能引起膝关节疼痛的原因可能各种各样:关节内软骨的过度受力或受力不均匀、肌肉不正确的用力、肌腱被过度牵拉、关节周围软策划劳损等都可能是引发膝关节疼痛的原因。
而这些损伤除了受运动的强度影响外,也与运动姿势密切相关,所以除了广为人知的“伤膝运动”篮球、足球外,其他许多被认为强度较低的健身运动如慢跑、骑自行车、滑冰等,如果运动时姿势不正确,同样能对膝关节产生磨损伤害,甚至一些被认为是老年的养身运动如太极拳,在动作不标准,沉膝过深的情况下也会有引起髌骨软骨软化症的危险。

图片来源网络,侵删!
但如果因为担心运动导致的膝损伤而走向另一个极端——不动或尽量少动,依旧不能躲过病痛对膝盖的侵袭。与膝关节活动相关的肌肉如果长期得不到使用与锻炼,会逐渐萎缩无力,就无法在日常的站立、行走、上楼爬梯时保持住膝关节的稳定性,组成膝关节的骨骼间的相互位移会较正常情况下增大,碰撞因此增加,骨关节炎的发生的几率也随之增加。
膝痛共因——结构不稳
尽管多动少动,膝盖都痛,但若深究这些膝痛的根源就会发现,膝关节稳定性不足是它们的共同病因。
膝关节稳定性不足时,外力不能被有效的削减抵消,膝关节结构会在运动中产生额外的位移、摩擦。运动过量时膝痛是膝盖稳定性的相对不足,而运动不足则是稳定性的绝对不足。

图片来源网络,侵删!
所以对膝盖疼痛的预防措施可以归纳为两个:
一是:正确的姿势最重要
很多情况下作用到膝盖的外力会因为不当的运动姿势而增加,如果不愿意放弃自己喜爱的运动项目,一定要采用正确的姿势做运动,不仅减少易损部位的伤害累积,还提高了自己运动的专业水准。例如,下图的左侧姿势容易导致膝关节疼痛、而右侧:跑步时做到身体稍前倾、小步幅快步频、脚掌中部或全脚掌着地、步子轻盈、全身放松、双臂自然摆动就能避免许多对髋膝关节的伤害。

图片来源网络,侵删!
二是:增强膝关节稳定性
膝关节的稳定性有赖于周围的韧带、肌肉、肌腱等附属结构,当它们得到增强时,尤其是膝关节周围肌力足够强大时,就可以有效缓冲外力导致的冲击位移,减少关节损伤。增强髋外展和后伸肌群肌力量就是预防跑步者膝的一个好办法。

图片来源网络,侵删!
但要注意,对膝关节本身的锻炼动作同样也在对它施加外力,所以相关动作的负荷与频度需要从小开始,并确保一直处于膝盖可承受范围之内,更重要的是,锻炼后需要有足够的时间来休息——肌力的增强不是出现在锻炼进行时,而是在锻炼后的休息中。锻炼后的拉伸也必不可少,这是防止肌肉出现积累性损伤的最好方法

图片来源网络,侵删!
@头条健康 @青云计划 @头条健身
#清风计划#
PS:本文图片均来源于网络,版权归其所有,侵删!