
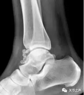
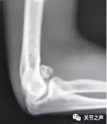
关节腔里的“珍珠”,就是我们常说的关节游离体,膝关节最多见,其次是肩关节。这种“珍珠”大多是一种良性肿瘤,叫滑膜软骨瘤病。

关节里长珍珠的症状:关节疼痛、卡压交锁例如:前不久,一位来自肇庆的许大姐因肩关节疼痛慕名来到暨南大学附属第一医院郑小飞主任门诊,X片显示他的肩关节长满了密密麻麻的“珍珠”。幸运的是,微创关节镜取“珍珠”是我们的看家本领,郑主任通过3个1cm的小切口就把他关节腔里的游离体全部取出,术后第二天开始康复功能锻炼。




除了肩关节,髋、膝、踝、肘、腕几乎全身各个关节都有可能长珍珠。



重要提示:关节腔游离体一旦发现,要尽早取出。
若等到疼痛症状非常严重、卡压交锁非常频繁时,关节内软骨大多已经磨损得非常严重了,继发导致的创伤性关节炎不可逆转。
试想,沙子一直在眼睛里揉着,石子一直在脚底磨着,总是不好的。
指导专家:

郑小飞,暨南大学附属第一医院华南运动医学中心主任。师从广东省医协会运动医学分会主任委员黄华扬、SuperPath微创髋关节置换的发明者James Chow教授、国际肩肘关节大师北美关节镜协会前主席、杜兰大学医学院运动医学部主任Felix Savoie教授以及亚利桑那州立大学骨科主任、NBA凤凰城太阳队首席医师Thomas Carter教授。
擅长关节镜下微创治疗肩周炎、肩峰撞击症、肩袖损伤、肩关节不稳等肩关节疾病;膝关节骨性关节炎、前后交叉韧带断裂、半月板损伤、软骨损伤、髌骨脱位、窝囊肿、滑膜炎等膝关节疾病以及肱骨外上髁炎(网球肘)、肘关节僵硬、踝及髋关节撞击综合征等关节疾病。