牙齿就是一把整容刀,许多明星容貌变美,被质疑整容的时候,都说自己只是矫正了牙齿,看来整牙真是堪比整容!这些明星自从整过牙之后,外貌改变真是有惊人的变化!
angel baby(杨颖):
baby整牙前,凤姐曾经晒出她的旧照,说跟她长得差不多。整牙后,简直是天仙下凡,差别如此之大,令人咋舌。

小S:
娱乐圈最出名的牙套妹,恐怕就是小S了。曾经的《小S牙套日记》记录了她带牙套上节目的种种心酸。如今拥有一口白皙闪亮的牙齿的她,走到哪里都充满自信笑容。

杨幂:
矫正之前的杨幂,前面的牙齿是往外凸的。矫正之后,牙齿变得整齐而且漂亮,脸型也有所改变。
孙扬:
孙杨的牙齿一直是他一个心病,也被外媒称为可怕的“鲨鱼牙”。他的牙齿参差不齐看起来很影响颜值,矫正过后露着一口整齐的大白牙,笑容变得超级自信,真是史诗般整容。

艾玛·沃森:
《哈利波特》赫敏的扮演者艾玛·沃森也矫正过牙齿,取下牙套的她立马就变成《美女与野兽》里迷人的公主了。

胡歌:
他也戴过牙套,在车祸休养期间,果然整了牙之后笑起来更迷人了。

林心如:
没想到林心如也有过小*牙虎**,不过整过牙齿之后,整个人更充满了知性美。

牙齿对一个人的外表有着举足轻重的影响。 “明眸皓齿”、“齿如齐贝”“束贝含犀”(牙齿如紧密排列的贝壳和瓠犀),这些词语就是从古至今对美人进行的一个“评判标准”。甚至有国外学者称,从一个人的牙齿能够看出他的家庭背景、生活环境等。
所以,牙齿对孩子真的十分重要,不仅影响外貌,整齐漂亮的牙齿会让孩子更有自信!
今天,我们就请到了北京圣贝口腔医院的徐瑞医生,来跟大家分享“地包天”等畸形牙齿矫正的相关问题。
孩子下巴太长?注意是不是“地包天”
生活中大家常常能看到,好多孩子是下颌牙覆盖上颌牙的这种现象,这种现象咱们称为“地包天”,也叫兜齿,我们临床上叫做反颌。反颌是现在我国很普遍的一种错合畸形。
这样的孩子下巴一般比较长,比正常人更为突出,从外观上很容易辨别。

小心这些不良生活习惯,会导致孩子牙齿畸形
一般导致反颌(地包天)这种畸形牙的主要原因有三个方面:
第一,是遗传因素。
一般如果我们发现孩子有兜齿、“地包天”这种现象,建议赶快去医院检查。如果家族里边有这种家族疾病,比如说父母、祖父母、外祖父母这些直系亲属有“地包天”的现象,那就要引起重视了。
如果有家族遗传的话,我们不能任其发展。一般建议在适当的年龄去医院进行矫正,这样能防止“地包天”的进一步发生。
第二种情况,就是全身性疾病。
如果孩子有扁桃体炎等呼吸系统方面的疾病,也很可能产生“地包天”。这种情况下一般都是建议先排除全身性疾病,然后再来治疗“地包天”。
第三,就是小孩们的不良习惯。
比如家长错误的喂奶姿势也会导致“地包天”。家长在喂奶时,如果奶瓶如拿得太高,幼儿就必须把下颌外伸才能喝到奶,久而久之,下颌就会较上颌更突出,形成反颌。
再就是让孩子养成经常吮手指、咬上嘴唇、咬物、吐舌、下颌前伸等不良习惯,以及奶嘴使用时间过长,都会引起“地包天”。
牙齿 “地包天”越早矫正效果越好
发现孩子有“地包天”这种现象的时候,家长一定要注意,它分不同的时期,有不同的做法。
1、婴幼儿时期
这个时期的“地包天”,一般都是由于不良的口腔习惯导致的,比如说错误的喂奶姿势。
这种情况,建议大家在3~5岁的时候去医院就诊,带适合孩子的功能性矫正器能达到很好的效果。一般在3~6个月内,孩子的下颌就能恢复到原来的位置,来破除“地包天”的这种现象。
2、5岁以上时期
如果错过了3~5岁这个最佳的矫正年龄的话,孩子已经发生了下颌骨发育过度,产生“月牙脸”的这种现象,这个时候家长千万不要放弃。
这个时间段的儿童配合度较高,一般是到医院,会做一种特制的矫正器,这种矫正器是把发育受限的上颌骨向前牵引,来促进上颌骨的发育,也能达到很好的治疗效果。一般戴这种特制矫正器的最佳年龄是6~10岁。
3、成年后
对于我们成人来说,已经错过了替牙期和儿童时期的最佳矫正年龄,那么这个时候我们也想纠正这样的错合畸形的话应该怎么办?
一般情况来说,只能进行外科手术,通过这样的方式来纠正错误的错颌畸形,从而来消除反颌。

因此,家长们发现孩子发生反颌的现象,一定要及时就医,在最佳的年龄做最好的治疗方式,不要为以后带来更大的痛苦。
还有很多畸形牙需要引起家长重视
在孩子成长过程中,除了会产生“地包天”这种畸形的牙齿外,还有很多非正常情况是需要注意的,家长最好每隔半年带孩子进行一次口腔检查,发现问题及时解决。
1、乳牙滞留

如果宝宝的恒牙已经萌出,乳牙却不肯“让位”脱落,就叫做乳牙滞留。
乳牙滞留的 原因通常有两个:
①恒牙先天缺失,导致乳牙到期不脱落。这种滞留的乳牙如果没有松动,也没有龋坏,而且其它恒牙的咬合关系良好的话,是可以保留使用的。
②一般认为,如果孩子缺钙,或者由于平时咀嚼的食物过于精细而没有充分发挥牙齿的生理性刺激,就容易出现乳牙滞留。后果就是孩子出现我们前面提到的“双排牙”。
解决办法:应尽早带孩子去看牙医,通常是要拔掉乳牙的。
2、多生牙

俗称“贼牙” ,就是多长出来的牙,可萌出或埋伏在骨中。由于多生牙额外增加了牙弓的牙量,所以经常引起邻牙的错位或阻荫。
解决办法:父母要随时留意,如发现可疑牙齿要及时看牙医,确定是否多生牙,如果未能及时铲除多生牙,会影响正常恒牙的萌出。
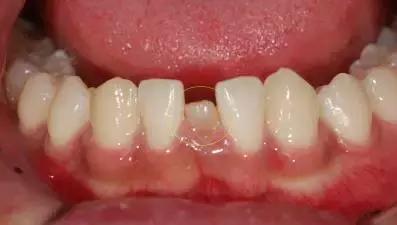
3、门牙间隙

孩子长出的上、下、中切牙(门牙)之间往往会有空隙,有的甚至呈八字形,这就是门牙间隙。
解决办法:通常情况下,等孩子长了侧切牙以后间隙就会自然消失,不必担心。当然也有少数的例子,是由于两颗门牙之间存在多生牙而导致门牙间隙,这个要通过照X光片检查确定后拔除多生牙来解决。
4、*牙虎**

恒尖牙因为最晚萌出,萌出时可能会因为前牙区牙槽骨的地盘被其它牙齿占据了,只能偏唇侧长出,形成*牙虎**。
解决办法:要注意的是,*牙虎**不能轻易拔除。因为尖牙是全口牙齿中牙根最长最粗壮的,它对食物的撕咬作用独一无二,如果没了它,孩子的咀嚼力下降,将来可能吃不了排骨、甘蔗之类的东西。
更多孩子牙齿健康问题,请看以下内容:
孩子牙齿磕掉就扔掉?恰当处理还能接好,你做对了吗?
六七岁时,父母一定要带孩子上医院做的一件事,错过易蛀牙!
保护孩子牙齿,这三次给牙齿做窝沟封闭的最佳时机,千万别错过