
髓样肉瘤(Myeloid sarcoma)是一种罕见的由髓系起源的未分化细胞组成的髓外局限肿瘤。 发病率仅占急性髓细胞性白血病(AML)的1%~2%。它在任何年龄均可发生,平均年龄33岁。
髓样肉瘤(MS)是AML的一种亚型,涉及髓外解剖部位。FUS-ERG基因融合可在急性髓细胞性白血病(AML)患者中检测到,其与不良预后有关。


一名48岁的男子因锁骨有肿块来院治疗,其有肺气肿的病史。入院前三个月,除咳嗽和锁骨处有肿块外,患者无其他不适。
氟代-正电子发射断层扫描(FDG-PET)/计算机断层扫描(CT)显示:在锁骨淋巴结FDG摄取增加,并且在前纵隔处有较大的肿瘤(图1的A-C)。

FDG-PET和CT扫描结果:FDG-PET / CT显示在前纵隔FDG摄取增加(A-C )。CT显示右*丸睾**肿胀(D)。头部MRI显示
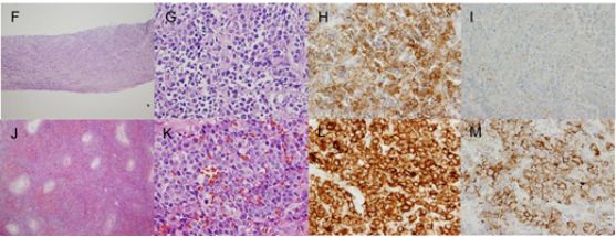
纵隔肿瘤病理染色结果显示有中等大小的肿瘤细胞弥漫性浸润(图1F和G)。
免疫策划化学染色结果表明,肿瘤细胞对CD1a,CD3,CD8,CD20和TdT呈阴性,而对CD4,CD43,CD56(图1H)和CD99(图1I)呈阳性。骨髓活检未发现有肿瘤细胞浸润。
因此,该患者被诊断为临床IIA期T淋巴细胞淋巴瘤,并接受了急性淋巴细胞白血病化疗方案的治疗。

H&E和IHC染色结果:在低(F)和高(G)放大倍数下的纵隔H&E切片显示有中等大小的肿瘤细胞弥漫性浸润,细胞
经化疗后,患者得到部分缓解。根据治疗方案,对纵隔肿块进行了30Gy/ 15Fr放射治疗(RT)。但不久后在辐照边缘检测到肿瘤复发。因此,对病变部位又进行了额外的36 Gy / 18 Fr RT治疗,并增大了辐照面积。
在治疗后第10个月,患者出现了右侧*丸睾**无痛肿胀。因此,患者进行了*丸睾**切除(图1D)。*丸睾**肿块病理学检测结果显示,在*丸睾**中有中型至大型非典型细胞弥漫性基质浸润(图1J和K)。免疫策划化学分析显示,肿瘤细胞CD3,CD20,CD68(PGM1)和TdT染色呈阴性,而CD4,CD56,MPO(图1L)和CD34(图1)染色呈阳性(图M)。回忆性检查治疗前的纵隔切片,确认MPO阳性。
患者无神经系统疾病症状出现,但脑脊液检查显示有髓母细胞浸润,于是使用大剂量阿糖胞苷(HDAC)对患者进行治疗。
治疗期间,患者出现头痛症状,经头部核磁共振成像(MRI)检测,在脑部有多个实质性肿块,表明MS侵袭脑策划(图1E)。因此,患者接受了30 Gy/10 Fr全脑RT,并在鞘内(IT)注射了阿糖胞苷。
患者经3个疗程的HDAC和IT阿糖胞苷治疗,疾病达到了完全缓解(CR)。但患者随即出现了急性肾功能衰竭。腹部CT结果显示,由于腹膜后肿块引起肾积水。穿刺活检显示MS复发。此外,患者胸膜和心包内出现积液。心包积液细胞的G谱带分析显示核型异常:47,XY,add(2)(q21),del(9)(q?),+10,t (16; 21)(p11.2; q22),add(17)(p11.2)/ 47和47,XY,add(2)(q21),del(9)(q?),+10,t (16; 21)(p11.2; q22),add(2)(p13)。
此外,初诊纵隔和复发*丸睾**的FISH原位荧光杂交检测结果中:FUS基因出现分裂信号(图2A和B)。逆转录聚合酶链反应(RT-PCR)和基因测序结果也表明:存在FUS-ERG嵌合基因转录组(图2C和D)。

此外,上消化道内窥镜检查显示MS侵袭胃部,出现肿块。
患者最终接受了挽救性化疗,并在部分缓解期进行了脐带血移植,但在移植后第64天患者死于严重的肺炎。尽管临床过程积极,但尸检结果显示左侧*丸睾**依旧有残留的肿瘤。

本报告中的患者被诊断为前纵隔原发性MS,在整个治疗期间肿瘤未侵犯骨髓,但多次在髓外部位复发。
该病理特征较为独特,因为MS通常会发生骨髓的淋巴细胞浸润。此外,原发性纵隔受累与AML的临床进程无关。因此,FUS-ERG基因融合可能是引起罕见临床特征的原因之一。
就转录本亚型而言,AML中已报道了四种类型的FUS-ERG嵌合基因转录本,该患者具有A型和B型亚型 。B亚型是通过帧内融合产生的转录本,常伴有t(16; 21)出现。A亚型是帧外转录本,通常是经选择性剪接产生。该患者在初诊和复发时均在切片中检测到ERG蛋白的高表达(数据未显示)。因此,推测融合蛋白在该患者的肿瘤中表达。
目前,尚未确定MS的最佳治疗方法。AML型化疗后再行RT局部治疗可用于MS治疗。
在本报告中,由于复发部位不在RT辐照范围内,因此RT对疾病的局部治疗是有效的。另外,若有合适的供体,同种异体造血干细胞移植(HSCT)对于MS治疗可能是有效的。
参考资料:
[1] 张克俭, 曾宪昌. 髓样肉瘤[J]. 临床血液学杂志, 2006(4): 250-253.
[2] Ryosuke Ueda, Dai Maruyama, Junko Nomoto,et al. FUS-ERG gene fusion in isolated myeloid sarcoma showing uncommon clinical features. Oxford Medical Case Reports, Volume 2016, Issue 1, January 2016, Pages 4–8.
[3] Wong WS, Loong F, Ooi GC, Tse TC, Chim CS. Primary granulocytic sarcoma of the mediastinum. Leuk Lymphoma 2004;45:1931–3.
[4] Yamamoto K, Hamaguchi H, Nagata K, Kobayashi M, Tanimoto F, Taniwaki M. Establishment of a novel human acute myeloblastic leukemia cell line (YNH-1) with t(16;21), t(1;16) and 12q13 translocations. Leukemia. 1997;11:599–608.
