葉子口腔科普
有的人笑起来,牙龈会大部分露出,大大降低了颜值水平。

就好像金姐形容的,“牙花子特别大”。

那么,笑露牙龈的人想要变美怎么办?给大家展示一位25岁的女性患者,因笑露牙龈就诊,进行正畸治疗变美的经过。
本文非治疗指导,一切以临床检查与治疗手段为准。
病史:
·25岁的女性患者,在转诊到John Graham医生这里之前,已经接受了2年正畸治疗。John Graham博士是一位正畸科医生,执业地点在亚利桑那州(Arizona)州。
· 此患者主诉说不喜欢看自己微笑时露牙龈。从下面的图片中,可以看出患者笑露牙龈非常明显;微笑时能看到牙龈露出1厘米还多。
· 初步的治疗方案是采用颌面外科手术以“抬高”上颌,进而减少笑露牙龈的程度。
· 由于保险等因素,此患者无法继续支付外科手术费用。因此,治疗方案需要改变。Graham医生提出使用暂时支抗装置(TADs---temporaryanchorage devices),从而抬高上颌牙列,矫正露龈笑。
· 下图(A,B,C)是患者刚转诊到Graham医生这里时的样子。(D)图,是在使用了TAD微型种植钉后,笑露牙龈有所缓解的相片。

虽然经历过此阶段治疗后,咬合及牙列情况比较令人满意,但微笑时依然露出大片牙龈,这是因为此种矫正方式本来应该在外科手术下进行(实际上并未进行)。治疗依然是要减少微笑时露出牙龈的面积。

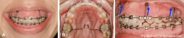
使用微型种植钉抬高牙列之前,咬合看起来还不错。

4颗微型种植钉提供了抬高的力,是为了抬高上颌牙列,然后降低微笑时露牙龈的度。
锥束CT(CBCT)图像

锥束CT图像(CBCT)呈现出微种植钉的位置。
(A)右视图、前视图及左视图。(B)咬合面视图,能看出微种植钉嵌在牙根之间。
锥束CT(CBCT)。最初及最终治疗阶段。

3D扫描下,牙列抬高前后牙齿垂直方向位置的变化(CBCT)。
最终治疗效果

(A)侧面轮廓。(B)正面轮廓。(C)正畸完成后的微笑。微笑时不再露出牙龈,而且没有进行外科手术!

最终的咬合情况

(A)正在治疗的牙齿。(B)治疗结束后。(C)接受激光重塑后,牙龈看起来轮廓更好了。同时,全科牙医在右上中切牙(门牙)上做了贴面。

(A) 为治疗前严重的笑露牙龈情况。(B) 图是治疗结束时的样子。(C)是在中切牙(门牙)上贴了贴面后的情况。同时,还需注意到,为了改善下巴的形态,采用了外科手段(下颏成形术)。
以上只是笑露牙龈的治疗方法之一。如果你有笑露牙龈,而且觉得是时候要改变了,请寻求医生的帮助,制定一套适合你的治疗方案。
来源:https://www.orthodontisteenligne.com/en/blog/19364/
译者:sizuka
审稿:葉子
编辑:Ida
分享 让更多的人变得更美
投稿、合作、加入:[email protected]