全能专家,烟酰胺
这两年,最火的成分是什么?烟酰胺,它称第二没人敢认第一。
2002年,宝洁公司的T Hakozaki在British Journal Of Dermatology 杂志发表了“Theeefect of niacinamide on reducing cutaneous pigmentation and suppression ofmelanosome transfer”论文,阐述了5%的烟酰胺可以阻断黑素小体向角质细胞转移,2%的烟酰胺在防晒产品里可以改善面部皮肤的外观。从这一年开始,宝洁发布了不下几十篇论文,将烟酰胺推上了神坛。
那么,烟酰胺真的这么神吗,还是被过度神化了?
答案是肯定的,烟酰胺还真的就是这么一个神仙成分,除了你了解的美白,它在皮肤护理中的功能多到需要两只手才能数过来。
十项全能烟酰胺
阻止真皮层内(由于日光照射导致)的胶原蛋白降解,抗老化
抗炎症,缓和痘痘的严重程度
减少日光导致的皮肤癌症风险(主要针对日光浴)
提高皮肤的屏障功能,增加表皮层的厚度
光滑皮肤
缩小毛孔
去黑斑和红斑,均匀肤色
减少皮肤皱纹
去黄
增加皮肤弹性
烟酰胺的神奇功效
烟酰胺是一种B组维生素。维生素的定义就是人体无法真正合成的,必须依靠体外摄入,对于人体新陈代谢的生化反应起到无法替代的作用的成分。

它主要的功能集中在,作为细胞能量代谢的重要辅酶NAD和NADP的构成成分,可以促进新陈代谢,有利于维持皮肤细胞的营养功能。
酶是皮肤细胞中的一种特殊蛋白质,如果没有酶,细胞内的化学反应就无法进行,细胞就会死亡,当然人也就死了。但是“酶”自己并不能开展工作,需要有别人来帮忙,这些帮忙的人中就有“辅酶”。
关于烟酰胺在皮肤护理中的应用,口说无凭,小编为大家搜集了一些证据:
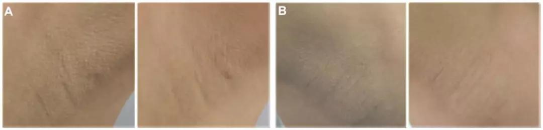
1,减少色素沉着
在一项针对腋下色素沉着患者的对照试验中,24例女性受试者分别使用4%烟酰胺乳剂和0.05%地奈德乳剂涂抹患处,9 周后,试验结果显示,烟酰胺和地奈德均能有效地改善腋下色素沉着,其中烟酰胺组有24%的受试者获得了显著改善,而地奈德组有30%的受试者获得了显著改善。

试验表明,烟酰胺和地奈德均能改善腋下色素沉着
2,治疗痘痘肌(*疮痤**):
分别外用5%烟酰胺凝胶和2%克林霉素凝胶,分别在第2、4、6、8 周时评估治疗效果,结果显示两者均能有效治疗寻常型*疮痤**,同时两组患者之间并没有显著性差异。在试验中也没有观察到明显的副作用产生。由于克林霉素等抗生素会产生耐药,而且克林霉素凝胶在治疗中可能引起皮肤发红、干燥等副作用,而烟酰胺外用较少引起副作用,即使发生也较轻微,因此烟酰胺凝胶可作为外用治疗寻常型*疮痤**的备选药物。

试验表明,烟酰胺与克林霉素凝胶在降低ASI方面无显著差异(P = 0.583)。克林霉素凝胶是常规抗生素药物
3,抗皱
在一项针对52例受试者的随机、双盲、对照试验中,比较了0.03%激动素+4%烟酰胺联用与单用4%烟酰胺对面部的除皱效果,经过12 周试验后,结果表明,激动素与烟酰胺对除皱有协同增效作用,两者的联用对皮肤起到了多重的抗衰老作用。

试验表明,激动素与烟酰胺对除皱有协同增效作用
在美白功能上,烟酰胺阻隔黑素小体转移到角质细胞的功效是超出预期的。但从黑素细胞里酪氨酸经酪氨酸酶催化合成,生成,分泌,转运到角质细胞的步骤来看,转运只是其中一部分。因此,烟酰胺的美白功能即使再强大也是有限度的,仅仅能够应对其中的一部分而已。
所以,配合赋活新肌粉膜中的抗坏血酸葡糖苷、谷胱甘肽、光果甘草根提取物,从多个反应过程达到美白的效果。还有甘草酸二钾这样能够抗炎的成分,来应对炎症导致变黑的问题。以及保湿、舒缓的成分,缓冲美白成分带来的刺激。

优秀的配方师设计出来的产品,都是整体考虑配方,既考虑效果也考虑温和度,而不只是一味的堆砌成分,搞噱头。
对于靠营销在短时间火起来的背景不明的产品,还是要细细考量是否真的值得去购买,不要让自己成为嗷嗷待“宰”的小绵羊,沉浸在营销中不能自拔。
在消费这件事上,动脑学习的时间和口袋里的“智商税”,总得交一个出去。

关于烟酰胺,你需要了解的问题:
烟酰胺容易过敏吗?
烟酰胺是少数几款被科学验证安全、有效的美白原料之一。
烟酰胺含量越高越好吗?
烟酰胺的基础起效浓度是 2%,要达到美白功效还需要 3% 以上,但也不是含量越高越好。据宝洁反复验证,产品里烟酰胺的添加量在5%左右最合适。烟酰胺的添加量超过5%之后,产品的美白功效也不能获得线性增长,同时会对皮肤导致刺激。
烟酰胺会让脸皮变薄吗?
果酸类原材料通过帮助皮肤去掉老化的角质层,从而使皮肤重回白嫩年轻状态。但烟酰胺让角质层更新的作用机理是促进新的角质层再生,以新换旧,用新的角质层换掉旧的角质层,自然不会像果酸类产品一样让皮肤越来越薄。