
前言:胸外科手术后乳糜胸并不是一个少见的并发症,但多见于食管手术过程中,肺手术相对要少一些,近些年随着早期肺癌发现的增多,肺手术量呈暴发增长的情况下,肺手术后乳糜胸的发生率也较以前有明显增加。出现乳糜胸后的处理也是胸外科医生比较纠结与棘手的问题。保守还是手术?手术怎么做?保守有哪些方法?效果如何?都在处理过程中做很难抉择的选择题。查找文献,综合来说,基本上是少量的乳糜胸(24小时约500毫升以内,不同文章报道可及出入)可以保守治疗,措施包括禁食、抑制消化液分泌、静脉营养支持、保持胸管引流通畅等;大量的乳糜胸(24小时在1000毫升以上)一般传统保守治疗方法容易失败,往往倾向手术。手术主要是右侧进胸膈上结扎胸导管,也有同侧进胸探查的;如果量介于两者之间,争议更大,有保守成功的经验,也有积极手术成功。但不可否认,还是会有一部分病人手术后仍引流量较多,没有达到预期立竿见影的效果。去年我们碰到一例左肺上叶术后乳糜胸的病例,处理过程中科内讨论多次、并同专业群里咨询上级医院老师同道多位、与患者家属反复沟通多次,最终在浙二医院范军强老师的指导下保守治疗成功,顺利出院休养。今天与大家分享治疗的过程,期望对各位同道发生同样的并发症时有所借鉴与帮助,更是可能让患者获益。
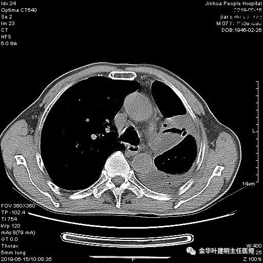
患者,男性,73岁,金华人。因“咳嗽咳痰伴胸闷2月,检查确诊左肺癌1周”入院。气管镜: 气管支气管内较多脓性分泌物,左肺上叶前段管腔新生物,局部活检、毛刷。气管镜病理:(左肺活检)鳞癌。阅胸部CT见左上叶开口处新生物,考虑需左上叶袖式切除及淋巴结清扫。具体CT表现如下:









术前检查冠脉CT示:左冠前降支近段多发钙化斑块伴管腔重度狭窄(约85%),建议DSA检查。但追问病史以往平时无胸痛或胸闷症状,运动试验提示可疑阳性(上斜型压低),活动后胸闷气闭症状不明显,既往否认高血压、糖尿病。所以经过心内科会诊讨论,认为还是可以进行手术。术前冠状动脉CT示:




术前纤维支气管镜检查示:

通过其他必要的术前准备及检查无手术禁忌证后,于2019.5.30进行手术,胸腔镜辅助下小切口操作,为了便于袖式切除时下叶支气管与左主支气管吻合,在左上叶肺动脉及肺静脉离断后,彻底清扫了第4、5、6、7、10、11组淋巴结至骨骼化,由于下叶与膈面广泛粘连,未完全予以解剖分离。术中先切开上叶支气管壁,发现肿瘤未侵及上叶开口处,遂离断上叶支气管移去标本后,残端间断缝合并用带垫片缝针间断褥式缝合2针加固。手术顺利,术后生命体征平稳,次日晨胸管引流出血性液约200毫升。为直观呈现后续处理的过程,以下按时间顺序罗列:
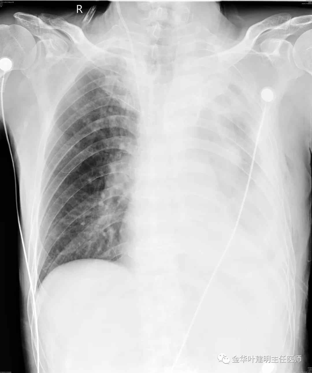
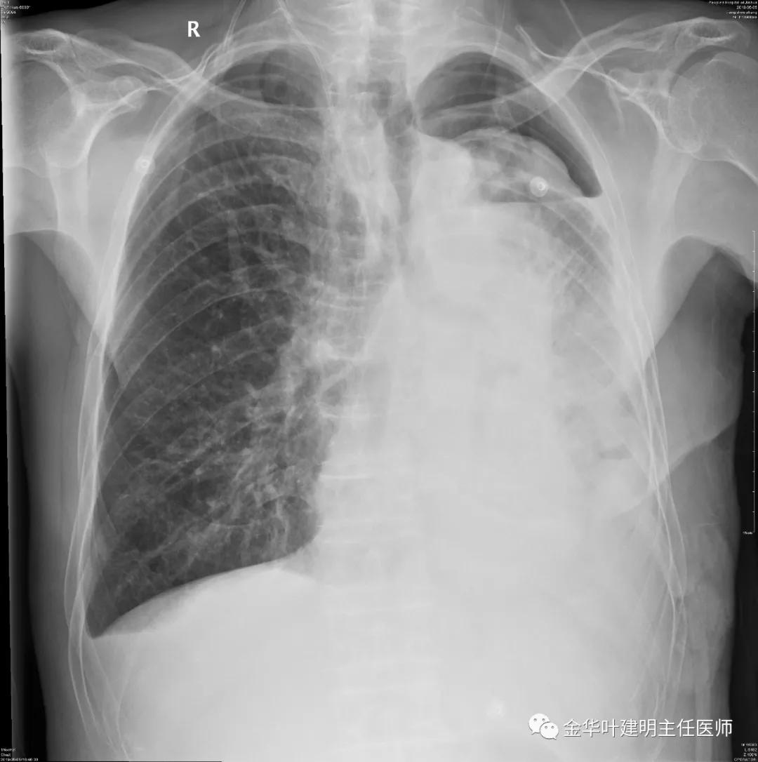
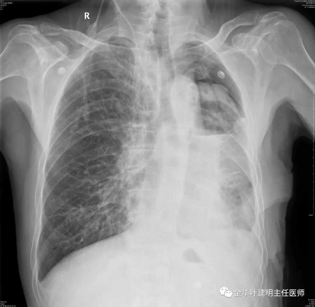
5.31下午7时,从早上开始算胸引700毫升,共900毫升;予以查床边,胸片,结果如下:

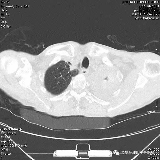
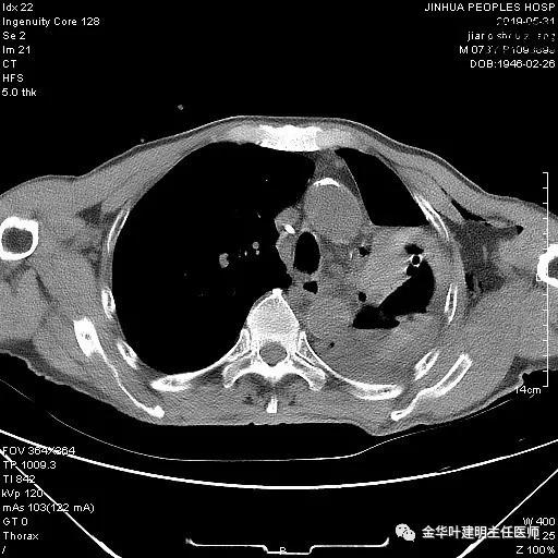
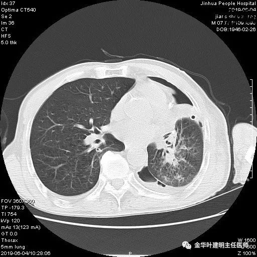
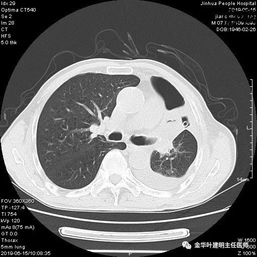
考虑左侧大量胸腔积液,遂进一步胸部CT检查:











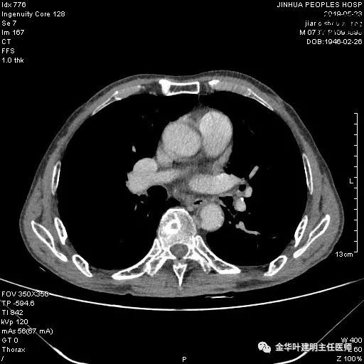
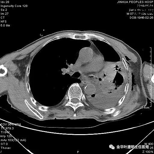
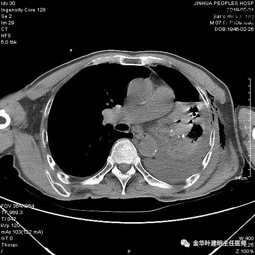
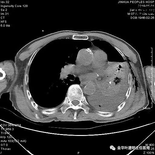
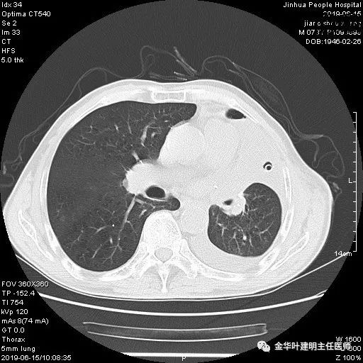
以上是肺窗表现,下面为纵隔窗影像:











因为引流出的胸液为血性,但感觉不是特别鲜,查血色素9.5 g/L,术前是12.7g/L。当时考虑胸腔内出血可能,较为纠结的是是否需要进胸探查。但鉴于血压正常、心率不快,一般情况良好,不似胸内大出血休克的表现,所以仍想继续观察保守治疗。
6.1上午:24小时胸液量约1700毫升,但血压一直较平稳,心率不快。发现胸液中有乳白色液体,静置下处于上层,考虑乳磨性胸液,故拟予以禁食,并使用生长抑素抑制消化液分泌,予以静脉高营养支持治疗;
6.2上午:血色素8.7 g/L,禁食下24小时胸引量仍达950毫升;此时知道不是胸内活动性出血,而是乳糜胸,相对来说,情况就没有大出血那么紧急。注意力转移到乳糜胸的处理上来;
6.3上午:24小时引流量1200毫升,试服泛影葡胺(我在专业群里咨询同道及老师,群里有老师提供经验,口服泛影葡胺可在部分病人中有效减少乳糜量,促进细的淋巴管闭合),但患者口服后胃肠道反应明显,只好中止。这天开始补充白蛋白,并加强静脉营养;
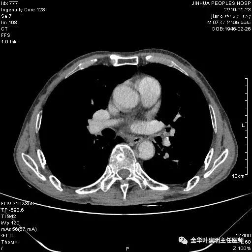
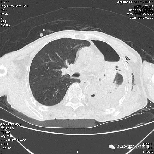
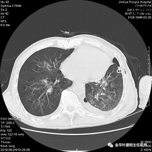
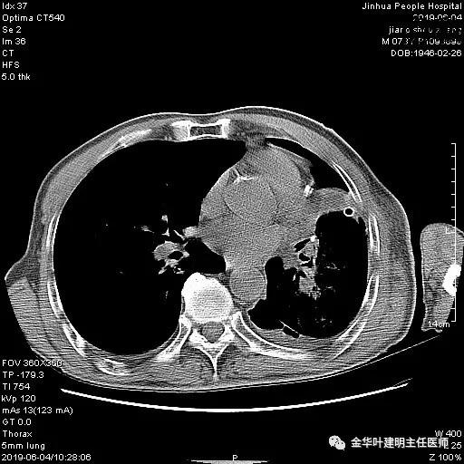
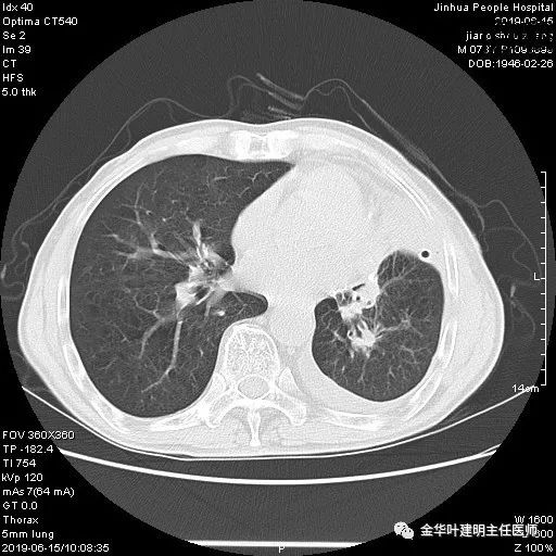
6.4上午:24小时引流出血性乳糜液1800毫升。是否再次手术进行右进胸胸导管结扎,抑或继续保守治疗非常纠结!压力非常大!!多方讨论会诊无法取得一致意见,但一般认为,引流量在1000毫升以上宜积极手术。情况与浙二医院范军强教授联系,请求指导,范教授认为左侧肺手术,损伤胸导管主干的机会较小,多数可保守治疗而愈。在他们的病例中,也有结扎胸导管后引流量仍无减少,效果并不能完全保证。建议可以考虑胸管夹管观察(因为淋巴管压力低,予以适当的压力,漏出量可能会明显减少),同时继续禁食,并静脉营养支持,引流管口可能会有渗液,注意更换敷料。与家属充分沟通后决定试夹管;这天血色素9.0 g/L;胸部CT复查示:




















夹管情况下,于6.5复查胸片:

感觉左肺密度还可以,肺没有被全部压萎陷,积液有,但不是特别多。
6.6下午:夹管已2天,生命体征平稳,无显著胸闷气闭症状,试放开胸管,引流出微混血性液650毫升。此时血色素9 g/L;
6.7上午:诉夹管下有胸闷不适,予以暂时放开,引流出血性液约650毫升许,胸闷缓解,继续夹管。鉴于引流量较前减少,患者非常渴望进食,试进低脂高蛋白饮食,同时仍静脉营养量不变。从4号开始夹管,到7号三天时间,共引流出1300毫升,相对于夹管前一天都达1500毫升上下,量明显减少,心里的压力也较前减轻,对保守治疗能愈的信心也明显增加了。
6.9下午:开放胸管引流出淡血性胸液500毫升后重新夹管;开放前于8号时复查胸片示:

6.11上午:鉴于进食情况良好,各方面征象胸液量无增多,予以鼓励增强进食,并减少静脉营养的量;
6.12上午:血红蛋白HGB:94 g/l;开放胸管引流出淡血性液400毫升后重新夹管;复查胸片示:

6.13上午:血红蛋白HGB:93 g/l;胸管开放引流;
6.14上午:开放后约24小时胸管引流出血性液240ml;
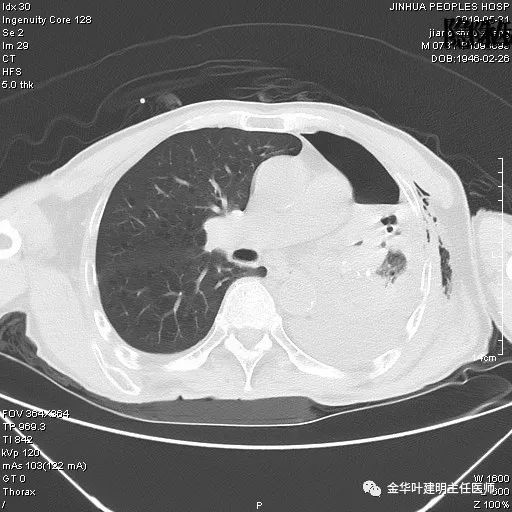
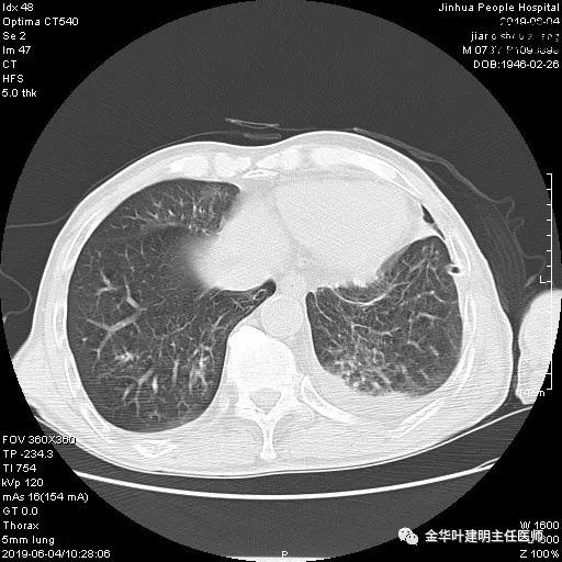
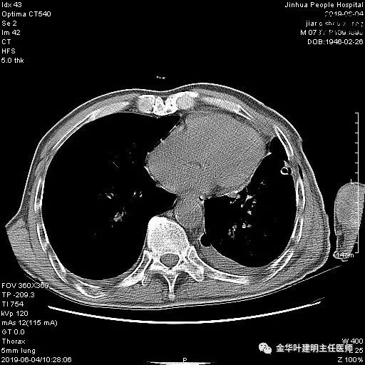
6.15上午:24小时胸管引流出血性液250ml;复查胸部CT示:
















6.16上午:24小时引流量110毫升;
6.17上午:24小时引流量90毫升;
6.18上午:24小时引流量280毫升;血色素9.4 g/l;停止静脉营养;
6.19上午:24小时引流量130毫升,拔除胸管。
6.21上午:观察了2天复查胸片或CT,无中等量以上积液,予以出院休养。
这个病例的治疗成功,在从术后确定乳糜胸以来,内心对于手术与否?何进介入手术干预?还是保守治疗及观察?保守治疗过程中需要注意些什么?整个过程是相当纠结的,好在期间一直与浙二医院范军强主任联系沟通,并得到他的悉心指导与讲解,在此特别表示深深的感谢,也对他乐于帮助基层医院胸外科医生的情怀深感敬佩!同时,感谢这个时代,信息咨询发达,微信图片、资料一发,远在千里之外也能实时沟通会诊及指导。
患者的术后标本病理:(左肺上叶)中低分化鳞状细胞癌,大小约2.5×2×1.5cm,气道内见肿瘤播散,支气管切缘阴性,支气管旁淋巴结未见转移(0/2),所送检第4组淋巴结见癌转移(2/4),第5组淋巴结未见癌转移(0/1),第6组淋巴结未见癌转移(0/1),第7组淋巴结未见癌转移(0/1),第10组淋巴结未见癌转移(0/2),第11组淋巴结未见癌转移(0/1)。我也在想,范教授也认可:如果没有对患者的淋巴结进行骨骼化的清扫,特别是第4组淋巴结如果未彻底清扫,也许就不会导致乳糜胸,但也很可能就漏了其N2淋巴结阳性的结果,从而对后续的治疗产生不利的影响。从这个方面来讲,并发乳糜胸似乎从整体病期的把握及后续综合治疗上来看,也不单纯是坏事。