近日,南方医科大学中西医院采用3D打印技术,协助一位左侧股骨头坏死患者成功实施左侧全髋关节置换手术,缓解患者20多年的疼痛,帮助她恢复正常行走。
26年前一起车祸,让邹阿姨的身体经历了多处创伤,骨盆骨折,膀胱破裂,小肠破裂,并患上继发性严重股骨头坏死。
20多年来,邹阿姨一直患有股骨头坏死。多年来,她一直无法得到医疗照顾。当疼痛难以忍受的时候,她就用抗炎针来减轻一点疼痛。在过去的两年里,由于疼痛的增加,邹阿姨无法走路。最后,邹阿姨被介绍去找南医科大学中西医科主任黄刚。
根据ct数据打印3d模型实现精确替换

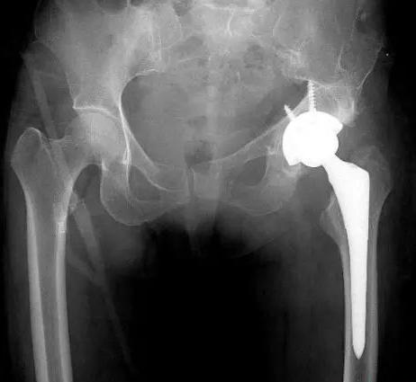
经X线和ct检查后来到医院,发现左股骨头坏死,形态异常,已经从正常位置移除,很难找到真正的髋臼、左髋臼形态,部分骨缺失。要彻底解决邹阿姨的问题,就必须进行人工替换。
但是,邹阿姨患病20多年,并且有失败史,手术难度系数较大,不能有任何偏差,略有偏差,严重可影响手术效果,留下后遗症。
本科策划主任黄主任,及时与病人和家人沟通,决定依靠先进的3D打印技术,术前规划为病人,准确定位髋臼,量身定做,准确的手术治疗。
黄主任首先对邹阿姨进行了ct扫描,将ct扫描数据转移到3d打印机上,根据1:1,3d技术打印同一髋关节模型。这个模型完美地显示了祖母的坏死关节、脱位程度和其他细节。
利用该模型,黄主任可以直观地了解邹阿姨骨性病变的三维结构,除了有助于制定详细的手术计划外,还可以利用该模型模拟手术前的截骨和固定,提前预览整个手术过程,预测复杂手术过程中可能存在的问题,从而提高手术的准确性,缩短手术时间,降低手术风险,减少并发症。
手术持续时间超过2小时,出血200ml,成功地为邹阿姨左侧人工全髋关节置换,将人工髋关节准确安装在祖阿姨真正的髋臼并做了固定。邹阿姨在手术后的第4天下了床。
据黄主任介绍,3D打印及计算机辅助手术个性化治疗程序是利用ct图像、三维重建、快速原型建立骨解剖模型和三维手术设计模拟技术,可以更加直观地观察手术前骨的结构,使骨的结构更加完整、直观、三维显示,从而准确地评估骨折、缺损等情况。
据白令三维了解,该技术可为疾病的诊断、分类、固定方法等选择提供充分、直观的依据,为临床医生提供更加直观、全面的术前规划和手术模拟,最大限度地发挥应对困难和复杂手术的能力,降低手术风险,是准确手术的准确体现。