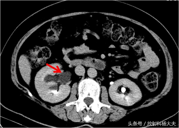
一56岁老年女性,因B超体检发现右肾积水入院。泌尿科大夫常规开了CT检查,试图找到原因。
通常成人肾积水的原因多包括:输尿管结石、输尿管肿瘤以及炎症、良性肿瘤、其他来源肿瘤或病变压迫所致等情况。
这个老太太做了CT,却发现了意想不到的问题,居然是宫颈癌侵犯右侧输尿管引起的积水!
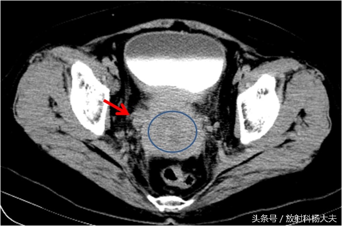
如下图就是宫颈的巨大肿瘤(圆圈所示),侵犯了右侧输尿管(红箭)。

引起了右肾积水。


在世界范围内,宫颈癌是女性第4位常见的 恶性肿瘤。2012年,全球全年发生宫颈癌528 000 例,年死亡数为266 000例。85%宫颈癌发生于发展中国家,并且在这些国家宫颈癌居癌症死因的首位。
宫颈癌早期没有症状,体征也不明显,因此体检后筛查尤为重要。常用宫颈细胞学检查,即阴道脱落细胞涂片检查,是目前筛选和早期发现宫颈癌的主要方法。
本例没有其他任何症状,而表现为肾积水,实属少见。
宫颈癌与高危型人乳头瘤病毒(human papillomaviruses, HPV)的持续感染相关,现在已有疫苗,被认为是可以预防的癌。(下图来自网络)

现在成人没有打疫苗机会了,那就注意体检!除了细胞脱落学检查,有条件的应该加做影像学检查,比如B超或MRI,才能做到早期发现,争取手术机会。
参考文献:
周晖,卢淮武,彭永排,等.《2015年NCCN 宫颈癌临床实践指南》解读. 中国实用妇科与产科杂志,2015,31:185-191.