腹膜、肠系膜、网膜
Peritoneum, Mesentery and Omentum
解剖
腹膜 :全身最大的浆膜。包括:
-
衬于腹壁下的壁腹膜
-
覆盖于腹部空腔及实质脏器表面的脏腹膜
腹膜腔 :两层腹膜之间的潜在间隙。
腹膜反折 使腹膜腔内的器官和内脏相连。
韧带 :以它连接的两个主要结构命名,例如肝十二指肠韧带、脾肾韧带等。
网膜 :连接胃与其他结构的韧带。
-
大网膜 :连接胃大弯和横结肠,有时下降进入盆腔;
-
小网膜 :肝胃韧带,从胃小弯向静脉韧带裂延伸,位于肝尾状叶和左叶之间。
肠系膜 :将一部分肠道与后腹壁相连。
腹膜间隙 :腹膜腔被腹膜反折分成多个间室和隐窝(图)。


腹膜腔 被横结肠及其系膜分为结肠系膜上和结肠系膜下两部分。
右结肠系膜上间隙
-
右肝周间隙:右膈下间隙、右肝下间隙
-
小网膜囊:上隐窝、下隐窝
左结肠上间隙
-
左前肝周间隙
-
左后肝周间隙(肝胃间隙)
-
左前膈下间隙
-
左后膈下间隙(脾周间隙)
结肠系膜下间隙
-
结肠下间隙:右侧止于回盲部、左侧开放于盆腔
-
结肠旁沟
-
盆腹膜腔:膀胱旁间隙、道格拉斯窝(直肠膀胱陷凹、直肠子宫陷凹)




腹水
正常腹膜腔内仅含有少量浆液(少于100ml)。
游离液体积聚超过这个数即为腹水。
腹水的CT值范围从0~30HU,是非特异性的,随蛋白质含量的增加而增加,出血时密度较高。
-
漏出液:可能与门静脉高压、肝硬化、心脏功能不全、肾病综合征或下腔静脉、肝静脉、门静脉阻塞相关。可以再腹膜腔内弥漫而没有显著的腹膜反应。
-
渗出液:可能与感染或腹膜转移相关。不能在腹膜腔内自由移动,而通常位于或被隔离在其来源区域。
-
积血:可能由创伤、出血性体质或肿瘤破裂引起。
-
胆汁淤积:可能来自胆管破裂;
-
乳糜液积聚:可能继发于淋巴管阻塞;
-
胰液积聚:可能是急性胰腺炎导致;
-
尿液积聚:可能是腹膜后尿瘤扩散;
-
积脓:可能源于内脏炎症,肠穿孔或手术。
发育/先天异常
1、旋转异常
肠系膜上动脉和静脉之间正常关系的颠倒,即动脉位于静脉的右侧,动脉周围的肠系膜扭转及缺乏正常十二指肠水平部是典型表现。
2、发育缺陷
腹内疝:内脏通过腹膜或肠系膜孔突出形成。
包括:十二指肠旁(53%)、盲肠周围(13%)、Winslow孔(8%)、肠系膜和结肠系膜(8%)、乙状结肠间(6%)、吻合口后(5%)疝。


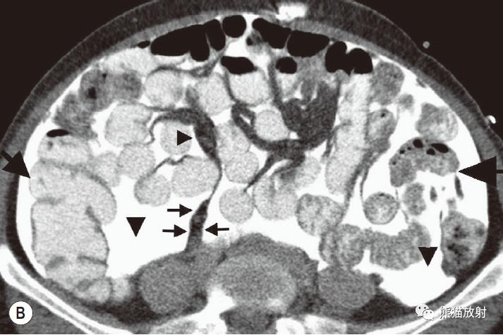
肠系膜疝。 扩张、充满液体的小肠襻丛位于前腹壁下的升结肠侧旁(箭),取代网膜脂肪。充盈的血管及邻近肠系膜模糊,折射了小肠绞窄性梗阻。
3、肠系膜囊肿
淋巴管瘤是最常见的肠系膜囊性病变;
肠重复囊肿、肠囊肿、间皮囊肿比较罕见。

肠系膜囊性淋巴管瘤 。增强CT示右腹部多房囊性肿块,可见菲薄分隔,占据小肠系膜。
整顿:熊猫放射
来源: 《格-艾放射诊断学》
【版权声明】本平台属公益学习平台,转载系出于传递更多学习信息之目的,且已标明作者和出处,如不希望被传播的老师可与我们联系删除