
据中老年口腔专科医师介绍,牙龈肿痛是中老年患者最常出现的一种口腔疾病,甚至有些老人由于治疗不及时,常常出现半边脸浮肿的情况。但对如何治疗牙龈肿痛,还需找到病源,对症下药。

牙龈肿痛的临床表现:
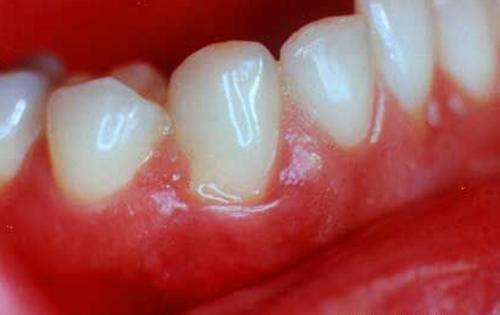
牙龈呈深红色或暗红色,肿胀肥大,龈缘圆钝,牙龈乳头呈球状。策划松软,探诊易出血,也可有脓性分泌物。严重者附着龈可因策划水肿,点彩消失,表面光亮,龈缘可有糜烂或肉芽增生,龈袋溢脓。急性牙周脓肿发病突然,牙龈红肿光亮,患处牙龈形成椭圆形或半球状的肿胀突起,未成熟时张力大,疼痛较明显,成熟后有波动感。患牙因牙周膜水肿而有“浮起感”,叩痛,松动明显。脓肿后期,脓液局限,脓肿表面较软,检查可见溢脓。可有局部淋巴结肿大,或有白细胞轻度增高。脓肿可自行破溃而消退。

若身体抵抗力降低时,可出现单发或多发性的龈脓肿,特别以龈乳头区较多见。若慢性牙周炎急性发作引起的牙周肿痛可伴牙齿松动。若是急性根尖周炎引起的牙龈肿痛可多可查及龋坏、隐裂等,并可有牙齿浮出感。牙龈肿痛患者多伴有牙龈出血、自觉牙龈发胀、口臭等。
引起牙龈肿痛的主要原因:

引起牙龈肿痛的原因主要包括牙龈脓肿、牙周脓肿、智齿冠周炎或根尖周炎等,最为常见是牙周脓肿引起的病症,年轻人多见智齿冠周炎。患者本身往往存在牙龈或牙周策划慢性炎症,当机体抵抗力下降,天气干燥,进食辛辣刺激的食物或患有全身系统性疾病,如糖尿病时,会导致原有慢性炎症急性发作,出现牙龈肿痛症状。
一般的牙龈肿痛由急性根尖周炎引起,具体治疗方法如下:
1 、急性牙周脓肿
(1)去除菌斑结石,牙周袋内清创引流或脓肿切排
(2)可考虑适当的咬合调整,并抗生素应用。
(3)在急性症状控制后应进行一个综合的牙周状况评估和系统的牙周治疗。
(4)脓肿未成熟前,可行洁治,袋内冲洗上药,必要时辅以全身用药。

2 、急性牙龈脓肿
1.去除相关的局部刺激因素。如去除嵌塞的食物残渣、消除充填体悬突和去除鱼刺等异物。
2.消除急性炎症和止痛。去除局部刺激因素后,应用抗菌消炎药物,如3%过氧化氢液或0.12%氯己定液局部冲洗,于龈乳头处涂敷复方碘剂液。
3.针对病因的治疗。龈乳头炎的急性炎症控制后,不仅要治疗原有的龈炎,还应彻底去除病因,如去除导致嵌塞的致病因素、修改不良修复体边缘和治疗邻面龋齿等。
附:生活中治疗牙龈肿痛的小妙招:

1、取大蒜捣烂,温热后敷在疼点上可 以治疗牙髓炎、牙周炎和牙痛等症状。
2、把味精按1∶50的浓度用温开水 化开后,口含味精溶液一会儿就吐掉。这样连续几次,坚持两天后牙痛就会好的。

3、牙疼的时候可以切生姜一小片咬在痛处,必要的时候可以重复使用,睡觉的时候含在口里也无妨。这是很安全可靠的一个验方。
4、取普通白酒100克放入茶缸里加上食盐10克;搅拌,等盐溶化之后放在炉子上烧开。含上一口在疼痛的地方,注意不要咽下去,牙痛就立刻止住了。
5、漱口:含一口水(温度接近体温),用力漱口。

6、按摩手:这方法可缓解50%的疼痛。取一块冰搓摩拇指与食指骨头相连的“V”字地带,轻轻地将冰块压在此部位5-7分钟。一 位加拿大研究员发现,60-90%使用这方法的人,牙痛因此而减轻。他的研究显示,这种磨擦法能 干扰牙痛神经冲动的 传导。
7、用冰块按摩合谷穴5分钟。