有很多家长,当狗狗到合适年龄后,会想要给它们找个另一半。并承担起老父亲、老母亲的责任,家长们也会期待抱上“孙子/孙女”…
通常,狗狗是自然分娩,但与人类似的是, 对于无法顺产的狗狗,以及其它特殊情况,就不得不选择通过剖腹产来解决。且对于狗狗来说,无论顺产还是剖腹产,都是不容易的选择,这个过程也并不是割一刀那样轻松的。

编辑
图|网络
今天为家长们介绍一则宠爱国际「张一凡」医生接诊的「 犬 剖腹产」病例,一起来了解下:

编辑
〖 宠 爱 国 际 病 历 本 〗

编辑
图|网络
- 宠物名:王百万
- 性别:女孩
- 年龄:4岁
- 品种:比熊犬
- 体重:6kg
主诉病史
夜里11点,突然发现孕期的狗狗,
阴道口漏出两个胎泡,
家长不放心带来医院,
之前在其他医院做过B超,
产检检查有3~4个狗宝宝。
医院检查
临床检查:体温39.9℃、呼吸急促、有间断性宫缩、胎泡无破裂。
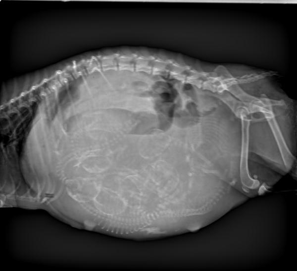
DR显示
6个胎儿胎位不正后脚朝下

编辑

编辑

编辑
B超显示小狗胎音均正常

编辑

编辑
初步诊断
狗狗同时两个胎泡流出,
DR显示有可能两个胎儿堵在阴道上端,
建议家长为狗狗选择剖腹产手术。
因考虑后期伤口护理问题先留院助产。
治疗方案
剖腹产手术
绝育手术
经过长达5小时左右,顺利助产生下5只健康的小狗,
后续因最后一只胎儿头颅卡在骨盆腔上端。
母犬反复宫缩和助产情况下还是无法顺产第6只胎儿,如果不剖腹长期会胎儿窒息并引发子宫问题。
难产是导致许多新生狗狗死亡的主要原因之一,某些迹象会表明狗狗生产遇到了危险,或是有并发症。难产的症状包括母犬乏力、恶露不断流出、毒血症、胎儿生产不出和生产时间超过4小时。这些情况都可能是致命的,需要进行紧急剖腹产来保证狗狗们的安全。

编辑
图|网络
后续通过剖腹产手术取出胎儿(胎儿呼吸较弱给予吸氧看护,后续恢复正常),连同做了母犬绝育手术减少后续发情问题和子宫问题。
如今狗狗状态恢复正常,基本无异常,吃喝正常,大小便正常,精神状态良好。像往常一样可以活蹦乱跳。

编辑
病例讨论
剖腹产
剖腹产,一种在分娩过程中手动将未出生的胎儿从子宫中取出的外科手术。与顺产不同,剖腹产是通过切开子宫进行安全快速的分娩,通常不会对怀孕的母狗导致影响。
剖腹产术的适应证是治疗或预防难产。
难产可以因母体因素,如宫缩乏力或骨盆腔狭窄,或胎儿因素,如胎儿畸形或胎位不正所致。另外,可以提前选择进行剖腹产术,主要是骨盆窄小的短头品种,如斗牛犬,因为它们的头部太大,很有可能会难产,以及有难产史的动物。
术后应监测:母犬是否出现体温过低、低血压、低血钙、排斥胎儿和乳泌缺乏。母犬的并发症可能包,出血、腹膜炎、子宫内膜炎、乳腺炎或伤口感染。

编辑
宠爱国际危急重症科
该科室设有急诊接诊,抢救监护,观察、创伤外科、清创手术、急诊病房、输液区等,还配备动物医疗车——“宠爱到家”。外科以手术治疗四肢、脊柱、骨盆创伤为特点,配合西药、中药、康复、介入治疗手段。医院现代化设备齐全,可实现高级兽医师24小时接诊,提供专业的救护服务。是抢救急、危、重患宠的前沿阵地,是救患宠于垂危的绿色生命站,是危重患宠的“救生艇”,是现代化医院综合实力的集中表现。
预防方案及康复后保健措施
剖腹产后的狗狗,家长应该如何护理?
①对产后比较挑食、胃口不好的母狗需要特殊照顾,要给它提供更多能量、营养更加全面的饮食。
②做好卫生,每次喂养幼犬前都要用温水毛巾把母犬的身子擦拭干净,因为刚出生的小狗狗没有抵抗力、容易生病。
③提供一个安静舒适的环境,不要让狗狗和幼崽进行独处,母犬可能会压到幼崽,可能还会因为剖腹产的原因,暂时对幼崽们还无法建立深厚的感情。
哪些情况下狗狗需要进行剖腹产?
通常是在紧急情况进行剖腹产手术,如:
①生产延误。始终没有生产的迹象,需带它去医院检查。
②难产。这时容易导致狗狗出现死亡情况,通常进行紧急剖腹产能够保证狗狗们的安全。
③胎儿过大。幼犬的头部偏大,会难以穿过产道,可能会卡住而引起窒息。
④子宫狭窄。母犬本身骨盆狭小,会使幼犬无法顺利生产。
⑤胎位不正。正常情况下幼犬在分娩的过程中是头部先出来,若是不正确的姿势往产道前进,很有可能会导致难产。
⑥出血、死胎。这种情况非常危险,可能会导致严重的并发症,如果母犬意识不清,就需要进行紧急干预。其中死胎会在体内分解腐烂,对母犬的身体导致伤害。
很多种特定情况下,需要进行剖腹产,而日常可增强狗狗身体素质,防患于未然。
好的,谢谢医生。
主治医师

编辑
坐诊时间
9:00-17:00(工作日详询电话)
宠爱国际动物医院杭州文晖路店
杭州市下城区文晖路129号
Tel:0571-86825129
家长们要知道,无论是剖腹产手术还是绝育手术,对于狗狗的身体都会导致一定的负担,所以在手术后,要进行悉心的照料,营养方面要跟上,最后祝狗狗们能够健健康康、平平安安。

编辑