
子宫腺肌症
子宫腺肌症(Adenomyosis)被喻为「不死的癌症」,是长期困扰、折磨女性的妇科常见病和疑难病。子宫腺肌症可导致经期延长、月经量增多、严重痛经和不孕,病情迁延不愈,且往往日益加重,给女性健康及生活导致极大的威胁!

有何保守治疗方法?
对于有明显痛经的患者,可以用激素治疗,如左炔诺孕酮缓释的宫内节育器(商品名:曼月乐),芳香酶*制剂抑**和促性腺激素释放激素类似物(GnRH-a)等。曼月乐主要的不良反应有月经紊乱、盆腔感染、节育器脱落、子宫穿孔等。
用药原则:能局部用药(曼月乐)控制症状的,尽量不全身用药;能选择长效制剂(GnRH-a)的,尽可能不选择每天口服的方案;但如果局部长效方案行不通,那么口服药中就尽可能选择副反应最小的。

子宫腺肌症介入栓塞治疗
子宫动脉栓塞术(UAE)是目前临床上常见治疗子宫腺肌症的微创治疗方法,越来越多的文献数据支持UAE作为子宫切除术替代治疗方案。适用于有生育要求或年轻的患者,有保留子宫意愿,不想妇科手术切除子宫的患者。

子宫动脉栓塞术示意图
子宫动脉栓塞术(UAE)
UAE一般以左侧桡动脉或右侧股动脉作为穿刺点,将细小的导管分别送达两侧子宫动脉主干远端,经微导管注射非常微小的PVA颗粒或微球(300um)栓塞子宫腺肌症病灶,阻断病灶营养供血,导致病变策划缺血坏死,进而异位子宫内膜坏死脱落,分泌前列腺素减少,缓解痛经,减少月经量,从而达到治疗目的。
UAE优点
- 对病灶的位置、范围无限制,局限型、弥漫型均适用。
- 合并子宫肌瘤者疗效更佳。
- 不开刀、创伤小、恢复快。
- 保留子宫。
UAE术后反应
疼痛:为最常见的不良反应,几乎所有患者在治疗后会出现不同程度的下腹胀、坠痛,持续时间不等,短则2-3天,长则1-2周,一般给予有效镇痛处理后均可缓解。目前我中心常规予以静脉镇痛泵止痛处理,帮助患者渡过术后急性疼痛期。
发热:25%患者,尤其肌瘤较大的患者,栓塞后一周内可出现低热,体温在38°C左右。一般无需特殊处理,酌情预防抗感染处理,约持续1周后可自行消退。
不规则阴道出血:少部分病人栓塞后可出现阴道少量不规则流血,同时还伴有内膜脱落,可能是栓塞后子宫血供不足以维持内膜生长有关。
提前绝经:出现的几率非常低,主要见于围绝经期女性患者(>45岁,绝经发生率为20%-40%,小于45岁患者绝经发生率为1%-3%)。

典型病例
例1
青年女性患者,痛经近10年,近5年痛经明显加重。确诊为子宫腺肌症(弥漫型),经放置曼月乐、注射亮丙瑞林等妇科保守治疗,症状缓解不理想,痛经进行性加重,严重困扰工作与生活。
- 行子宫腺肌症介入栓塞治疗

- 插管至右侧髂内动脉造影,显示右侧子宫动脉

- 插管至右侧子宫动脉,显示子宫右侧病灶情况

- 插管至右侧髂内动脉造影,显示右侧子宫动脉

- 插管至左侧子宫动脉,显示子宫左侧病灶情况

- 术前MRI显示子宫明显增大,病灶主要位于子宫前壁

术前MRI显示子宫明显增大,病灶主要位于子宫前壁

术后3个月复查MRI显示子宫明显缩小,前壁病灶萎缩坏死
例2
中年患者,患有“子宫腺肌瘤”7年余,长期受痛经、月经量增多折磨,严重影响生活质量。经多处求医,经历药物调理、“曼月乐”宫腔植入、“海扶刀”消融术等多种治疗,痛经、月经量多等情况一直无法得到有效缓解,病情日益严重。
- 术前MRI检查显示子宫明显增大。

术前MRI检查显示子宫明显增大

- 插管至右侧子宫动脉,显示子宫右侧病灶情况

右侧子宫动脉造影

左侧子宫动脉造影

术后复查MRI显示子宫明显缩小,腺肌瘤明显坏死吸收
例3
中年患者,发现“子宫腺肌症”10年余,近5年痛经、月经量增多等症状明显加重,导致贫血,严重影响生活质量。
- 术前彩超、磁共振检查显示子宫明显增大,子宫前壁可见弥漫型子宫腺肌症病灶,合并粘膜下、肌壁间子宫肌瘤。


横断位

冠状位

矢状位

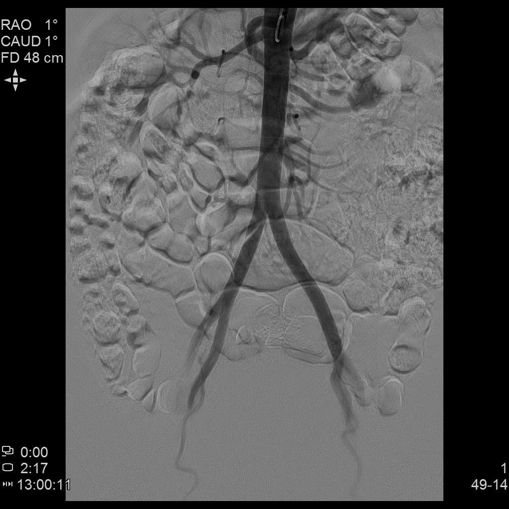
腹主动脉造影

左侧子宫造影

右侧子宫动脉造影

- 术后患者痛经、月经量过多症状迅速缓解,生活质量明显改善。
原装生活,做完整女人!

原装生活,做完整女人!