内容梗概
黑色素瘤,又称恶性黑色素瘤,是来源于黑色素细胞的一类恶性肿瘤,常见于皮肤,亦见于黏膜、眼脉络膜等部位。最常见的原发部位为肢端(约占所有黑色素瘤的50%),即足底、足趾、手指末端及甲下等部位,其次为粘膜黑色素瘤(约占20%左右)。黑色素瘤是皮肤肿瘤中恶性程度最高的瘤种,容易出现远处转移。而非皮肤黑色素瘤虽然少见,但也有发生。非皮肤性黑色素瘤最常见的发生部位是肛门直肠部, 其次是鼻腔、泌尿生殖道、眼部和口腔、上消化道、上颌窦。
常见非皮肤性黑色素瘤的影像表现为:
(1)CT:表现为规则或不规则软策划密度灶, 密度不均匀,早期可发生直接浸润或淋巴结转移,注射造影剂后病变大部分轻度欠均匀强化
(2)MR:平扫时常表现为 T1WI 呈稍高或高信号, T2WI呈低信号,瘤体血供丰富, 增强后呈强化不均; 部分肿瘤内可合并出血
(3)PET-CT:多有18F-FDG 摄取,少数黑色素瘤患者无18F-FDG 摄取。PET-CT可以提供全身多个策划器官情况
以下是小编查阅相关文献,对全身其他部位的一些黑色素瘤进行汇总,以供大家交流学习。
1
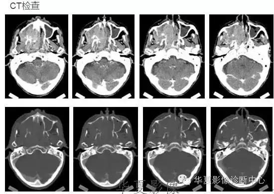
颅内黑色素瘤
中枢神经系统内原发性黑色素瘤少见, 因脑和脊髓的软脑( 脊) 膜及蛛网膜上含有黑色素细胞, 黑色素可发生于软脑( 脊) 膜的任何部位,故其发生部位常位于脑( 脊髓) 表面, 沿软脑膜生长; 而继发性黑色素瘤同一般转移性肿瘤, 常位于灰白质交界区。

影像表现:常表现为短 T1 高信号, 短T2WI 低信号,又因为黑色素瘤是富血管性肿瘤, 增强扫描常表现为明显强化。
★但少数肿瘤也不具备上述典型信号特征,主要原因是肿瘤内黑色素量多少影响。只有当黑色素瘤中黑色素细胞超过一定含量( ﹥ 10% ) 时, 才会出现黑色素瘤的典型MRI表现; 不典型的黑色素瘤因其黑色素含量较少,不足以缩短T1、T2弛豫时间,而表现为长T1低信号、长T2高信号。
依据黑色素瘤的不同 MRI 影像表现将其分为 4 种类型: ( 1) 黑色素型。该黑色素瘤因含有丰富的黑色素颗粒, MRI表现较典型,即短 T1 高信号,短 T2 低信号。( 2) 无黑色素型。因该类黑色素瘤不含黑色素颗粒或含量较低,MRI 表现为长 T1 低信号,长 T2 高信号; ( 3) 混合型。黑色素型和非黑色素型两者的混合; ( 4) 出血型。表现为血肿不同时期的信号特征, 该黑色素瘤 MRI增强扫描表现为不均匀环状或弥漫性强化






鉴别诊断:
(1) 脑(脊)膜瘤:T1WI表现为等或稍低信号,而T2WI为稍高信号和混杂信号, 脑(脊) 膜瘤位于脑(髓) 外, 以宽基底与脑(脊) 膜相连, 增强扫描邻近脑(脊) 膜强化,并有明显的脑白质(脊髓) 压迫征象, 对比强化后可见“脑( 脊) 膜尾征”,部分脑膜瘤内可见钙化, 绝大多数肿瘤可以明确诊断。
(2) 颅内血肿:出血时期不同,密度和信号不同,磁共振信号改变参考《》。常急性发病,并有高血压、 血管畸形病史等。血肿型黑色素瘤有时较难与颅内血肿相鉴别。
(3) 神经鞘瘤:多伴囊变、 出血,CT 表现为不均匀等密度或混杂等低密度,增强扫描不均匀强化, MRI 表现为T1WI上呈低信号,T2WI 上呈高信号。
(4) 胶质瘤:当黑色素瘤含有黑色素较少或胶质瘤出血时二者容易混淆,胶质瘤增强扫描往往呈不均匀强化,而黑色素瘤常均匀强化,当黑色素瘤含有丰富的黑色素时因具有典型的影像学表现常容易鉴别。
2
鼻腔及鼻窦黑色素瘤
鼻腔及鼻窦恶性黑色素瘤是一种罕见肿瘤, 起源于胚胎发育过程中神经嵴移行至鼻腔及鼻窦黏膜层的黑色素细胞,常见发生部位为鼻中隔,但是大部分鼻腔及鼻窦恶性黑色素瘤起源于副鼻窦。主要临床症状为一侧鼻塞、 鼻出血及涕中带血,部分可出现一侧面部隆起、 嗅觉减退和视力障碍。肿瘤外观呈灰红色、 灰黑色或暗红色,质脆软,触之易出血。
影像表现:
(1)CT:鼻腔或鼻窦内形态不规则软策划肿块,膨胀性生长,密度不均,少钙化,邻近骨质可见溶骨性骨质破坏,残存骨边缘整齐,无硬化边,可累及眼眶。
(2)MR:具有特征性 MRI 表现即短 T1 短 T2 信号, 因为黑色素内有自由基和不成对电子可形成金属螯合物, 缩短 T1 和 T2 弛豫时间。增强扫描呈中度不均匀强化。由于鼻腔及鼻窦恶性黑色素瘤黑色素含量较少和肿瘤出血发生率高达46% , 所以当瘤内有出血、 黑色素含量较少或不含黑色素时,MRI缺乏典型表现





3
脉络膜黑色素瘤
脉络膜黑色素瘤是由恶性黑色素瘤细胞组成的神经外胚叶性肿瘤, 其策划发生于脉络膜基质内的黑色素细 胞, 国内发病率仅次于发生在儿童的视网膜母细胞瘤, 居眼内肿瘤的第二位, 少数病例可向眼眶蔓延, 晚期向肝脏转移,老年人居多。
影像:
(1)CT:早期眼环局限性增厚;突入玻璃体腔后, 表现 为 密度均匀、边界较清楚的等密度或略高密度半球形或球形肿块;肿瘤较大时,外形不规则, 可占据整个玻璃体腔。可侵犯巩膜外、视神经,可继发视网膜脱离。
(2)MRI:肿瘤边界光 整, 多呈蘑菇型,T1WI呈高或极高信号,T2WI呈低信号。增强扫描肿瘤强化而视网膜及脉络膜下积液及眶内脂肪不强化。



4
胃肠道黑色素瘤
原发于胃壁、直肠壁、阴道壁者少见,具备黑色素瘤典型的MR表现,合并出血信号不均。





鉴别诊断:
(1)胃肠道恶性肿瘤来源于胃肠道黏膜,沿胃肠壁内侧弥漫性生长,可彻底破坏胃肠道黏膜,使黏膜中断,增强强化程度无恶性黑色素瘤明显
(2)胃肠道间质瘤起源于胃黏膜下间质成分, 很少破坏胃肠道黏膜, 胃肠道黏膜线多数连续, 肿块呈膨胀性生长, 该征象与恶性黑色素瘤相似, 但间质瘤坏死多见, 肿瘤密度不均, 呈腔内或外生长, 腔内型多见气液平面, 由肿瘤形成溃 疡、 液化坏死导致, 具有一定的特征, 增强强化程度较恶性黑色素瘤明显, 门脉期病变密度减退, 病变部位存在一定柔软度。
(3)胃肠道原发性或继发性淋巴瘤来源于间质,沿黏膜下生 长, 以膨胀性为主, 有蔓延趋势, 密度较均匀, 内部很少坏死或坏死灶较小, 增强后强化不明显, 与肌肉强化程度相仿, 增强早期可见受累处胃肠道黏膜呈线样强化, 边界清光整, 无明显外侵征象, 周围淋巴结肿大多见
(4)阴道癌阴道来源于黏膜, 沿阴道壁弥漫生长, 多数肿块密度不均匀, 可以存在钙化、 囊变, 与周围策划边界不 清,增强呈明显不均匀强化。
(5)宫颈癌较大时可突破宫颈口, 沿阴道腔内生长, 肿块密度不均匀, 囊变多见, 可见钙化, 侵犯阴道壁时, 边界不清。阴道癌或宫颈癌实性 成 分 在 T1WI上呈低信号, T 2WI上呈中高或高信号, 与一般的肿瘤病变信号相似, 信 号均匀或不均匀
5
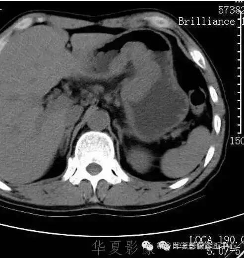
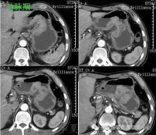
肝脏黑色素瘤
原发于肝脏的恶性黑色素瘤极其罕见。肝脏原发恶性黑色素瘤临床表现及体征均无特征性,与其他肝脏占位性、 肿瘤性病变无法区分,此为该病的临床特征。
肝脏恶性黑色素瘤的超声和 CT多表现为肝脏增大,肝内单发、 多发占位病变或弥漫性、 结节性改变, 占位性病变可为实性、 囊性、 囊实性改变,但上述改变无明显特异性, 与其他肝脏恶性肿瘤无法区分。MR T1 加权呈高信号、 T2 加权呈低信号


参考文献:
1.许小燕,胡俊峰,汪秀玲, 等.黑色素瘤的影像学表现[J]医学影像学杂志,2016,26(6):2016-2018
2.李培岭,翟昭华,王萍.鼻腔原发性恶性黑色素瘤的影像学表现及鉴别诊断[J],放射学实践.2011,26(11):1156-1157
3.郭丽坤,岑戎.胃恶性黑色素瘤1例报道[J]. 胃肠病学和肝病学杂志. 2013(07)
4.陈伟,魏文斌,杨文利.脉络膜黑色素瘤的三种影像学检查对比分析[J].眼科.2010,19(5)
5.刘冬,沈海林,付芳芳.中枢神经系统黑色素瘤的影像学表现[J].临床放射学杂志.2011,30(8):1099-1102
6.刘毅生,沈家亮,谭理连.非皮肤性恶性黑色素瘤的影像学表现[J].中国CT和MRI杂志.2012,10(4):101-105
来源:新乡医学影像诊断中心
【版权声明】本平台属公益学习平台,转载系出于传递更多学习信息之目的,且已标明作者和出处,如不希望被传播的老师可与我们联系删除