专家提醒:早诊早治是关键
58岁王阿姨前不久突然感到天旋地转,以为是眩晕发作,不料到医院一查竟是耳中一只大瘤在作怪。幸运的是,经过东南大学附属中大医院耳鼻咽喉-头颈外科主任黄志纯主任医师团队成功手术,目前王阿姨已经康复出院,头晕的症状也完全消除了。
案例:突感天旋地转,原是耳中瘤子作怪
王阿姨三年前患上中耳炎,右耳反复流水3年。每次发作时到医院滴药水治疗后好转,便一直未予重视。两周前发作眩晕,王阿姨感到天旋地转,严重影响了日常生活,这才想来可能是中耳炎引起,随即来中大医院耳鼻咽喉-头颈外科就诊。来到诊室,经过CT检查以及前庭功能检查后才发现,原来是中耳胆脂瘤破坏了王阿姨的内耳,从而引起了严重眩晕。
耳鼻咽喉-头颈外科主任黄志纯主任医师建议王阿姨住院进一步检查治疗。经过颞骨CT、听力检查以及前庭功能检查发现,王阿姨的中耳胆脂瘤最大半径足足有13毫米,已经破坏了耳内的外半规管,导致眩晕,耳蜗的功能也受到了影响,导致神经性耳聋,于是黄志纯主任建议手术治疗。

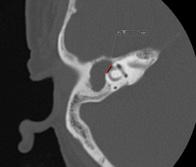
手术:切除胆脂瘤,找到眩晕罪魁祸首
据了解,较小的胆脂瘤切除手术可以在内窥镜下施行,但王阿姨的胆脂瘤侵犯范围较大,需要在显微镜下进行。在耳鼻咽喉-头颈外科黄志纯主任的指导下,丁小琼博士为王阿姨在显微镜下施行手术。丁小琼博士首先在王阿姨耳后切开一个小口,随后切除胆脂瘤。胆脂瘤切除后,发现耳内的外半规管被胆脂瘤挤压,外半规管外侧骨头破坏较为严重,形成约3毫米长的瘘口,而这就是导致眩晕的罪魁祸首。紧接着,丁小琼博士用筋膜以及骨粉对瘘口进行修补,术中同时发现患者的面神经骨管也被胆脂瘤破坏,面神经约有5mm长暴露,如果胆脂瘤再长大一点,便会导致面瘫。丁博士赶紧又用筋膜覆盖住面神经。手术很成功,历时三小时。术后6天王阿姨出院时,已不再头晕,活动自如。
提醒:中耳胆脂瘤需早诊早治
据悉,中耳胆脂瘤表现为反复发作的耳道流脓,常伴有恶臭。中耳胆脂瘤虽为良性病变,但会快速膨胀生长,破坏耳内策划导致听力下降。不仅如此,还会破坏中耳与颅脑之间的骨质及脑膜,从而引起颅内感染,破坏半规管前庭等内耳结构引起眩晕的症状,破坏面神经引起面瘫等并发症。
黄志纯主任建议,如患者一旦被诊断为中耳胆脂瘤,应积极治疗,用手术清除病变,防止胆脂瘤快速膨胀,引起并发症。对于中耳内耳破坏不严重者,手术还可以重建听骨链,提高听力,绝大部分都可以手术治愈。专家提醒,如在感冒、鼻炎后发生了耳闷听力下降等情况,应立即到正规医院的耳鼻咽喉科进行检查治疗,确定是否为分泌性中耳炎所引起,早诊早治,以免迁延发展成中耳胆脂瘤,错过最佳治疗时期。(韦启雯)