在浏览X光片的时候,发现了X光线下猫猫肚子里面那些令人担心和心痛的奇怪东西。所以分享出那些年那些医生从猫猫肚子里发现的奇怪东西的X光片,以此提高猫友们的警惕。

一、误食线类的东西
养猫的我们都知道猫猫很喜欢线,一根线能玩上一天,各种花样的玩,那么猫猫误食了多根线无法排出之后,经过就医在X光线下我们看到了哪些丢失的线,看后是何感想。

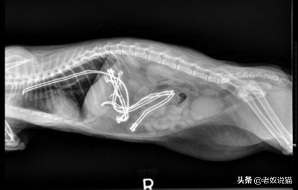
伊利诺伊州芝加哥市一只2.5岁的猫误食的吉他弦
二、误食发圈的猫

美国一只叫Winnie的猫误食46根发圈

美国一只叫Winnie的猫误食46根发圈
三、误食电线的猫

一只18个月大的小猫肚子中的电线
四、误食缝衣服针的猫

三岁的缅因州库恩,呕吐一星期经查吞下了缝制衣服的针
五、误食多根橡皮筋的猫

2岁的暹罗多根橡皮筋的猫
六、误食儿童玩具的猫

一只5个月大的小猫误食了儿童玩具
七、误食鱼钩的猫

在X光下猫猫肚子的东西是否很清晰,看到后是不是深深地后怕,所以我们在平时的时候就要仔细点,平常不用的针线、截断的细的电话线或者电线收集归纳起来,别让猫猫玩一些感觉能吞下去又喜欢玩的东西(比如,我的橡胶机器人,恐龙等),一旦发现猫猫不正常的呕吐时除了排除病理性原因外还需要考虑是否有吃下其它异物。