
科普指导:深圳市中医院外一科胃肠腹膜肿瘤外科专业组 赵江宁

46岁的玉姐急匆匆地冲进医院,在诊室里一坐下来,就对赵医生提出了手术要求。
在沟通中发现,原来,玉姐被确诊了超低位直肠癌。

玉姐
去年底,我开始出现大便带血丝的情况,尤其大便干硬的时候明显,以为是老痔疮病又犯了,自己去药店买了外用的痔疮药用了几天情况好转。
到了今年春节,她的症状开始加重:大便次数增多,大便里有粘液,肛门也有下坠感。由于疫情也不敢贸然去医院,以为是慢性直肠炎,继续用了2个月治疗直肠炎的药物。
没想到情况越来越糟糕,大便出现暗红色血块,每次排便都感觉很费力,每次还伴有下腹部绞痛,一次大便下来满头大汗。
玉姐害怕了,来到医院做了检查被确诊直肠癌,而且还是属于T3-4N1-2M0的进展期中偏晚那种。
玉姐
我害怕死了,整晚睡不着,满脑子都是我该怎么办!亲戚朋友都建议我赶紧上医院做手术,所以我就来了。
赵医生为玉姐做了个直肠指检,仔细检查了玉姐的直肠肿瘤。看完相关检查报告,她不慌不忙地告诉玉姐:“玉姐,咱不焦急马上做手术。”

赵医生拿出了资料,耐心跟玉姐解释,一起讨论她的病情究竟该怎么治疗最好。
赵医生提出了一种叫做“三明治”的治疗方案:先做肿瘤策划的基因检测,根据基因检测结果制定个体化精准术前新辅助治疗2-3个月。等肿瘤变小了,疾病降期了之后再做手术,术后继续完成术后辅助治疗3-4个月。
正好病区里有2位病情和玉姐类似低位直肠癌的患友住院正在做术后辅助化疗,他们现身说法和玉姐分享了整个治疗过程:新辅助治疗—手术—术后辅助化疗,彻底打消了玉姐的疑虑。
很快玉姐直肠癌KRAS、NRAS、BRAF、HER2和MSS等基因检测完成,赵医生团队结合玉姐的基因检测结果、胸腹增强CT、直肠腔内超声和盆腔MRI分期等为她制定了术前新辅助治疗方案:化疗+靶向+中药治疗。
3天后,玉姐顺利完成第一次新辅助治疗,出院了。
在玉姐第4次入院化疗的时候,她很开心地告诉赵医生:

玉姐
这个化疗+靶向治疗效果真不错,便血已经停止了,下腹也不怎么疼了,排便比之前顺畅了,也没有明显的恶心呕吐, 头发也没怎么掉,胃口还很好也敢吃东西了,精神体力都很好,之前担心这害怕那的真是自己吓唬自己。

除了玉姐,还有一位
中低位直肠癌患者小雅
在经过“三明治”综合治疗后
恢复了正常生活

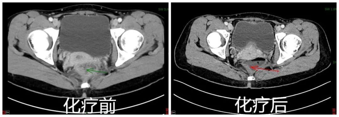
31岁留日海归白领小雅在3年前被确诊为超低位直肠癌(术前临床病理分期-中分化腺癌(cT3N2M0),溃疡型肿瘤占据肠腔3/4周,距离肛门3cm)。
她找到赵医生寻求治疗。赵医生建议先做术前新辅助化疗,等便血之类的症状完全缓解,再次评估病情肿瘤临床分期降为cT1N1M0,肿瘤已经退缩为一个溃疡瘢痕。
小雅
我的化疗过程也很顺利,恶心呕吐、胃口差、掉头发、手脚脱皮溃烂和四肢指端麻木等肠癌病友们挂在嘴边的化疗毒副反应好像都被赵医生开的中药给赶跑了。

胃镜检查结果新辅助化疗前后对比

CT检查结果新辅助化疗前后对比
由于小雅是未婚未育的年轻女性,为了不影响日后她的卵巢子宫的功能,赵医生为她安排的新辅助治疗方案不推荐放疗。
结合病理中分化腺癌和基因检测结果,她的“瘤品”(肿瘤生物学恶性程度)不差,单做新辅助化疗就可以实现降期缩瘤治疗效果。
化疗期间,赵医生让小雅配合减毒增效的中药治疗,中西医结合能保证术前新辅助治疗顺利完成。
小雅
术前我很担心做完手术肚子上会留下一条难看的手术瘢痕,一般像我这种超低位直肠癌手术还会有三个月到半年的预防性临时肠造口,这些都可能会影响今后我怀孕生孩子。不过术后很开心,这两件担心的事情最终都没有在我身上发生。

小雅在经过了术前新辅助化疗治疗后,肿瘤退缩非常满意,为完成腹腔镜超低位直肠癌NOSES(经自然腔道取出标本)术创造了很好的条件,能完成无腹部切口无预防性临时肠造口得益于术前新辅助化疗。
低位直肠癌保肛术后大部分患者都要经历一段时间肛门控便和排便功能的恢复,小雅术后第一个月恢复得还不错,第二个月出现了吻合口炎和吻合口溃疡出血的情况。

在住院经过中药保留灌肠治疗10天后,小雅的症状很快就得到改善。中药在直肠癌的辅助治疗不只是内服一种方法,也不只是减毒增效一种功效,外用中药改善术后吻合口炎症和止血效果也很好。
小雅
因为术后第二月吻合口炎和吻合口溃疡出血的问题影响我术后辅助化疗推迟了一个月,当时非常担心不能如期进行术后化疗会影响治疗效果,术后3个月的辅助化疗期间有一段时间出现月经期间腹泻频繁,赵医生用中药调理了1个月后症状就消失了。
小雅已经恢复了正常工作、生活,只需要定期3个月做一次复查。不知不觉3年过去了,小雅每一次的全面检查结果都不错,局部没有复发,肝肺等器官也没有转移。
赵医生表示,中医认为小雅经过大半年的新辅助化疗、手术和辅助化疗,体内脾肾阳损,中气不固,中药给予唐代孙思邈《千金翼方》中温脾丸汤+宋代《太平惠民和剂局方》中的暖宫丸健脾温中益气止泻,唐宋名方强强联手,药到症消。
一、局部晚期直肠癌比局部晚期结肠癌难治,需要多种治疗手段综合运用
结直肠癌是世界范围内常见恶性肿瘤,中国结直肠癌发病率近20年不断上升,已经成为中国发病率第3位的恶性肿瘤,与西方国家相比,我国结直肠癌的发病特点主要有:低位直肠癌比例高、中晚期患者的比例高以及年轻患者比例高。
同样是局部晚期的肠癌,局部晚期直肠癌患者的治疗较局部晚期结肠癌更加复杂。

直肠肿瘤位于盆腔,手术操作空间小,单纯手术治疗局部复发率高;
直肠肿瘤距离肛门越近治疗难度越大,肛门及肛门功能的保留是最大的难点;
直肠肿瘤毗邻膀胱、尿道、前列腺(男性)、精囊腺(男性)、卵巢(女性)、子宫(女性)、阴道(女性)等器官,还需要考虑其他器官及功能的保存。
直肠癌的治疗在考虑根治性的同时,必须考虑患者各个盆腔器官的功能,以及永久性人工肛门的可能性。因此,其治疗策略相对复杂,需要多种治疗手段,根据其直肠癌不同分型及分期,常常需要包括综合运用手术治疗、化学治疗、放射治疗、靶向药物治疗、免疫治疗、介入治疗、中医中药治疗、营养及支持治疗、心理学治疗等。

二、什么是中低位直肠癌的“三明治”治疗模式?有哪些优点?
30年前的中低位直肠癌治疗绝大部分都是采用先手术再做术后化疗+放疗,或者单纯术后化疗的治疗模式,这种治疗模式的缺点是治疗保肛率低、盆腔局部复发率高、远处转移率没有明显降低。经过近30年的探索研究,越来越多的临床试验结果证实了中低位直肠癌“三明治”治疗模式明显让患者受益。
说到“三明治”治疗模式,简单一点可以理解为:将术后的辅助治疗提前到术前先进行一部分(通常是一半的治疗周期),而这些辅助治疗包括化疗、放疗、靶向和免疫治疗等,医生根据每位患者实际情况选择不同的个体化治疗手段。

术前全量全身治疗可以杀灭肝肺等容易发生远处转移的器官内的微小癌巢甚至亚临床癌灶从而减少远处转移发生,降低由于手术作用引发的肿瘤增殖刺激产生的医源性转移;
提高患者化疗、放疗、靶向和免疫治疗等非手术治疗的完成度,在多个临床研究中观察到中低位直肠癌术后并发症和治疗相关的毒性影响了患者术后辅助化疗、放疗等的完成度。将辅助治疗放在手术前进行,减少总体的毒副反应,因此患者有更好的治疗完成度和治疗结局;
经过新辅助治疗医生可以根据治疗后肿瘤反应比如临床症状如便血和排便不畅等的改善,肿瘤体积退缩、肿瘤标志物的下降、切除的肿瘤标本的病理学改变等了解肿瘤对化疗和放疗的敏感性,有利于术后选择合适的治疗方案和评价预后。
某一些特殊类型的直肠癌经过术前辅助治疗出现肿瘤完全消失的神奇疗效,可避免外科手术,可以进一步实施等待观察策略;
直肠局部肿瘤经新辅助治疗使肿瘤缩小,从而减少直肠的切除范围,保留更多的正常直肠肠段,提高了保肛率、获得更好的术后肛门功能、降低局部复发率。
三、如何做一个聪明的直肠患者—“三明治”
肿瘤外科医生赵医生建议直肠癌患者(需急诊手术患者除外)在接受系统治疗前应该先向你的主刀医生弄“明白三件事情”:
-
一明:弄明白肿瘤临床和病理分期
-
二明:弄明白肿瘤的分子基因分型
-
三明:弄明白肿瘤个体化精准治疗方案、具体手术方式和全程疾病管理。
聪明的直肠癌患者在确诊后千万不要“病急乱投医”,三明而后治才有可能获得更大治愈和长期生存机会。
9月15日上午9:00-12:00
深圳市中医院福田院区门诊大厅
第42期胃肠和腹膜肿瘤多学科
健康讲座和公益义诊
欢迎你来参加

温馨提示:
1、每期义诊限号20个,请编辑短信“胃肠和腹膜肿瘤义诊预约+姓名+性别+年龄+简要病情”至手机:13686490330(赵江宁医生),进行预先登记,当日就诊次序以现场确认次序为准。
2、请带着您的既往诊断治疗病历资料和胃镜、CT、MRI、PET/CT和病理报告等前来参加义诊。
专家简介

赵江宁
医学博士
胃肠外科副主任医师
深圳市公立医院管理中心2018年引进深圳市实用型临床医学人才,日本大阪医科大学附属医院一般消化器外科高级访问学者,国内师从解放*火军**箭军总医院胃反流病科汪忠镐院士和吴继敏教授,擅长胃食管反流病内镜治疗和腹腔镜下食管裂孔疝修补术和胃底折叠术、胃肠肿瘤腹腔镜手术、腹膜癌手术和中西医结合治疗。
广州中医药大学第四临床医学院深圳市中医院、外一科胃肠腹膜肿瘤外科专业组副主任医师,副教授,广州中医药大学第四临床医学院外科教研室副主任、中国医促会临床实用技术分会食管裂孔疝外科学组、中国医促会胃食管反流多学科分会会员、深圳市医师协会疝与腹壁外科分会胃食道反流学组副组长、中国抗癌协会广东省大肠癌青年专业委员会委员、中国抗癌协会胃癌青年专业委员会委员、中西医结合学会大肠肛门专业委员会学术常委、广东省医师协会结直肠外科医师分会委员《中华胃食管反流病电子杂志》《大肠肛门外科杂志》编委、日本外科学会国际会员。
出诊时间:周三下午门诊(福华路二门诊)
地点:深圳市福田区福华路1号深圳市中医院福田院区
