地球上有很多看不见的风险,比如有些细菌在机缘巧合之下,会变得比癌细胞还厉害,短时间内就能破坏肺脏引起呼吸衰竭,甚至死亡。
我们今天看一个凶险的病例,认识一中常见的、但有时会致命的细菌,同时了解一些预防和治疗知识点:

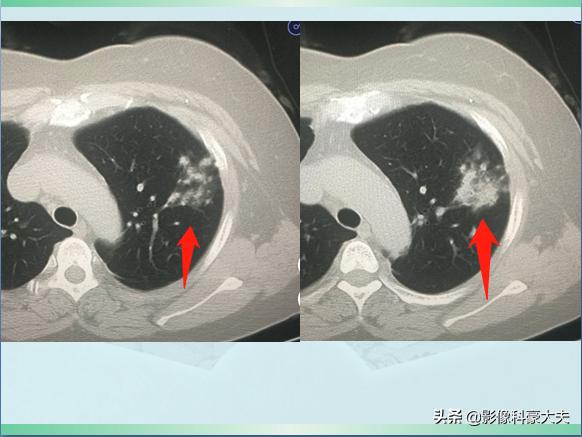
星星点点的小斑片影
上图是一位54岁女病人,因为发烧、咳嗽3天做肺部CT,发现左上肺斑片状影,密度不均,边界不清,提示肺炎。
使用抗生素治疗4天后复查,病灶密度增加,同时内部出现了几个小空洞:

融合实变,可见空洞
空洞通常是肺策划发生坏死、液化,经支气管随痰液排出后形成的,什么细菌这么厉害,会在短短4天发生坏死呢?
我们先不公布答案,继续看她治疗10天后的复查CT:

对比前两次片子,黑色空洞影变得更大了,周围的白色炎症斑片影吸收好转了。
这是一种什么细菌呢?为什么会短时间引起肺策划坏死空洞?经过实验室培养,医生们找到了真相——肺炎克雷伯杆菌。
这种细菌有什么特点和危害呢?
克雷伯杆菌,属于肠杆菌科,是一种革兰阴性杆菌,存在于5-35%的健康人肠道、胆道和大约5%的健康人口咽部。它属于条件致病菌,在人体免疫功能正常时,不会作乱。
克雷伯杆菌分很多种类,通常只有3种能致病,其中肺炎克雷伯菌致病性较强,其所致疾病占克雷伯菌属感染的95%以上(上面那位女病人就是感染了这个);另外两种与人类关系密切的是臭鼻克雷伯菌和臭硬结克雷伯菌,相对少见。
人体内有大量的条件致病菌,明明有做坏事的能力,为什么不做坏事呢?不是它们良心有多好,是因为有肝脏的监督!免疫力正常的时候,肝脏会通过库否细胞吞噬过滤革兰阴性菌,再分泌次氯酸杀灭之,让细菌不成规模不成气候。
而在我们肠道粘膜表面,有大量的共生微生物,在免疫力的有效监督下,不干坏事,两相安!有时候少量肺克或者大肠杆菌等会搞点小动作,发生点胃肠炎、轻微的菌血症什么的,无忧,吃几片消炎药就能搞定!

什么时候,细菌会形成规模聚众闹事呢?
糖尿病,血糖控制不良;或者长期酗酒肝功能破坏。
就像连锁反应的一个机关启动,由于血糖升高,次氯酸分泌减少,库否细胞杀灭肺克等阴性杆菌能力减退,甚至会被反杀,大量细菌占据了肝脏这个营养丰富的器官,就会发生肝脓肿、克雷伯杆菌肺炎、甚至形成脑脓肿、眼球感染失明……
这个过程通常是这样进行的:
糖尿病人不听话,不规律用药,血糖持续升高,糖衣炮弹腐蚀肝脏免疫细胞,次氯酸分泌减少,吞噬细胞杀力减退,,肺炎克雷伯杆菌大量滋生(有或无肝脓肿都可以),经血液循环进入肺脏继续繁殖作乱,形成克雷伯杆菌肺炎!
一开始,是星星点点的点片状影,很快融合成大片实变影,并发生多发小坏死,形成小脓肿。并且它的坏死策划像果冻一样很粘稠,不容易咳出来,呈很有特点的“砖红色”:

所以我们常说,有4种感染喜欢糖尿病人:肺炎克雷伯杆菌、金黄色葡萄球菌、结核杆菌和曲霉。以上是肺克的病因和表现。
肺炎克雷伯杆菌肺炎的影像表现
这种肺炎的CT影像比较有特点:
1.大多位于一侧上肺,或双下肺后基底段,如果是多发的病灶,这两个部位也是重点区域 2.根据影像特点分4型,实变病灶内无支气管通气征;实变病灶外见气管壁增厚,病变早期就可见坏死或空洞,直径不超过2cm,少量胸腔积液常见50%,脓胸不常见20%以下,无坏死的密度均匀,边界清楚,朵朵白云状,巨大病灶占据一叶,有膨胀感,钟乳石征,坏死呈蜂窝状。(来自通化市中心医院唐绍宏教授的总结)
肺炎克雷伯杆菌肺炎的治疗和预后
经过积极的抗生素治疗,炎症一般会逐渐吸收!但如果没有及时使用有效抗生素(建议按照药敏试验及时选用敏感药物),感染扩散,或者感染了高毒力的肺克,会在短时间内发展成重症肺炎、脓胸、全身播散等,甚至会导致死亡。实际上,因为这种感染而死亡的病人不在少数。

本病例来自网络
这是一位62岁的退休教师,因为淋雨受凉后出现高热、胸痛、咳嗽症状,自服感冒药无效,在家里拖了3天才过来,已经是重症肺炎,肺策划广泛坏死了,后来没有抢救回来……
这类重症肺炎的进展常常很凶猛,比癌症还厉害,早期积极治疗很关键!
糖尿病人要控制好血糖,喜欢喝酒的人不要过量,不要破坏身体的免疫力!

我是影像科豪大夫,分享小病例,传递正能量,欢迎关注!
本文参考文章:
肺炎克雷白杆菌肺炎影像学表现,唐绍宏,肺部影像联盟,2017.9.18