在胸部X射线检测中,肺部异常区域常表现为区域密度增加或降低。其中,异常区域密度增加是最常见的形式。实变、间质、结节或团块、肺不张是较实用的分类方式。本文介绍肺实变。
四种分类方式简介
1.分类
(1)实变- 液体,脓液,血液,细胞(包括肿瘤细胞)或其他填充物质,引起肺泡变化的任何病理过程,形成弥漫性或多发边界不清的阴影。
(2)间质 – 肺实质的支持策划参与引起细小或粗糙的网状阴影或小结节。
(3)结节或团块 - 任何占据空间的病变,无论孤立或多发。
(4)肺不张 - 肺泡空气量减少引起部分肺塌陷,导致体积减少和密度增加。

图1 四种分类方式肺部模型
(Consolidation:实变;Interstitial:间质性疾病; Atelectasis:肺不张;Nodules and Masses:结节和团块)
2.举例
以下9种是四种分类应用举例。

图2 最常见的四种分类方法应用举例
(从左至右。第一行:肺叶实变,弥漫性实变,多发不明确实变病灶。第二行:肺不张,细小网状间质,粗糙的网状间质。第三行:细小结节,孤立性结节,多发性团块)
肺实性病变表现及鉴别
目前,肺炎仍是肺实性病变的最常见原因。通常在肺泡内开始,并从一个肺泡蔓延至另一个肺泡。蔓延至胸膜和叶间裂。
1. 胸片主要表现:
➢ 不透明阴影均匀分布,血管模糊
➢ 轮廓征:肺/软策划界面不清
➢ 空气支气管征
➢ 扩张至胸膜或叶间裂,但不会超过胸膜或叶间裂
➢ 未出现体积缩小
2. 鉴别诊断
(1)根据肺泡成分
➢水 – 漏出液
➢脓 –渗出液
➢血 - 出血
➢细胞 - 肿瘤,慢性炎症
(2)根据分布方式
➢弥散性 - 肺门周围(蝶翼状)或外周(反蝶翼状)。
➢肺叶或局部病灶
➢多发病灶-通常表现为密度不均的模糊阴影
一些疾病可有多种表现形式。例如,若患者对治疗无回应,肺炎链球菌引起的大叶性肺炎可能会弥散。其他如机化性肺炎(OP)和慢性嗜酸性粒细胞性肺炎。这些疾病典型的表现形式是多病灶性实变,但有时可能呈弥散样分布。
(3)区分急性实变和慢性实变也很重要,因为能对鉴别诊断范围进行限定。
表1 急性实变和慢性实变常见的疾病

注:BAC,细支气管肺泡癌
慢性疾病:
➢ 肿瘤合并肺叶或肺段阻塞性肺炎。
➢ 肺肿瘤如BAC和淋巴瘤。
➢ 慢性感染后病变,如策划性肺炎(OP)或慢性嗜酸性粒细胞性肺炎,两者皆表现为多发外周实变。
➢ 结节病表现相似,有时肉芽肿的结节小且呈现弥漫状,也可表现为实变。称为肺泡结节病。
➢ 肺泡蛋白沉着症是罕见的慢性病变,蛋白质样物质填充肺泡是其主要表现特征。
肺叶实变
1.肺实变原因
最常见的实变表现是肺叶或肺段实变,大叶肺炎是其最常见的诊断。
表2 肺叶实变原因

2.肺实变影像
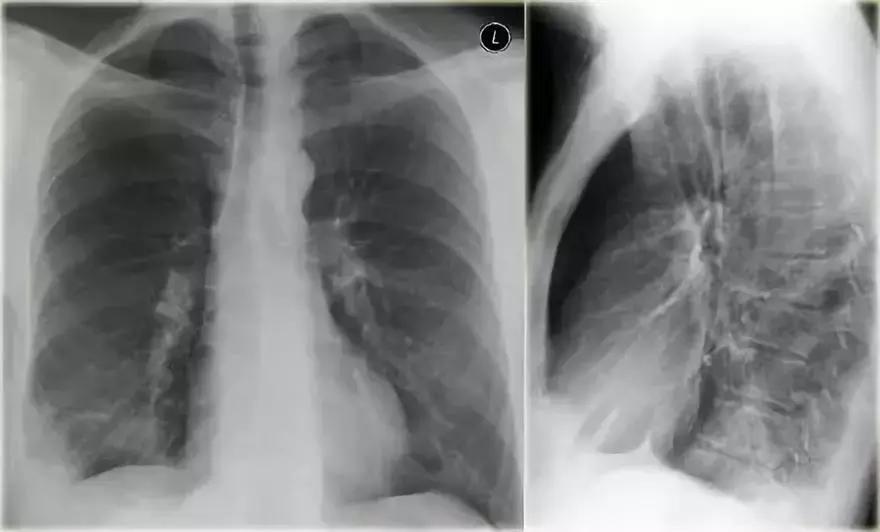
(1)影像一

图3 典型大叶实变
影像学表现:
➢ 左下肺边界模糊的密度增加的阴影
➢ 依然可见心脏轮廓,阴影出现在下叶
➢ 空气-支气管征
➢大叶性实变始于外周,由肺泡孔氏孔扩散
➢边界实变,由于一些肺泡参与实变,一些肺泡没有涉及,导致边缘模糊➢当病变发展到叶间裂,形成尖锐的轮廓,实变不能越过叶间裂
➢支气管周围肺泡更加密集,所以支气管相对更加明显可见,形成空气-支气管征(箭头所示)
➢肺实变时,肺体积应该没有或仅有轻微缩减。与肺不张有明显的不同
➢一般实变不会引起肺体积增大,但可见于克雷伯杆菌,时见于肺炎链球菌、TB和肺癌伴阻塞性肺炎
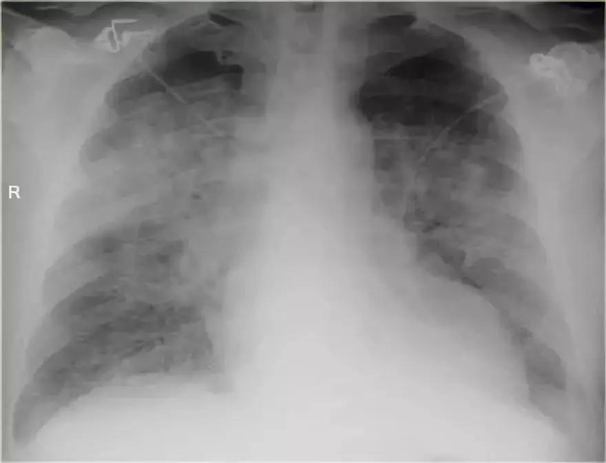
2.病例二
➢ 胸部X线显示,肺右上叶出现密度增加的模糊阴影,肺体积没有缩小
➢ 右肺门在正常的位置
➢ 箭头所示为空气-支气管征
➢ 结合适当的临床诊断,很像大叶或肺段性肺炎
➢ 然而,如果患者出现体重减轻,或症状时间持续较长,可能存在慢性实变的病因。
➢ 诊断结果为,肺炎链球菌引起的急性大叶性肺炎

图4 肺炎链球菌引起的急性大叶性肺炎
(3)综合分析
仅根据影像,我们可能无法确定引起实变的真正原因。可结合急性或慢性疾病、临床数据和其他非肺部检查结果,进行综合判断。

图5 综合分析大叶性肺炎(1.大叶性肺炎 – 患者患咳嗽发烧;2.肺出血 – 患者咯血;3. 机化性肺炎(OP)–多发慢性实变;4. 梗塞 – 高D-二聚体,血氧水平低呼吸急促的患者多发外周实变;5. 心源性肺水肿 - 充血性心力衰竭患者肺泡充满渗出物;6. 结节病 – 初看很像实变,但这是一例结节性间质性肺病。因广泛分布,与实变很像)
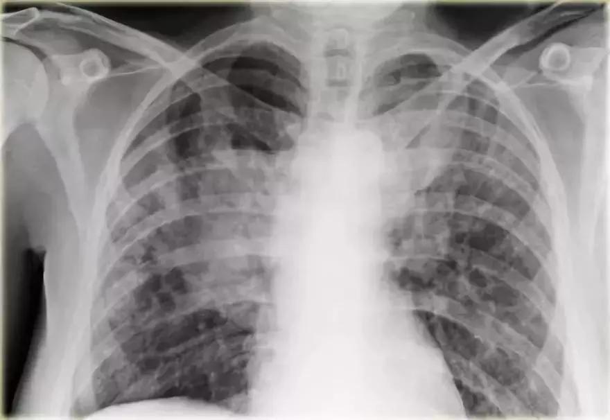
出血
右上肺出现孤立的结节,进行肺活检,肺活检过程中出血引起肺叶实变。

图6 出血性实变
出血常见于:
➢肺损伤
➢肺梗塞
➢出血性疾病:白血病,使用抗凝剂、弥散性血管内凝血
➢血管炎:系统性红斑狼疮(SLE),肺出血-肾炎综合症,韦氏肉芽肿病
肺栓塞
➢ 急性非动脉血栓栓塞的影像图常变化不显著,而且非特异性。
➢ 对肺动脉血栓(PIOPED)的前瞻性研究发现最常见的影像学特征是肺不张和肺斑片状阴影。
➢ 大多数肺动脉栓塞可有正常的胸部X线
➢ 观察CECT,此患者患有肺栓塞
➢ 在栓塞区域发生外周实变,为栓塞区出血引起

图7 肺栓塞性实变
肺隔离症
肺隔离症是肺叶实变不常见的原因,属于先天性异常。
➢ 肺部肺功能部分不能和支气管树进行正常的信息传递,无法接受体循环提供的动脉血。
➢ 当细菌从孔氏孔移动时,病人会出现反复感染
➢ 箭头所示为从主动脉分离的供血动脉

图8 肺隔离症实变
弥漫性实变
弥漫性实变最常见的原因是心源性肺水肿。心脏增大是心源性肺水肿区别于非心源性肺水肿的特征,可见其他心衰特征,如肺血流再分配、克氏B线和胸膜积液。
然而,有些心梗患者心脏大小正常,其他慢性心脏疾病为诱因的患者出现心脏增大,因合并肺感染,ARDS等,可有非心源性肺水肿。

图9 弥漫性实变
充血性心力衰竭
影像学信息:
➢ 双侧肺门实变,伴有空气-支气管征及边界模糊
➢ 心脏大小增加
➢ 间质轻微肺纹
➢ 血管蒂可能增大

图10 充血性心力衰竭
支气管肺炎弥漫性实变
➢ 患者患有高烧咳嗽,诊断为弥漫性支气管炎。
➢ 与始于肺泡的大叶性肺炎不同,支气管肺炎作为急性支气管炎始于气道。
➢ 多发模糊阴影,进展期能产生弥漫性实变,病变不能越过叶间裂,但通常在多个肺段发生。
➢ 支气管肺炎可由多种微生物引起
诊断结果:军团菌肺炎

图11 支气管肺炎弥漫性实变
支气管肺泡癌弥漫性实变
➢ 胸部X线显示左肺出现“白肺”弥漫性实变,伴有空气-支气管征
➢ 患者是进行性实变的慢性疾病
➢ 患者左肺持续实变,最终扩散到右肺
最终诊断:支气管肺泡癌

图12 支气管肺泡癌弥漫性实变
非何杰金氏淋巴瘤
这个病例复杂,仅仅基于胸部X线不能确定是团块还是实变。CT成像对鉴别诊断帮助不大,低密度区可能是团块,也像是坏死引起的实变。基于策划活检最终诊断:非何杰金氏淋巴瘤。

图13 非何杰金氏淋巴瘤
蝶翼征与反蝶翼征
1. 蝶翼征
蝶翼征实性病变分布在肺门两侧呈碟叶状分布。肺周边淋巴引流较好,所以能保留下来在心源性和非心源性肺水肿中,均是一个很典型的症状。有时也会见于肺炎。
2. 反蝶翼征
外围或胸膜下实变称之为反碟叶状。频繁见于慢性肺疾病。
表3 蝶翼状与反蝶翼状常见疾病

多灶性
(1)多灶性实性表现

表4 多发局灶性实变常见疾病
多灶性同样可描述为多发模糊阴影,多为支气管肺炎肺泡实变,支气管肺炎始于支气管,扩散到肺实质,产生肺段,弥漫性或多灶性模糊影。部分患者多发模糊性病灶潜在的病理机制可能是间质性病变。结节病的肺泡内有很小的肉肿。
(2)病例
通过胸部X线,能发现什么,鉴别诊断是什么?

图14 多灶性实性病变
分析:
➢ 双肺多发阴影
➢ 右下肺边界模糊,阴影较大,可能存在空气-支气管征
➢ 可能会按照多灶性实变处理,同时需要考虑多发模糊团块的可能
➢ 呈现外周分布
➢ 患者无痰咳嗽数月,抗菌药物治疗无效。
➢ 在慢性实变范围内进行鉴别诊断
➢ 支气管肺泡癌和淋巴瘤癌的实验室检测指标正常
➢ 无嗜酸粒细胞增多症,排除嗜酸性粒细胞肺炎的可能
活检结果显示:机化性肺炎(OP)

图15 机化性肺炎(OP)
韦氏肉芽肿
韦氏肉芽肿是一种血管炎胶原性血管性疾病,常常累及肺、肾和鼻窦。在肺内,血管炎引起梗塞,首要表现特征是实变区模糊。阻塞晚期更加受限,可呈多发性结节或团块,时见空洞。下图是无特异性表现的患者。
右上肺边界模糊,证明是韦氏肉芽肿

图16 韦氏肉芽肿
医脉通编译整顿自:Chest X-Ray - Lungdisease,Four-Pattern Approach.Robin Smithuis
Radiology Department of the RijnlandHospital, Leiderdorp, the Netherlands.
来源:医脉通
【版权声明】本平台属公益学习平台,转载系出于传递更多学习信息之目的,且已标明作者和出处,如不希望被传播的老师可与我们联系删除