两肺含有空气,因而可与周围策划及器官形成鲜明的自然对比,胸部X线平片为诊断提供了极为有利的条件。由于胸部X线影像是胸腔内、外各种策划和器官重叠的复合影像,同时常常存在解剖变异等因素,因此掌握正常X线解剖是识别和分析胸部病变的基础。
1、胸部正位片

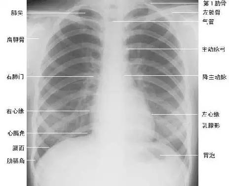
临床拍标准的胸部正位片其实是后前位片,如上图

正常胸部后前位片
2、胸部侧位片
下图是胸部侧位片的拍摄,一般采取右侧位拍片,如果看心脏影可以采取左侧位片。

胸部侧位片
下面为大家依次介绍胸部正常X线解剖
1、肺叶段X线解剖

肺叶
右肺:由水平裂和斜裂分为上、中、下三叶
左肺:由斜裂分为上、下两叶
斜裂:起自第5胸椎水平,倾斜向前下,大致与第6肋骨平行,止于前胸膜沟(前肋膈窦)后方数厘米的膈肌处。
水平裂:大致呈水平走形,与第4前肋大致同水平,前部常低于后部,外侧部常低于内侧部。

右肺上叶在正位与侧位的投影区域

右肺中叶在正位与侧位的投影区域

右肺下叶在正位与侧位的投影区域
由于X线片是二维投影,因此中叶和下叶有一定的重叠。

左肺上叶在正位与侧位的投影区域 。

左肺下叶在正位与侧位的投影区域
由于正位片通常会有一定的的重叠,因此侧位片可以对重叠部位的区域的定位起到很好的补充!
2、肺纹理
肺纹理为自肺门向肺野呈放射状分布的树枝状阴影,它主要是肺动脉的投影,肺静脉、支气管和淋巴管也参与形成。肺纹理由肺门向外围延伸,逐渐变细,至肺野外带渐细小而稀少,距侧胸壁内缘约1cm范围内的肺野基本无肺纹理可见(图下图)。

3、肺野、肺带的划分

纵隔两旁含气的肺在胸片上所显示的透明区域称肺野,其透明度随呼吸而改变,深吸气时肺内含气量增多,透明度增高,呼气时则相反。

为便于指明病变的部位,通常人为地将一侧肺野纵向分为三等分,即内、中、外带。又分别在两侧第2、4肋骨前端下缘划一水平线,将肺野横向分为上、中、下三个肺野。(如上图)。
4、肺门的大小和位置
x线肺门指肺动脉、肺叶动脉、肺段动脉、伴行支气管以及肺静脉构成。


右肺门可分为上、下两部。上部约占1/3,由上肺静脉、上肺动脉及下肺动脉后回归支构成。上肺静脉下后干构成右上肺门的外缘;右肺门下部 约占2/3,由右下肺动脉干构成,其正常宽度不超过15mm,沿中间段支气管外缘平行向外下走行。右肺门上、下部相交形成一钝的夹角,称肺门角,正常该角顶清晰。如下图


左肺门亦分为上、下两部。上部由左肺动脉及其分支、左上叶支气管和左上肺静脉及其分支构成;下部由左下肺动脉及其分支构成,常被心影所遮盖。

5、心影位置及大小

T1:心脏最右缘至前正中线距离
T2:心脏最左缘至前正中线距离
L :通过膈肌顶部至两侧胸廓内沿并平行于膈肌的线
心胸比 = (T1+T2) / L
- 正常<= 0.50
- 轻度增大 0.51-0.55
- 中度增大 0.56-0.60
- 重度增大 >= 0.60
6、纵隔的分区
纵隔位于胸骨之后,胸椎之前,介于两肺中间,从上至下、自前至后把胸腔分为左右两半。其上界是胸腔入口,下界为膈。两侧为纵隔胸膜和肺门。其中有心脏、大血管、气管、主支气管、食管、淋巴策划、胸腺、神经及脂肪等器官和策划。

纵隔的分区对确定纵隔病变的部位和分析病变性贡有重要意义。一般采用九分区法,即在侧位胸片上将纵隔划分为前、中、后及上、中、下共九个区。
7、胸廓
正常胸廓由软策划与骨骼组成,两侧对称。

① 骨性结构: 肋骨、锁骨、肩胛骨、胸椎
② 软策划结构:胸锁乳头肌、锁骨上皮肤皱褶、胸大肌、女性乳房 / 乳头