
多囊肝多囊肾
肾脏正常MRI

MRI平扫时,T1WI由于皮,髓质含水量不同,致皮质信号强度略高于髓质,皮髓质分界清晰,T2WI肾皮,髓质均呈较高信号而分辨不清,肾窦脂肪策划在T1WI和T2WI上信号均较高,肾血管由于流空效应而无信号,GD-DTPA增强检查表现类似CT增强,正常MRU表现与正常IVU类似,可多角度观察。
MRI显示双肾的位置,大小,轮廓及信号正常,T1WI皮髓质分界清晰,MRU可显示集尿系统的正常形态表现,肾盂肾盏无积水扩张,输尿管常为断续显影,为其蠕动并无完全充盈尿液所致,膀胱充盈良好时边缘光滑,增强多期扫描强调两侧皮质强化,实质强化的同时性和明显强化的特征,肾盂期集尿系统内有造影剂充盈。
肾管交界部狭窄

左输尿管上端先天性狭窄并肾盂高度扩张积水
本病是常见的先天性异常,在新生儿及婴儿期是肾盂积水最常见的病因,梗阻的实际原因通常是狭窄,也可为迷走血管,纤维束带等外压所致。盂管交界部梗阻皆表现为肾盂积水,新生儿期的肋腹部肿块一半为肾盂积水所导致,有时在出生前即经超声诊断。
MRI及MRU表现为双侧或单侧肾盂肾盏不同程度的积水扩张,肾盂扩张往往更重且向前移位,盂管交界部变钝或呈鸟喙状,当积水严重时肾实质变薄,合并感染时皮髓质分界不清,增强检查强化程度减低,应该注意的是,由于输尿管内尿液很少,所以MRU常不显影,肾盂肾盏内继发结石常为多发沙砾状。继发感染性脓肾时肾破裂的情况也应予以重视。
肾结石

双肾髓质内可见多发微小结石影
本病约2/3位于肾盂内,多为阳性结石,肾结石可引起肾盂肾盏的阻塞,损伤和感染,若结石较大,位于肾盂内且活动度甚小,又未产生梗阻,感染或损伤,可以长期无明显临床症状或仅有患侧腰部隐痛或钝痛。MRI并非肾结石的常规检查。
肾结石的MRI表现:T2WI上肾盂肾盏内的低信号影,此为含钙较高的结石,合并肾盂肾盏积水的情况很常见,MRU对于显示上述两种表现效果很好,结石类似造影时的充盈缺损改变,较小的结石需要观察原始图象。
肾结核
本病多为继发性,临床表现为尿频,尿痛,脓尿或血尿,并有消瘦,乏力和低热等全身症状,肾结核初期为皮质感染,进展后蔓延至髓质,并形成干酪性坏死灶,肾乳头受累则发生溃疡,继而导致肾盏和肾盂破坏,纤维增生和狭窄,病变向下蔓延则引起输尿管结核,肾结核病灶可发生部分钙化或全肾钙化,全肾钙化肾功能丧失者称为肾自截。
主要观察描述结核的一系列改变;结核干酪性脓腔边缘不光滑,积水扩张的肾盏边缘光滑,肾盂肾大盏壁常常增厚,内腔变窄,强化明显,肾实质不同程度变薄,如果功能尚存,可有较正常稍弱样的强化,MRI冠状面增强扫描可以观察到较大范围的输尿管结核性管壁增厚,强化较明显,MRU重建可以得到类似IVU的图象,典型清晰者表现同IVU。但是结核的钙化,尤其是点片状钙化,MRI显示不如CT,所以应该结合多种影像学检查综合诊断。
肾囊肿
本病是常见的肾脏肿瘤,多数位于肾皮质,呈圆形,单发或多发,肾皮质囊肿随年龄而有增加的趋势,肾囊肿往往很小,直径常<1cm,甚至仅为数毫米,有的单发性肾囊肿可以很大,常位于肾脏一极,边缘光滑锐利。

MRI表现:不需要增强就可以诊断大多数单纯性肾囊肿,多数为长T1长T2信号,边缘光滑,合并出血或感染的肾囊肿,MRI可以显示不同的异常信号,一般T1WI信号即有增高,应该注意观察描述囊肿的位置,大小,数量,形状,多发病灶者测量较大病灶径线大小即可,应注意复杂性肾囊肿的信号改变,对于不典型病灶应建议增强检查。
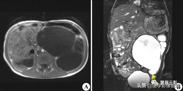
多囊肾

本病常合并多囊肝,此为先天性常染色体显性遗传性疾病,多数学者认为多囊肝是在多囊肾的基础上基因突变的结果,并定位于16号染色体上,也有学者认为该病是由于胚胎发育不良所导致,于胚胎早期管道形成时排列失常,导致无数迷管,于胚胎晚期未退化,且逐渐扩张成囊,成多发性囊肿病,根据发病年龄的不同,将其分为儿童型和成人型,本病多发生于双侧肾脏,可继发感染,结石以及囊内出血和囊壁钙化,也可以恶变,并有阻塞性黄疸及合并皮下囊肿的报道,临床上早期无症状,就诊时肾脏功能已经不同程度受损,肝功能受损程度较轻。
MRI表现为双肾增大和分叶状轮廓,多发囊肿多数为长T1长T2信号,出血性囊肿可为短T1长T2信号或长T1短T2信号,增强扫描所有病灶均不强化,应同时观察合并的多囊肝及胰脾多发囊肿。
肾癌
肾癌最常见的肾恶性肿瘤,主要发生在中老年,男多于女,临床典型表现为无痛性血尿,肾癌可有假性包膜,血供丰富,大体病理切面为实性,常有坏死,出血和囊变,少数有钙化,晚期肾癌发生肾周脂肪囊和肾周各间隙的侵犯,淋巴结转移和肾静脉,下腔静脉瘤栓。

MRI表现:T1WI肾癌一般呈低信号,等信号时容易漏诊,此时仅见局部皮髓质交界的消失,冠状面对于肾脏轮廓的显示更清晰;T2WI肾癌一般为不均匀较高信号,但有时为等信号或较低信号,注意观察肾癌的假包膜,T1WI和T2WI均为低信号,增强扫描为必须检查项目,可有不同程度和形式的增强,对于肾盂肾盏受压和肾周肾窦脂肪受侵,淋巴结转移或肾静脉,下腔静脉瘤栓等情况也应观察描述,并进行肿瘤的分期。
膀胱癌
膀胱肿瘤中膀胱癌最常见,常见于40岁以上男性,临床表现为血尿,可伴有尿痛和尿急,病理上主要为移行细胞癌,多呈乳头状向腔内生长,还可向外侵犯肌层,进而侵犯周围策划和器官,部分膀胱癌呈浸润性生长,导致膀胱壁局限性增厚。
本病的MRI表现主要为突入膀胱内的肿块和膀胱壁的局限性增厚,平扫T1WI呈低信号时可能显示不清,T2WI小肿瘤可能被尿液高信号掩盖,所以增强扫描必不可少,MRI可以对肿瘤进行分期,判断膀胱肌壁受侵程度,此时注意描述正常膀胱壁T2WI低信号带连续性中断,膀胱周围脂肪受侵时T1WI或T2WI脂肪信号区内有低信号影。
肾上腺
肾上腺腺瘤
本病可分为内分泌腺瘤和无功能腺瘤两大类,可分泌肾上腺皮质激素和醛固酮,性激素等,表现出不同的临床症状和表现,肾上腺腺瘤直径大小在2—5cm之间,瘤内作为激素前体所积聚的脂肪比例较大,腺瘤常引起同侧肾上腺的其余皮质对侧肾上腺皮质萎缩,两侧性腺瘤罕见。

MRI表现:醛固酮腺瘤T1WI为稍低信号,T2WI为等信号,注意瘤内的高信号脂肪影,皮质醇腺瘤T1WI信号与肝脏相似,T2WI等或略高于肝脏,低信号肿瘤包膜光滑完整,注意观察描述腺瘤的位置,大小和信号改变,一般诊断报告并不说明其具体分类,需要结合临床相关生化检查。
嗜铬细胞瘤
本病由嗜铬细胞组成,常位于肾上腺髓质,多为单侧性,也可见于双侧,在成人90%位于肾上腺,肾上腺以外的嗜铬细胞瘤常在腹膜后沿交感神经链分布,此瘤多见于成人,此瘤因分泌儿茶酚胺,肾上腺素与甲基肾上腺素而产生阵发性高血压为典型临床表现,MRI横断面结合冠状面扫描对于发现肿瘤和定性诊断有很大价值。

注意观察描述嗜铬细胞瘤的特征:T1WI低或等信号,T2WI信号显著增高,瘤周常有低信号包膜,瘤内信号均匀或不均匀,坏死囊变区T1低信号T2高信号,合并出血T1,T2呈片状高信号,双侧性嗜铬细胞瘤并不少见,注意恶性嗜铬细胞瘤和异位嗜铬细胞瘤的情况。
肾上腺转移瘤
肾上腺由于血供丰富,转移瘤很常见,在血行性转移的好发部位中占第四位,肾上腺转移瘤常见的原发性肿瘤是肺癌,乳腺癌,其次是胃癌,肝癌,胰腺癌,甲状腺癌,肾癌以及黑色素瘤与淋巴瘤,肾上腺转移瘤通常很少影响肾上腺功能,因而不见其本身内分泌症状;仅有很少肾上腺转移瘤产生肾上腺素分泌减少的表现。

右侧肾上腺小腺瘤
应该注意描述肾上腺转移瘤的特点,肿瘤一般为双侧性,边缘较不规则,由于肿瘤出血坏死,信号较不均匀,T2WI信号较高,动态增强扫描转移瘤一般强化明显且持续较长时间,注意询问病史,确定原发灶。邻近其他脏器的转移性病灶和腹膜后肿大淋巴结也应观察描述。
前列腺
前列腺肥大
前列腺增生症是老年男性患者常见疾病之一,临床诊断以尿频,尿急,排尿困难以及影象辅检为主要依据,前列腺位于膀胱下方,耻骨联合后方,是包绕尿道根部的实质附属性腺,其后面较平坦,正中有纵行浅沟,将其主体部分分为左右两叶,尿道从中穿过,前列腺肥大是中央区与移行区的腺策划,平滑肌策划以及结缔策划的增生,包绕并挤压后尿道,MRI多种方位扫描可以诊断前列腺肥大,并可以与大多数前列腺癌的鉴别。
前列腺肥大的MRI表现:前列腺体积增大,外形光整或不规则,向膀胱内突出呈分叶状,一般可见中央带腺体明显增大,而边缘带腺体的高信号呈受压变薄变窄的改变,但两侧通常较对称,T1WI增生的腺体与边缘带无法区分,均呈较低信号或中等信号,T2WI表现为以低信号为主混杂散在斑点状高信号区,或者表现为以高信号为主,内见筛孔状的低信号区,应该注意与前列腺癌的鉴别,必要时活检。
前列腺癌
前列腺癌是最常见男性肿瘤之一,其发病率仅次于肺癌,占男性癌症死因的第2位,前列腺癌70%—75%发生于前列腺的周边带;原发于移行区者,往往与BPH伴发,前列腺癌的转移途径有直接浸润,血行转移和淋巴转移,可侵及尿道,精囊,膀胱,骨转移是最常见的血行播散,其部位依次为骨盆,腰椎,股骨,胸椎,肋骨。

前列腺癌病灶主要在T2WI上进行观察,主要表现为高信号的周围带中出现结节状或片状低信号影,同时应观察前列腺包膜是否完整,周围的脂肪内是否有信号减低的浸润改变,双侧精囊腺大小,精囊三角是否对称,精囊腺信号是否异常也应观察描述,此为观察精囊腺受侵情况。应该注意的是T2WI上周边带低信号非前列腺癌的特异表现,有些少见病变如炎症,瘢痕,钙化也可有类似表现,因此,前列腺癌的MRI诊断需要结合临床及活检。
子宫
子宫平滑肌瘤
子宫平滑肌瘤好发于30—50岁的妇女,按生长部位分为黏膜下型,肌壁间型,浆膜下型。多数患者有月经改变,表现为经量增多,持续时间长,间隔短,以黏膜下肌瘤及较大的壁间肌瘤常见,浆膜下肌瘤可无月经改变,病理上,子宫肌瘤由平滑肌策划及少量纤维策划构成,肌瘤周围压缩的子宫肌壁策划形成假包膜。
病例1:多发子宫肌瘤
应观察描写子宫的大小和轮廓变化,详述子宫肌瘤的大小,数目和位置,T1WI子宫肌瘤等或稍低信号,境界不清,T2WI等或较低信号,可呈现涡旋状改变。注意变性的子宫肌瘤信号不均,钙化及透明变性在T1WI,T2WI上均为低信号,脂肪变性为高信号,坏死为长T1长T2信号,应注意子宫平滑肌肉瘤的瘤内粗大的血管和动态观察时的突然增大。

病例2:多发子宫肌瘤合并子宫腺肌症
除了描写子宫肌瘤的数目,大小,信号改变之外,对于不同类型子宫肌瘤应叙述其特点,黏膜下子宫肌瘤以窄蒂向腔内突出明显,周围有长T2信号的宫腔液体围绕其大部分,应注意合并子宫腺肌症时的子宫肌层的条片状信号增高改变。
子宫腺肌症
本病是一种妇科常见的良性疾病,发病率19%—62%。病理学诊断标准为距子宫内膜基底层以下至少1个低倍视野深处的子宫肌层中出现内膜腺体和间质,呈岛状分布,其周围有增生肥大的平滑肌。子宫内膜异位的病因不同,以子宫内膜损伤学说占主导地位,没有特异的临床表现,可与多种妇科疾病尤其是子宫肌瘤并存。
注意观察描述子宫腺肌症时子宫外形的均匀增大,子宫壁中央的肌层增厚,在T2WI上较低信号的子宫肌层内出现条片状高信号,子宫腺肌病反复出血时T1WI可呈现不均匀高信号。
子宫颈癌
本病在妇科恶性肿瘤中列居死亡原因的第三位,发病平均年龄为50岁左右,并在35岁和50岁左右双峰分布,子宫颈癌最常见的临床症状为阴道出血和阴道排液,其他非特异性的症状为尿频,排尿困难,盆腔疼痛,便秘和便血,MRI可直接显示病变,可精确估计子宫颈壁受侵的深度,分期准确,宫颈内病变及明显浸润的肿瘤也应当用MRI来评估。
应描述宫颈癌时的宫颈形态改变,一般是增粗形成肿块,T1WI一般为等信号,境界不清,T2WI显示相对高信号,增强扫描信号低于明显强化的子宫,对于肿块大小,子宫,宫旁,膀胱及直肠是否受侵应一一描述。
卵巢
卵巢囊腺瘤
本病分为浆液性囊腺瘤和黏液性囊腺瘤,约占卵巢原发肿瘤的1/4,双侧发生率约为15%,浆液性囊腺瘤和黏液性囊腺瘤可以并存,浆液性囊腺瘤呈单房或多房改变,黏液性囊腺瘤多为多房改变,好发年龄为20—50岁,临床症状有腹部不适或隐痛,腹部包块等,少数伴有月经紊乱,浆液性囊腺瘤患者有时可出现腹水,病理表现:肿瘤切面为单房或多房性,囊壁光滑或有乳头状突起,浆液性囊腺瘤囊壁上皮为单层立方或矮柱状上皮;黏液性囊腺瘤囊壁上皮为单层黏液柱状上皮。

右侧卵巢粘液性囊腺瘤
注意观察描述卵巢囊腺瘤的大小及均匀液性长T1,长T2信号特点,同时应观察描述囊腺瘤的分隔和乳头状壁结节,一般在T2WI上显示清晰,黏液性囊腺瘤内有粘蛋白,T1WI呈等或略高信号,T2WI为高信号,此点可与浆液性囊腺瘤相鉴别。
卵巢癌
在女性生殖系统恶性肿瘤中,卵巢癌的发病率仅次于宫颈癌,多数患者早期无症状或症状轻微,就诊时往往已有盆腔广泛转移,卵巢癌来源于上皮,其策划类型多样,其中浆液性囊腺癌所占比例较大,约占42%。肿瘤播散主要通过肿瘤表面细胞种植和淋巴转移,血行播散少见。
注意观察和描述肿瘤的性质,囊实性肿块一般为囊腺癌,其边界较清楚,囊壁及分隔厚薄不均,壁结节可融合成块,同时应描述肿瘤的大小范围,左右侧起源,是否有盆腔器官受侵,出现腹水时应注意其T1WI,T2WI信号较一般体液高,为转移性血性腹水。
来源丨翼展云影