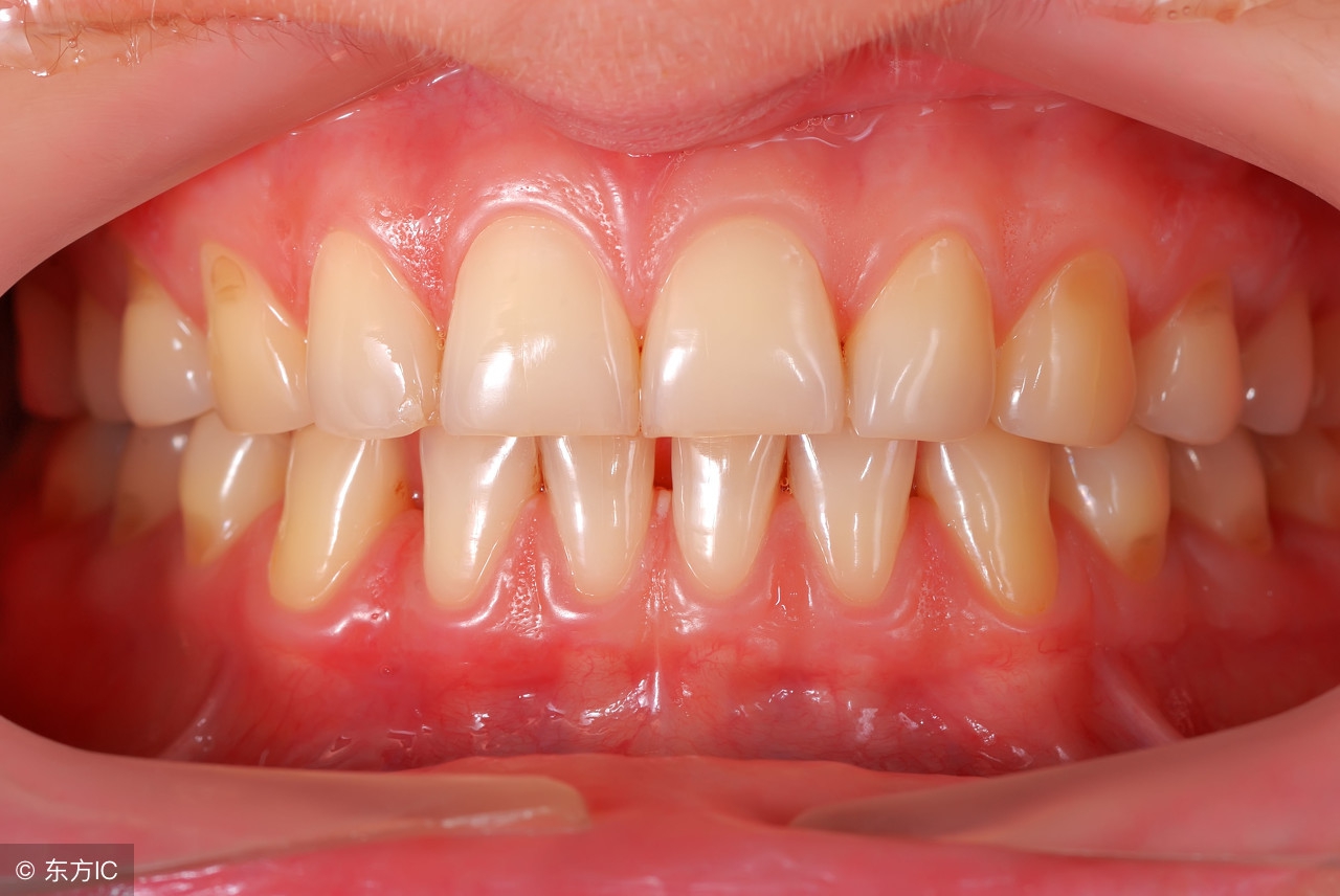
牙齿出现炎症会导致牙龈出血,牙龈底下的污垢以及结石是日常刷牙无法清除的地方,成为细菌滋生的温床,容易导致牙龈发炎导致出血。成年人会经常出现牙龈出血症状,长期牙龈出血对人体健康有很大损害。下面就来了解一下牙龈出血应该如何处理?

1、急性牙龈出血应该及时治疗,采取有效的止血办法。例如填塞,压迫出血位置,牙周塞治或者缝扎牙龈乳头部分。必要时可以通过药物缓解急性牙龈出血,并且要严格控制饮食。如果牙龈出血症状严重,通过应急止血仍然得不到缓解,应该及时到牙科医院接受检查和治疗。
2、局部的刺激也会导致牙龈出血,应该及时清除局部刺激因素。包括刮除牙龈上部和底下的牙石,破坏细菌滋生环境。另外还要将受损位置修复,纠正口腔不良习惯等。养成良好的生活习惯可以有效缓解牙龈出血,每次进食后可以漱口或者刷牙,尽量少用牙线,牙签,定期检查牙齿。

3、对于全身健康状况出现异常导致牙龈出血,应该引起重视。牙龈出血可能是重大疾病的前兆,治疗不及时容易耽误病情,及时检查十分重要,例如血常规检查,肾脏功能检查。针对身体出现的各种异常对症下药,采取合适的治疗措施。
4、许多牙龈出血是因为缺乏维生素C引起的。在医生的指导和建议下合理服用维生素C片,饮食上也要注意多补充营养物质。注意饮食均衡搭配,可以多吃富含维生素C的食物。例如西红柿,苹果,柑橘,柠檬,猕猴桃等,还可以多吃绿色蔬菜。
5、如果是牙周炎引起的牙龈出血,则可以在医生的指导下服用消炎药。并且依照医生叮嘱复诊。如果牙周炎十分严重,切不可盲目自己用药。

6、超声波洗牙能够将牙齿内部结石以及污垢清除干净。减少牙龈出血,牙周炎,牙龈炎等口腔疾病的患病几率。平时注意对口腔进行有效清洁,除去牙石是最简单的办法,还能够美白牙齿。
觉得本文有用,请点赞或推荐给朋友,并关注【医联媒体网】。