
医脉神经每周五个工作日都有雷打不动的早餐病例学习,每天3个短小精悍的小case,每天掌握3个知识点。每个群的群主轮流提供早餐病例,感谢各位群主及老师们的辛苦付出,也感谢参与讨论的众多群友。大家思想的碰撞,产生了无数的智慧火花,常在群里逛逛,每天都有新的收获。2019年度精彩晨读病例已告一段落。2020年医脉神经「晨读病例」精彩继续~
作者:赵伟,赵莲花(天津泰达医院)
感谢为晨读三分钟病历提供、整顿、审校的老师:陈孝东、张奉贤、刘礼泉、谭小林、于鹏飞、鲍磊、刘步、洪安辉 邱喜林、卢志杰、王赏、吕华东、廖耿、黄金波、鲍磊、张建利、梁新明 申永国、黄波涛。
回忆更多精彩病例见☟☟☟
2019年度3分钟读片汇总
病例1
男性35岁。因头晕、左侧肢体无力半天入院。既往:发现血压偏高7-8年;嗜烟酒。查体:血压120/80mmHg,左侧偏瘫。实验室检查:红细胞 5.62*1012/L,Hb185g/L,抗磷脂抗体阴性。

答案:颈内动脉巨大漂浮血栓。颈动脉自由漂浮血栓(附着于血管壁的瘦长血栓,其远端大部仍有栓周血流)罕见,文献报道不超过150例。最常见的病因为动脉粥样硬化或溃疡斑块,也见于高凝状态、高纤维蛋白原血症、缺铁性贫血、血小板增多症、兴奋剂使用者。治疗以抗凝和稳定斑块为主。不常规考虑血管内治疗。因为:1)该血栓为延伸性,而非堵塞性;2)患者神经功能缺损相对轻;3)由于再发栓塞的风险很高,应当避免针对血栓的机械操作。若患者的临床症状恶化,应当进行紧急的机械取栓治疗(如抽吸血栓)。病情稳定后可行颈动脉内膜剥脱术。
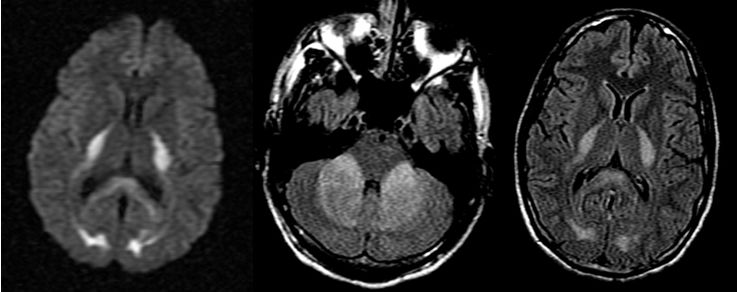
病例2
患者,21岁女性,患者3小时前做某手术后突 发右侧肢体乏力、意识不清。

发病24小时磁共振:

答案:脑型脂肪栓塞综合征。患者做了自体脂肪填充术。脂肪栓塞综合征(fat embolism syndrom,FES)是指直径为10~40μm的血管内脂肪颗粒阻塞血管腔而引起的一系列病理生理改变的临床综合征。FES常发生于骨创伤及骨手术病人。FES潜伏期为6~24h,FES 的典型三联征为低氧血症、意识障碍和瘀斑。
病例3
66岁女性,头痛原因待查。

答案:颅底脊索瘤(chordoma)。脊索瘤是一种罕见的缓慢生长的恶性骨肿瘤,通常发生在脊柱或颅底。来源于残存的脊索策划,具有肉瘤的部分特点。通常在40-70岁发病。男性多于女性。脊索瘤可以发生在脊柱和颅底的任何部位。CT一般表现为溶骨性骨质破坏,常伴有膨胀性软策划肿块,内有散在斑片状钙化,少数边缘表现为骨质硬化。MRI信号呈长T1、长T2信号,信号不均匀,增强后多呈中度至明显不均匀“蜂窝”状强化。矢状位桥脑腹侧呈“指压状”凹陷。要和垂体瘤、脑膜瘤相鉴别。治疗包括外科手术、放疗和靶向治疗等。
病例4
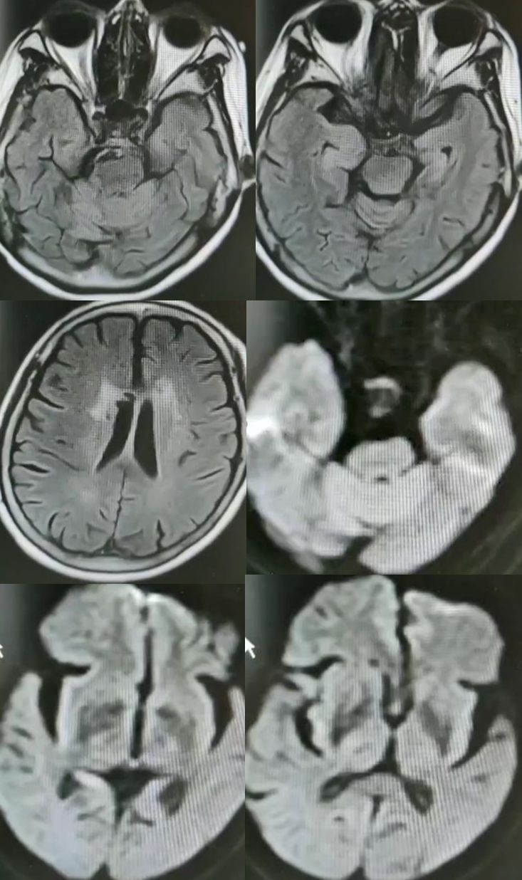
男,29岁,言语不清,协调不良以及行走不平衡3周。

答案:*洛因海**海绵状白质脑病。*洛因海**海绵状白质脑病(heroin spongiform leukoencephalopathy,HSLE)是因烫吸或静脉注射*洛因海**而引起的中枢神经系统器质性疾病。临床和影像特点如下:
1. 有吸*洛因海**史;
2. 急性或亚急性起病;
3. 小脑受损为首发症状,进一步加重可出现锥体系及锥体外系受损表现,甚至昏迷、去皮层状态,但感觉系统不受累;
4. CT和MRI影像显示病灶位于脑白质区,呈广泛、对侧性损害(小脑半球、脑干、内囊后肢、胼胝体压部及大脑半球后2/3),其中小脑受累严重,小脑中线两旁、边界清楚的对侧性类圆形或蝴蝶样病灶最具特点(蝶翼征);在脑干部位,若同时有红核及网状结构受累,则可见“蟹钳征”;在内囊后肢则呈“八字征”。病变在T1W为低信号,T2WI为高信号,FLAIR为高信号,且增强扫描一般无强化.5.病理显示脑白质空泡样变。
病例5
30岁女性,言语不清3年。

答案:肝豆状核变性。又称Wilson’病(WD),是一种常染色体隐性遗传的铜代谢障碍性疾病。主要是由于铜离子异常大量沉积于肝、脑、肾等策划,从而导致全身多系统多器官的损害,以神经系统症状、精神症状、眼部损害、肝脏损害等为主。神经系统最突出的症状是锥体外系症状,包括震颤、构音障碍、肌张力障碍、手足徐动症、共济失调等。构音障碍表现为声音低沉、含糊或嘶哑、缓慢或断续,严重时发不出声,是舌、唇、咽、喉和下颌肌肌张力增高所致。而肝脏的表现通常为肝功能损害、肝硬化、门脉高压症等,一般年轻患者居多。MRI表现为壳核、尾状核头和苍白球在T2WI上呈低信号,齿状核和红核亦可见T2WI为低信号。还可有不同程度的脑萎缩,如两侧壳核对称性裂隙,豆状核、尾状核、大脑皮质、脑干和小脑的萎缩。大小熊猫征为Wilson病的典型特征。
病例6
女,70岁,反复胸闷痛5年,头痛1周。

答案:大脑凸面蛛网膜下腔出血(cSAH)。其病因多样,如果年龄>60岁,临床反复发作性短暂性神经功能缺损症状,考虑脑动脉狭窄或闭塞(包括烟雾病)和CAA。如果临床<60岁,病程中伴有头痛,考虑静脉窦血栓、RCVS、PRES和血管炎。患者MRA如下图:

病例7
女,51岁,双下肢麻木、行走欠稳1月余,肌力5-级,双上肢正常,大小便障碍。

脑脊液化验结果如下:

答案:抗Hu抗体相关副肿瘤综合征。补充检查:抗Hu抗体阳性,胸部CT可见一个小结节存在,余无异常。中年女性患者,亚急性起病,双下肢麻木、行走不稳,肌力有减退,二便障碍。影像学见双侧半卵圆中心、脑干及脊髓长节段病变。结合病史、查体及影像考虑脱髓鞘、免疫及肿瘤代谢性疾病。患者CSF白细胞280,一般实验室检查无异常排除感染。好多老师看到了脑室旁髓静脉样条纹,考虑为自身免疫性GFAP星形细胞病。该病早期称为慢性或亚急性激素反应性非血管炎性自身免疫炎症性脑膜脑炎。病程也有类似,通常40岁女性以上易发,急性或亚急性起病,呈进行性加重或复发-缓解病程,临床表现多样,包括发热头痛,脑病,脊髓炎,视力异常,锥体外系症状,共济失调,自主神经功能障碍等。但是该病CSF检查白细胞数增多,蛋白升高,寡克隆区带阳性。脑脊液和血清中检测到GFAP抗体可确诊。影像特征性表现为垂直于脑室的脑白质血管周围线样放射状增强。
还有多数老师考虑脱髓鞘病,CSF蛋白较高,余正常,影像表现也不符合脱髓鞘病的特点,亦排除脱髓鞘疾病。对于脊髓病变,诊断思路如下:
➢ 观察病变节段的长短:长节段提示NMO、播散性脊髓炎或缺血;短节段常见于MS(通常<2个节段)。
➢ 观察横断面上病变的范围:部分受累提示MS;完全受累见横贯性脊髓炎。
➢ 观察横断面上脊髓受累的位置:后部提示MS,WitB12缺乏症;MS病灶常为圆形或扇形,多位于脊髓侧部或后部;前部病变可能是动脉性梗死及MS。
➢ 观察脊髓是否肿胀:横贯性脊髓炎或肿瘤,肿胀明显;若是MS或急性
播散性脊髓炎,脊髓不肿胀或轻微肿胀。
➢ 观察病变是否强化:多种病变可强化,星形细胞瘤也可以;脱髓鞘病变应与星形细胞瘤鉴别,尤其是出现脊髓肿胀,强化及患者症状进展缓慢时。其他常见的脊髓肿瘤如室管膜瘤与血管母不难鉴别;转移瘤少见。
病例8
男性,75 岁,左上肢无力1 周。

诊断:肺癌脑转移。患者老年男性,影像特征是小病灶大水肿,考虑转移瘤。补充患者胸部CT如下:

病例9
女,36岁,突发意识障碍伴抽搐。

答案:狼疮脑病合并可逆性后部白质脑病综合征(PRES)。补充病史:SLE病史。患者青年女性,有SLE病史,发作性神经系统症状,结合影像学考虑PRES。轻度PRES表现为皮质下或皮质下白质水肿,无实质出血、占位效应、或仅累及脑干或基底节中的一个。中度PRES表现为融合性水肿,从皮质向深部白质延伸,但不延伸至脑室边缘,小脑、脑干或基底节区中有两个轻度受累。重度PRES表现为从皮层到脑室的融合性水肿,或水肿或出血引起中线移位,小脑、脑干或基底节区均受累。
PRES本质上是一种可逆性的血管源性水肿,伴急性神经系统症状,如癫痫发作,脑病,头痛,视觉障碍等。常见原因为:高血压、肾衰竭、使用细胞毒*药性**物、自身免疫性疾病、子痫前期或子痫。约半数PRES患者既往有自身免疫性疾病,如:SLE、血栓性血小板减少性紫癜、甲减、硬皮病、Crohn病、溃疡性结肠炎、类风湿性关节炎、干燥综合征、结节性多动脉炎、肉芽肿性血管炎和视神经血管炎。PRES常由急剧的血压波动或细胞因子对血管壁的直接作用致内皮损伤,引起血脑屏障的破坏,继而引起脑水肿。对称性枕叶皮质下病变要和MELAS鉴别,二者形似神也似。MELAS 的MRI 表现为后部皮层信号改变、脑萎缩、基底节信号改变和钙化、脑白质营养不良。急性期通常会出现 T2 和 FLAIR 高信号,DWI 成像弥散受限。
病例10
37岁男性,言语不清伴四肢震颤3个月入院。

答案:神经梅毒。患者青年男性,双侧海马萎缩明显,梅毒呼之欲出。要注意和慢性酒精中毒鉴别。
病例11
昏迷1天。

答案:脑梗死(双侧前循环闭塞)。这个病例没有提供年龄,性别等资料。影像提示皮层花边征,基底节区也受累。在第27期晨读总结过皮层花边征口诀:低糖高氨上吊死;疯牛病脑偏头疼;假酒中毒持续抽;一氧化碳来凑数;低钠渗透髓鞘脱。提醒各位老师看到类似影像不要忘记有可能是双侧前循环大血管闭塞引起。详见甲硝唑相关脑病、脑腱黄瘤病 、静脉性脑梗死丨3分钟读片·27期。

病例12
女性,75岁,发作性抽搐半月,意识障碍2天。

答案:抗GABABR抗体相关脑炎。抗GABABR抗体相关脑炎在临床上符合边缘性脑炎的表现,通常以癫痫发作、记忆力减退和意识障碍为主要特征。表现形式多样的癫痫发作是早期最突出的特征,多为继发性全身发作,还可以表现为复杂部分性发作、全面发作、全面强直-阵挛性发作、部分性运动性发作,甚至出现癫痫持续状态。患者多合并有记忆力减退和意识障碍,病程后期甚至出现幻觉和人格改变。癫痫发作也可以作为其唯一的表现。约有50%的GABABR抗体阳性患者合并小细胞肺癌,少数可合并其他肺部神经内分泌肿瘤、黑色素瘤及良性胸腺瘤等肿瘤。头MRI一侧或两侧内侧颞叶FLAIR/T2像信号增高提示该诊断的可能,但是这也见于其他自身免疫性脑炎。
参考文献:
[1] Liu S, Tanoura T. Heroin-associated spongiform leukoencephalopathy. Appl Radiol. 2016;45(11):50-52.
[2] 周亮,陆兵勋,尹恝.*洛因海**海绵状白质脑病的临床和影像特点[J].南方医科大学学报,2009,(第12期).
[3] 公众号“粉色的小药丸".脊髓病变诊断思路.
[4] 张爱迪,李小凤.抗γ-氨基丁酸B型受体抗体相关脑炎的临床研究进展[J].中华神经科杂志,2017,(第5期).
