妇科疾病的七种危害 (妇科疾病的信号)

女性子宫不仅是生命孕育的场所,更是女性健康的保障。子宫的健康关乎多种方面,如:体内激素分泌、外界细菌感染等。如何发现宫颈危险信号,及早杜绝妇科疾病?

妇科疾病有什么征兆,妇科疾病的10个征兆

子宫内膜癌的高发人群

宫颈癌、子宫内膜癌、卵巢癌为女性三大妇科癌症。其中,子宫内膜癌与代谢有关。随着生活水平的提高,子宫内膜癌的发病呈现逐渐上升趋势。雌激素分泌过多,可能导致子宫内膜癌。

年龄层

50-70岁的女性属于易患子宫内膜癌的高危年龄层。女性绝经后,体内激素分泌有非常大的变化。但部分女性体内的激素不会随着年龄的增长而迅速下降,在激素的持续作用下,刺激子宫内膜增生,甚至癌变。

妇科疾病有什么征兆,妇科疾病的10个征兆

体型肥胖

雌激素来源于卵巢和脂肪。体内脂肪细胞会产生雌激素,肥胖人群脂肪过多,雌激素水平易高于正常水平,过多的雌激素长期刺激子宫内膜,易引发增生导致癌变。

妇科疾病有什么征兆,妇科疾病的10个征兆

外源性雌激素

除了内源性的雌激素外,外源性的雌激素过多进入体内也可能引起子宫内膜的病变,如:含有雌激素的食品、药物等。

妇科疾病有什么征兆,妇科疾病的10个征兆

其他因素

糖尿病、高血压、体型肥胖、精神压力大、有家族相关因素、没生育过的女性比其他人更容易患子宫内膜癌。

妇科疾病有什么征兆,妇科疾病的10个征兆

子宫内膜癌的症状表现

女性出现以下症状表现时要格外提高警惕,及时去医院检查子宫内膜。

1.腰骶部的持续性坠疼

子宫位于盆腔,如果子宫内膜发生病变就会影响到周边神经,引起疼痛。

妇科疾病有什么征兆,妇科疾病的10个征兆

2.持续性的下腹坠疼

下腹坠疼是妇科疾病就诊的常见主诉,持续性的下腹坠疼可能是子宫内膜发生病变。

妇科疾病有什么征兆,妇科疾病的10个征兆

3.阴道不规则出现暗红色少量血

女性更年期内分泌紊乱,可能出现月经异常,但出现“不规则出血,说来就来,来了以后没完没了,说停就停”的情况要高度重视,可能是子宫内膜癌引起的阴道不规则出血。

妇科疾病有什么征兆,妇科疾病的10个征兆

辅助雌激素平衡

雌激素分泌过多会导致子宫内膜癌,反之,分泌过少会引起骨质疏松、脑中风等多种疾病,如何保持雌激素平衡?

大豆异黄酮

大豆异黄酮,又称植物雌激素,有双向调节的作用。人体内的雌激素水平低了,可以弥补缺少的雌激素。激素水平高了,它会拮抗一部分,辅助激素平衡。

妇科疾病有什么征兆,妇科疾病的10个征兆

豆类食品

豆类食品中含有大豆异黄酮,尤其是大豆中的含量非常高,杂豆中的大豆异黄酮含量较低。豆腐、豆浆等豆制品及豆芽菜等也富含大豆异黄酮。

建议摄入量

中国营养学会推荐每天摄入40g黄豆,也可以等量替换。40g黄豆=300g豆腐=700ml豆浆。但高尿酸、痛风、肾病患者及胃肠道消化不良者需控制豆类及其制品的摄入量。

宫颈的求救信号

子宫,是女性生殖器官中唯一一个有一半暴露在外界的内脏器官,外部细菌侵入子宫,会威胁子宫内部安全。 宫颈是子宫的大门,一旦失守,细菌就会长驱直入,通过子宫、输卵管,抵达盆腔。轻者引起子宫内膜炎、重者导致输卵管炎、盆腔炎,更为严重的是引发败血症,细菌进入血液后,会扩散到全身。

1白带异常

女性有生理周期,正常的白带应为白色或透亮的胶冻样。如果颜色改变,出现很黄的、浓性的、血性的、褐色的等情况,都是不正常的信号,如:灰色白带可能是细菌性阴道炎;白带有血,可能是晚期宫颈癌。

妇科疾病有什么征兆,妇科疾病的10个征兆

2.夜尿增多

夜尿增多,可能预示着宫颈炎症。

3.阴道出血

接触性出血、阴道水样分泌物、绝经后出血,可能是宫颈癌早期征兆。

宫颈部分体验项目

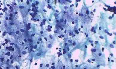
巴氏涂片检查

可发现早期子宫颈癌症状,及早发现,治愈率更高。建议从21岁开始每年查一次。到30岁时,如果连续3次检查结果正常,65岁前可以每3年查一次。

妇科疾病有什么征兆,妇科疾病的10个征兆

性传播疾病检查

美国每年新增的性病患者约为1900万,其中近半数患者年龄在15~24岁。*病治性疗**不及时,可能会导致不孕。性活跃的高危人群应每年接受一次HIV、衣原体和淋病检查。

妇科疾病有什么征兆,妇科疾病的10个征兆

HPV检查

大约30岁开始,女性免疫力开始下降,更易感染HPV。HPV感染是子宫颈癌的必要因素,大多数性活跃女性会在某段时间感染此病毒。从30岁开始检查HPV,如结果正常,之后可每3年做一次检查。