五月的一天,阳光明媚,多年不见的朋友风风火火闯进办公室,“你看看体检做了个核磁,说我有脱髓鞘病变了,我查了一下百度,越看越吓人,你说我会不会瘫痪?”呵呵,同志哥,莫惊慌,严不严重,让我慢慢来告诉你。
随着人们健康意识的增强以及核磁共振检查的普及,脑脱髓鞘病变的检出率显著增高。我们在体检或有头痛等不适进行颅脑MR检查时,经常会看到这样的影像学报告或诊断:“颅内多发脱髓鞘”、“脑白质脱髓鞘”、“多发缺血性脱髓鞘”或“炎性脱髓鞘”等等。脱髓鞘是啥?它是一个什么病?严不严重?毕竟“脱髓鞘”不像“感冒发烧、糖尿病、高血压”那样常见,也不像“脑梗塞、脑出血”那样被老百姓所熟悉,这个时候就开始网上查问度娘,不查不要紧,一查吓一跳,常常会出现本文开头一幕,今天小七就和大家聊一聊脱髓鞘相关的知识,希望能对大家有所帮助!
“脱髓鞘病变”严重吗?
脱髓鞘实际上是一种病理上的概念,指的是大脑皮层下的白质纤维发生髓鞘的脱失,是说大脑发生了结构性改变。打个比方,神经纤维就像电线,髓鞘就像电线皮,轴索就像电线芯,髓鞘(电线皮)包裹在轴索(电线芯)外周形成多层结构,起到保护神经、营养神经、传导神经冲动等重要作用。
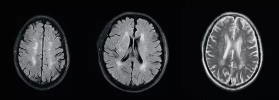
髓腔脱失的原因有很多,包括先天代谢性和后获得性。先天代谢性脱髓鞘主要指的是脑白质营养不良,以儿童青少年起病居多,这类疾病脱髓鞘在影像上多呈广泛对称性。后天性获得性脱髓鞘的病因又有很多种,包括缺血、炎症、感染、代谢、中毒、外伤等。更多见的是由高血压、糖尿病、高血脂等导致的微小血管病变引起缺血,继而导致髓鞘的脱失,也就是我们最常见的缺血性脱髓鞘,其本质是脑梗塞。这些脱髓鞘往往是个慢性的过程,一般没有临床症状,只有在做颅脑核磁检查时才被发现;病灶个头通常较小,数量上有时个别几个,有时候也可以有不少,呈点灶状或小片状分布在皮层下或者深部脑白质或者侧脑室前后角旁。看专科医生时,如果判断属于这种类型的脱髓鞘,就需要对上述相关的危险因素进行筛查、监测和管理,并完善颈部血管超声、经颅多普勒、颅内血管核磁等检查,看看大中血管的情况,如果没有比较大的斑块,没有明确的血管狭窄。就要管理危险因素(血压、血糖、血脂、吸烟过量饮酒等)并每半年到一年复查一下就行了。

(FLAIR序列及T2WI序列显示缺血性脱髓鞘病变)
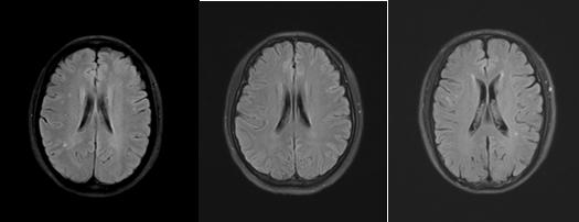
还有一部分人有上述特点病灶,但是没有筛查到上述危险因素,往往给大家带来困扰,到底是啥原因导致的呢?其实在我们小时候都会多次接种疫苗甚至长大还会接种或加强一些疫苗,如狂犬疫苗、乙肝疫苗,有的冬天还会接种流感疫苗;还有就是类似感冒的病毒感染,从小到大估计每个人都会经历无数次。实际上接种疫苗或者感冒后脑子里就可能出现几个甚至多个病灶,从本质上讲它们是炎性脱髓鞘病灶,只是人体轻的、限制性的一个免疫反应和结果。这种脱髓鞘病灶也绝大多数是幼时留下来的,被后来体检或者其他原因做颅脑核磁时所发现。如看专科医生,判断属于此种情况,就不必担心了。因为这些病灶一是无症状性的,二是这些病灶长期稳定存在,如果是第一次做核磁发现,那么第二、三年再复查比较一下,如果较前没有增多和变化,就基本不需要管它们了。这里提醒大家不要过于纠结,希望这些病灶能够消失,因为它们是陈旧性病变,不会消失而会稳定一直存在;但是它们既没有症状,未来也不会变成活动性病灶,所以请大家不要担心。

(常见无症状炎性脱髓鞘病变)
而度娘说的严重的脱髓鞘指的是多发性硬化、视神经脊髓炎谱系疾病的“脱髓鞘”,这种脱髓鞘也属于炎症性脱髓鞘范畴。但这两大类脱髓鞘疾病的发病率实际上非常低,目前其确切的病因和发病机制还不是很清楚,因其具有复发和进展性,容易引发临床症状,甚至导致严重不良预后,需要高度关注,这两种类型的脱髓鞘病灶,有它们自己的一定特点:首先分布上绝大多数不对称,多发性硬化容易出现在皮层下和脑室旁,视神经脊髓炎谱系疾病特别容易出现在脑干延髓,两者都容易累及胼胝体;除脑子以外,视神经和脊髓也是两者经常累及的部位。在症状方面,都容易出现视力下降、胳膊腿麻木无力甚至是截瘫、大小便的障碍等。这种类型的脱髓鞘必须要看专科医生,最好是看脱髓鞘亚专科医生,并进行长程的疾病管理,即便是确诊为这种情况,也不要惊慌失措过度担心,因为随着疾病研究的不断进展和越来越多越有效的药物研发上市,疾病的管理效果越来越好。
叨叨了这么多,你可能还是一头雾水,让我减轻一下你的负担,总结一下吧:

当大家遇到核磁共振报告脱髓鞘改变时,正确的处理方式是:
1. 先不要过度担心,急着百度,要看自己有没有症状,有没有高血压、糖尿病、高血脂等导致小血管缺血的病变,然后根据具体情况具体分析。不要病急乱投医,自己吓唬自己。
2. 脱髓鞘病变检出依靠的是核磁共振(MR),而要显示清晰,和小血管其他病变鉴别就需要高场MR的一些特殊序列 (也就是1.5或3.0TMR)。比如武威肿瘤医院的西门子3.0MR就能较好显示脑内病变,如果你做的是场强低于1.0T的核磁共振,提示脱髓鞘病变,而你又有症状,那么请你必要时复查高场MR,并找相关专科医生就诊,结合其他实验室检测再下结论。

3. 大家所担心的多发性硬化或视神经脊髓炎谱系疾病那种类型的脱髓鞘只是其中非常少见的情况,而且会有较明显的症状,所以不要根据网上查到的相关结果自己对号入座。
4. 如果你还是不放心,请保留好MR片和报告,来年进行复查,看有无变化。
5. 即使是诊断多发性硬化或者视神经脊髓炎谱系疾病也不要焦虑抑郁、丧失信心,目前可以用于治疗的药物很多且效果很好,只要积极面对、早期诊治、遵从医嘱、科学管理,绝大多数情况下病情都可得到非常好控制,而大多数患者也都可以回归正常工作和生活!
好了,又是小七说再见的时间了。如果你还有什么不明白的,可以电话咨询武威肿瘤医院影像科(电话:6988579)。


武威肿瘤医院影像科拥有西门子3. 0T超导核磁共振仪和1.5T核磁共振,是集物理、化学、电子计算机等现代化高科技之大成的高科技产品,检查无创伤,无放射源危害,是目前为止应用于临床最高端的磁共振检查设备。
适应范围:
1、颅脑和脊髓:清楚显示颅脑,后颅凹、五官、脊髓各种病变,确定肿瘤的位置和范围,早期发现脱髓鞘病变。可进行DTI、脑灌注、MRS等功能性检查。
2、胸部:对纵隔病变的诊断有独特的优点,能清楚显示纵隔肿瘤及其与血管间的关系,帮助诊断肺部疾病,更好地显示肺癌、肺门淋巴结和胸膜侵犯情况。
3、乳房疾病:可了解乳腺细微策划病变,对乳腺肿瘤术前及术后评估意义重大。
4、腹部和盆腔:对于肝、肾、膀胱、前列腺、子宫等脏器的疾病均有相当的诊断价值。
5、软策划:具有高分辨率和对比度,优于CT, 可观察软策划肿瘤存在与否、部位、大小、程度、与周围骨骼、血管、神经束之间的关系。
6、骨关节:显示椎间盘、关节半月板的变性、撕裂、脱位,关节、肌腱、韧带的撕裂、骨挫裂伤优于CT与X光片。
早检查, 早发现, 早治疗, 祝朋友们永远健康!

(磁共振DTI技术、MRS图像)

(乳腺MRDWI及MRS成像) (宫颈Ca)