近日来积水潭医院普外科接连收治了多个“小便像酱油一样,眼睛黄,皮肤黄”的患者。虽然他们的表现很相似,都是黄疸患者,但是病因确不相同,治疗方法也差别很大。
今天我们就借着这几个病例,向大家介绍一下黄疸患者该怎么诊治。
病例一
7 6岁的赵大爷是一名退休的老中医,住院1周前无意中发现自己的小便非常黄,同时还出现了皮肤瘙痒,家人也发现老赵的皮肤颜色变暗了,白眼球也黄了,住院后检查发现是胆管末端堵住了,接受了根治性的胰十二指肠切除手术,术后病理证实为胆管癌。老赵术后恢复的很顺利,小便、皮肤和巩膜都恢复了正常,身上也不痒了。

发黄的皮肤和抓痕
病例二
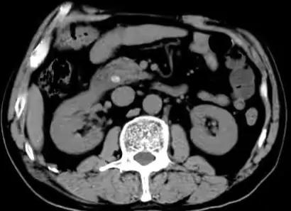
43岁的王先生是一名从事销售工作的职员,最近1个月反复“胃痛”,因为工作忙都是自己吃药对付。近3天发现小便像酱油一样,白眼球也有点发黄了,到医院检查发现胆管里面有一颗1cm大小的石头,胆囊也存在多发结石。我们给她做了腹腔镜下胆囊切除+胆管切开取石手术,术后很快尿色就正常了,肚子也没再疼。

CT显示存在胆管结石
病例三
37岁的赵女士是一名中学教师,1周前开始感觉手部的皮肤发黄,白眼球也是亮亮的黄色,门诊检查发现总胆红素已经300多了,住院以后进行了全面检查,各种病毒学指标、自身抗体等都是阴性,肝胆超声也没有发现明显异常。追问病史获悉,患者在两周前胃不舒服,吃了很多草药,具体成分并不清楚。通过应用保肝药物调理,患者的黄疸指标逐步稳定下降 ,皮肤和眼睛的颜色也逐步恢复了正常。
什么是黄疸
皮肤黄染后都可以称为黄疸,但是根据血清胆红素是否升高分为真性黄疸和假性黄疸。
|
真性黄疸 |
各种原因导致的血清总胆红素超过正常检测范围上限,皮肤、巩膜均黄染 |
|
假性黄疸 |
药物或食物中的色素导致,血清总胆红素不高,一般皮肤黄染,巩膜较少出现黄染 |
假性黄疸较为少见,主要与进食富含胡萝卜素的食物或含黄色素的药物有关,比如吃了过多的胡萝卜、橙子、南瓜等可导致假性黄疸。假性黄疸不会对身体导致严重伤害,只要找到相关的食物或药物,不再大量摄入即可,不需要特殊治疗。
真性黄疸是需要临床诊治的严重疾病。血清总胆红素超过正常检测上限(大多数医院为25umol/l)即可诊断真性黄疸,当总胆红素数值超过34umol/l时,可引起明显的皮肤、巩膜黄染,能够被人眼直接识别,称为显性黄疸。总胆红素数值越高,皮肤巩膜黄染越明显。
根据发病机制不同,可以将真性黄疸分为梗阻性黄疸、肝细胞性黄疸和溶血性黄疸。病例一和病例二的患者都属于梗阻性黄疸,都需要通过外科手术解除梗阻进行治疗,因而临床上又将梗阻性黄疸称为外科黄疸。而病例三属于肝细胞性黄疸,外科手术没有用武之地,需要通过药物治疗。溶血性黄疸同样也是需要药物治疗。因此,肝细胞性黄疸和溶血性黄疸又被称为内科黄疸。
|
外科黄疸 |
梗阻性黄疸 |
以直接胆红素升高为主 |
胆管癌、胆管结石、胰头癌等 |
|
内科黄疸 |
肝细胞性黄疸 |
直接胆红素和间接胆红素平行升高 |
病毒性肝炎、肝硬化、自身免疫性肝病等 |
|
溶血性黄疸 |
以间接胆红素升高为主 |
海洋性贫血、自身免疫性溶血性贫血等 |
出现黄疸怎么办
当发现小便颜色加深、皮肤和眼睛发黄时,建议尽快到普外科或消化内科就诊,向医生详细说明病史,检查尿常规、肝功能进行初筛。确认血清胆红素升高者,需要做腹部超声检查有无胆管扩张,存在胆管扩张者,考虑为外科黄疸(梗阻性黄疸),需要到普外科或肝胆外科诊治;没有胆管扩张者,考虑为内科黄疸,需要到消化内科或血液科诊治。