来源:中国生物技术网
我们现在都知道,新冠病毒主要通过飞沫和接触污染物表面传播。对于其他的传播途径,如母婴传播,尚不清楚是否是通过胎盘、宫颈或环境暴露途径发生的。
北京时间7月15日凌晨,发表在《Nature Communications(自然通讯)》上的一项最新研究中,法国巴黎附近一家医院的医生团队报告了首例由母体感染新冠病毒的新生儿确诊病例。

该研究称,这名3月份出生的男婴患有脑肿胀和与新冠肺炎相关的神经系统症状,但后来已经康复。

图片来源:自然通讯
该研究通讯作者、Antoine Beclere医院的医生Daniele De Luca说,早期的研究指出了新冠病毒可能会从孕妇传染给胎儿,这项研究提供了第一个确凿的证据。
他说:“我们已经证明,在妊娠的最后几周,通过胎盘从孕妇传播给胎儿是可能的。”
上周,意大利的研究人员说,31名因感染新冠病毒而住院的孕妇数据表明该病毒可能会传染给未出生的婴儿。
《美国医学会杂志(JAMA)》 3月份的一项研究也得出了类似结论。
但上述证据都是间接的。
De Luca说:“你需要分析产妇的血液、羊水、新生儿的血液、胎盘等等。在紧急情况下,在大流行期间获得所有这些样本并不是易事。这就是为什么人们会怀疑,但却从未证实。”
De Luca和他的团队收集到3月初一名23岁孕妇入院的数据。该患者在入院前两天高烧(38.6°C)并伴有严重咳嗽和大量痰液。通过实时聚合酶链反应(RT-PCR)检测,在其血液、鼻咽和阴道拭子中均检测到新冠病毒E和S基因。在诊断出新冠肺炎前,该孕妇的怀孕情况良好,所有超声检查和常规检查均正常。
由于婴儿是剖腹产,因此病毒的所有潜在来源都保存完整。在胎膜破裂前,剖宫产期间收集羊水,并检测新冠病毒的E和S基因均为阳性。
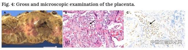
研究人员发现,新冠病毒的浓度在胎盘中最高。


图片来源:自然通讯
De Luca说:“在那里,病毒通过脐带传给胎儿,并在那里继续发展。这就是传播途径。”
婴儿在出生24小时后开始出现严重症状,包括身体严重僵硬、大脑白质受损和极度易怒。
但在医生确定治疗方案前,症状开始消退。三周后,这个新生儿几乎完全靠自己恢复了健康。三个月后,他的母亲也没有了症状。
De Luca说:“坏消息是,这确实发生了,而且可能正在发生。好消息是与全球人口相比,这是非常罕见的。”
牛津大学妇幼人口健康教授Marian Knight说,在数千名感染新冠病毒的产妇所生的新生儿中,没有超过1%或2%的婴儿检测出病毒呈阳性,出现严重症状的甚至更少。
她说:“对孕妇来说,最重要的信息仍然是要通过注意洗手和社交距离措施来避免感染。”
其他研究人员表示,这个案例揭示了病毒是如何从孕妇传染给胎儿的。
伦敦大学国王学院的妇产科教授Andrew Shennan评论说:“这份报告为病毒通过胎盘转移到胎儿的可能机制增加了知识。但女性仍可以放心,怀孕对她们或她们的胎儿来说不是感染新冠病毒的重大风险因素。”
论文链接:https://www.nature.com/articles/s41467-020-17436-6
#医师报超能团# #超能健康团#