
胎儿在宫内有缺氧征象,危及胎儿健康和生命,称为胎儿窘迫。胎儿窘迫是一种综合症状,是当前剖宫产的主要适应证之一。
胎儿窘迫多见于产前期,主要有胎盘功能不全的表现。病理生理高危妊娠,如妊娠期高血压疾病、慢性高血压、肾炎、糖尿病、心脏病、哮喘、重度贫血、过期妊娠等,或由于血管病变使子宫血液减少,或由于胎盘的退行变,或由于血氧浓度过低,使胎儿得不到足够的供氧,引起胎儿生长迟缓、红细胞增多症、胎动减少,甚至严重的胎儿窘迫,引起胎儿死亡。通过超声及时发现胎儿窘迫,有利于尽早处理,避免不良结局。
临床标准
1 胎心率异常
于无宫缩、无胎动时检查,心率>160bpm或<120bpm。
2 胎动异常
胎动减少:胎动<10次/12h,胎动频繁:胎动>10次/1h。
3 羊水胎粪污染
4 胎儿血气分析异常
PH<7.2,PC2<10mmHg,PCO2>60mmHg。
超声标准
1、胎心率及胎动异常(同诊断标准)。
2、羊水胎粪污染:羊水中有较多漂浮光点、羊水呈现与胎盘相近的中等回声,脐带呈现无回声结构。
3、胎儿脐带绕颈引起脐动脉血流图异常:胎儿颈部见“U”或“W”形及串珠状压迹,彩色多普勒示压迹处环状花色血流,脐动脉血流图异常:S/D>3,RI>0.6。
4、羊水过少:最大羊水池深度≤20mm。
胎儿宫内缺氧的超声评估
超声可以通过检测以下血管的血流频谱的改变来评估胎儿缺氧的状况:
1 胎儿脐动脉测定
缺氧首先出现的变化是舒张末期血流降低,S/D值、RI值和PI值升高。当缺氧进入再分配晚期时,可逐渐出现舒张期血流减少、舒张期血流缺失。失代偿期出现脐动脉血液逆流,舒张期血流倒置。
2 胎儿大脑中动脉测定
缺氧早期大脑血液供应增加,颅内血管扩张,阻力降低,舒张末期血流速度增加,PI、RI值下降,说明缺氧早期的血流再分配。当大脑中动脉RI、PI值明显下降,而脐动脉和腹主动脉的PI值升高,大脑中动脉PI值与脐动脉PI值的比值低于2个标准差时,提示严重缺氧的存在。
3 胎儿静脉导管
当右心负荷增大,心功能失代偿时,静脉回流受阻,静脉导管a波收缩期流速下降,血流消失甚至倒置。
4 脐静脉频谱
胎儿宫内缺氧严重时脐静脉出现搏动。
5 子宫动脉血流测定
正常妊娠时血流速度增加,血流阻力下降。缺氧早期的血流再分配,子宫动脉血流RI、PI值增加,阻力指数(RI)>0.57,子宫动脉血流频谱出现切迹。
缺氧标准
1、比值标准:大脑中动脉阻力降低,妊娠期,大脑中动脉RI <脐动脉RI;
2、脐动脉标准:孕30周后,S/D>3;晚孕期,RI >0.75;孕18~20周后,脐动脉舒张期缺如或反向(后者见于严重的宫内缺氧者);
3、子宫动脉标准:孕26或27周后,子宫动脉S/D>2.7,(RI)>0.57,有舒张早期切迹;
4、当大脑中动脉RI及PI值明显下降,而脐动脉及腹主动脉的PI值之间升高,大脑中动脉PI值与脐动脉PI值低于两个标准差时,提示为胎儿严重缺氧;
5、静脉导管:a波消失或反向(见于严重的胎儿宫内缺氧);
6、脐静脉:脐静脉搏动(见于严重的胎儿宫内缺氧);
7、宫内缺氧时肾动脉及腹主动脉的血流频谱为舒张末期血流的降低,RI及PI值会逐渐升高,若血流再分配严重时其舒张末期的血流将会消失甚至出现反向血流的产生。同时静脉导管也会折射缺氧时心脏功能的情况,当胎儿右心负荷增大,心脏功能失代偿时,静脉回流将会受阻,静脉导管心房收缩期流速逐渐下降,其血流消失甚至于血流倒置。
严重的胎儿宫内缺氧
1、脐动脉舒张期血流信号消失或反向;
2、大脑中动脉血流阻力降低;
3、静脉导管a波反向或消失;
4、脐静脉搏动。
从母体原因评估
孕妇是否有妊娠期高血压疾病、妊娠期糖代谢异常、内科疾病、免疫性疾病、创伤、过期妊娠、双胎或多胎妊娠特有的并发症、子宫张力过高、羊水过多或羊水过少、不明原因阴道流血、胎膜早破>24h、宫内感染等情况。
从胎儿、胎盘原因评估
1、胎儿患是否严重的先天性心血管疾病、颅内出血、胎儿畸形等。
2、脐带是否存在血运受阻,如脐带过长、过短;脐带多度扭转、打结;胎盘梗死、胎盘功能低下等。

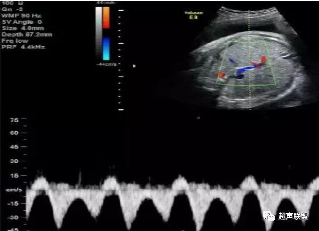
图1 正常脐动脉血流频谱

图2 脐动脉舒张期血流消失或反向

图3 正常大脑中动脉血流频谱

图4 大脑中动脉血流阻力减低

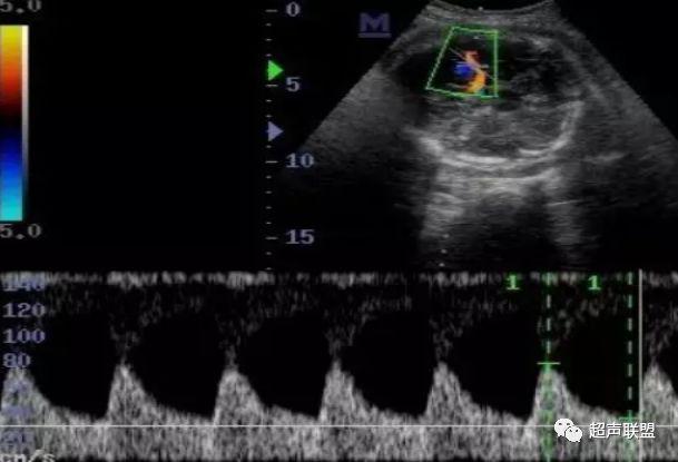
图5 胎儿宫内正常静脉导管

图6 胎儿宫内缺氧时静脉导管a波反向

图7 正常中孕期子宫动脉频谱

图8 胎儿宫内缺氧,子宫动脉舒张早期可见切迹

图9 脐静脉搏动

胎儿缺氧
来源 | 超声联盟

微信号:zcsmm777
加小编微信
了解芳香疗法培训
精油产科应用
谢谢阅读
本文来自网络,文中内容和观点不代表本平台立场,如有侵权,告知及删。
送你小花花
