
印象中,英国人非常注重仪表,男士每天都要刮脸,女士穿衣则要讲究场合。

每个英国人都有同样的想法:可以没有大长腿、高颜值,但必须要有绅士的风度,干净整洁的仪表。
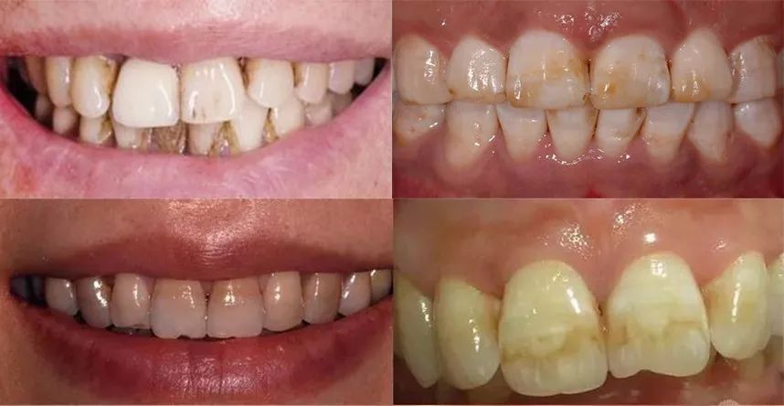
然而,在这份优雅从容的背后,却是一直被嘲讽牙齿又黄又脏!

美国人就经常拿牙齿黄嘲笑英国人,甚至有媒体公开对比。

英国人牙齿不好这件事儿,还真不是空穴来风。
因为在战争时期,大家都对口腔问题不重视,且在英国看牙医非常困难和昂贵。

于是这个“烂牙梗”就被美国人嘲笑了N多年。但信奉“形象价值百万”的英国人,一向讲究生活细节,怎么可能会无动于衷?
而英国著名牙科专家Matthew博士,为了让英国人不花费更多,就能拥有一口洁白的牙齿,研发了这款Whitewash美白修护牙膏。

它改良自欧洲皇室贵族,保持牙齿洁白的 宫廷秘方。

在英国的超市、药店、免税店随处可见它的身影,多次获得英国主流杂志的推荐,被称为英国人的牙齿护理专家。
更是被选为芭莎慈善晚会的明星晚宴伴手礼,可见它的受欢迎程度!

还入围了英国至佳亮白产品,荣获英国最佳研发奖、优质企业奖、最佳品牌奖,最佳受欢迎品牌等32项大奖。

在ins上好评无数,许多明星超模都在用,就连C罗的牙医也强烈推荐。
中国明星毛晓彤日常清洁牙齿也离不开Whitewash。

它让如今下午茶饮和咖啡文化浓厚的英国人,依然保持着一口洁白亮丽的牙齿。
Whitewash美白修复牙膏

科学除垢配方,生物酶杀菌技术,搪瓷修护技术 7天牙齿白2度,口气持续清新,缓解牙齿敏感

米白色的膏体,刷上去有很明显的颗粒感,以及清凉薄荷味。
溶解、发泡比一般牙膏要快,泡泡不多,却非常绵密,刷牙时能感受到泡沫钻进牙缝里,把食物残留、牙垢揪出来。

作为一支拯救英国人牙齿的牙膏,它美白能力不容小觑。
360°无死角清洁牙齿里里外外,顽固牙渍轻松剥落,刷上一阵子,牙齿白了2个度。

就连多年老烟民,早晚一刷,半个月之后连烟熏牙都洁白了许多,口气也变清新了。

怪不得它有资格获得,欧盟认证的牙齿美白有效证!

它为什么这么厉害?一起往下看。
双重祛垢微粒
剔除牙齿暗沉、黑黄
普通的牙膏根本无法彻底清理 食物残渣和色素,久而久之,牙齿被腐蚀,变得黄、脏!

但有它在,一切都改变了。
无论你是咖啡牙、烟牙 还是日积月累的污垢,都能在它双重除垢成分的帮助下,一一分解剥落。
它清洁美白的力度,是普通美白牙膏的5倍!

外摩擦 + 内分解
外摩擦:水合硅石经过技术处理,变成微纳米颗粒,像10000把纳米小刷子,深入牙齿缝隙,轻松刷掉牙垢。

内分解:碳酸钙具有天然分解效果,它能从内部快速瓦解色素、牙渍 ,并被包裹在泡沫里带出来。

这样内外结合,能迅速、有效地达到除垢的效果。
连续刷一周,黑黑的牙齿缝隙,表面的暗沉黄也会慢慢消失,就连牙结石也能慢慢变少,还你 自然洁白 。

牙膏选的好 牙齿才会又白又健康

生物酶抑菌科技,杀菌除口臭
呼吸都是薄荷糖的味道
口臭,无形中毁掉了形象,牙黄还能挡一挡,可口臭连呼吸都是错的,可明明已经认真刷牙了啊?

实际上,臭味是细菌分解残留物释放的硫化合物,所以刷牙不仅要刷去残留物,还要 杀菌。

Whitewash采用了生物酶抑菌科技,通过酶解作用,能 杀灭口腔内多种致臭有害细菌。

还能在牙齿表面形成抗菌层, 阻止细菌滋生。
通过实验证明,10年口臭者用它刷牙,8小时内细菌增长率不到1%。

早晚用它刷2分钟,击杀牙缝里里外外的细菌,口腔异味不再有,连呼吸都是薄荷味。

修复牙齿损伤 缓解牙齿肿痛、敏感
我牙齿一向敏感,平时吃点冷的硬的,牙齿就酸软到像吃了100个柠檬。
平日里都用冷酸灵刷牙,也不顶用,但自从用了这款牙膏,真的缓解很多。

牙医说牙齿敏感,是牙小管外露所致,而这款牙膏采用搪瓷修复技术,在刷牙时形成修复膜,修补外露牙小管,阻断外界致敏源。

还含有木糖醇、果胶、维生素C ,保护牙龈不受刺激,强健牙根, 缓解红肿、出血、牙周炎等问题,怪不得就连国内牙医都推荐它。

早晚一刷
牙齿洁白,口气清新,牙齿强健
120g,每次只需黄豆大小,就能把牙齿清洁地干干净净,360°无死角,牙齿自然洁白,口气清新,也不敏感了。

并经过安全性检测,采用温和不刺激配方,不含美白助剂、化学物, 老人、孕妇、小孩都可放心使用。

值得一提的是,Matthew博士认为,创造Whitewash这个品牌,不仅是改善英国人的口腔,他还希望能帮助世界上更多的儿童和家庭。

牙膏选的好 牙齿才会又白又健康
牙齿自然洁白 笑容变得更强大!