
当患者来我们超声科做检查有部分是带着憋尿的忧伤来的,有提前一天晚上就开始不上厕所,在家就已经憋的受不了啦,结果医生一看,尿不够,或是憋尿过度,又要患者去适度解掉一些。嗯……解掉一点,患者的汗都要出来了,我怎么能只解掉一点呢?那患者说到底我怎么才是对的呀。

这个问题问的人很多,但这个度并不好回答,因为每个人的感受是不一样的,有的人膀胱只有一点尿已经是憋的受不了啦,特别有产后盆底功能障碍引起的尿*禁失**的,或是怀孕的,在这里我分检查部位给大家讲下,但也只能是大部分人群,不代表所有,请对号入座:
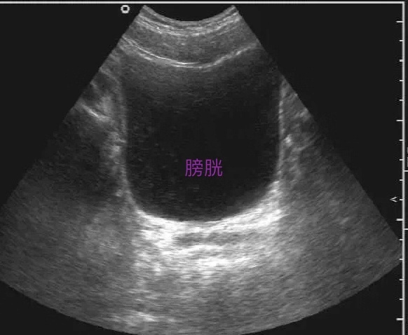
1. 膀胱
检查膀胱需要憋尿憋的刚刚好,才能更好观察膀胱壁的轮廓、连续性和完整性,厚度,内壁有无凹陷和隆起,有无占位性病变及其浸润程度。但不能过度,过度了也会产生假像。一般情况以喝完1000ml温开水后半小时检查为宜。

2. 早孕期
子宫、附件位于骨盆的中间,检查前憋尿,可以将肠管推开,使得子宫附件显示。这个憋尿的程度可以视女性的盆腔环境而定,如果你是一个较瘦,性卫生习惯、大便习惯良好,无盆腔手术史的人,那恭喜你,只要喝500ml水半小时后就可检查了,但相反的话,至少是1000ml半小时后才能检查,对这类的患者,更推荐是经阴道超声检查,因为经阴检查探头分辨率比腹部探头明显提高,加上探头在阴道内紧贴宫颈,所以盆腔脏器显示更清晰。

3. 前列腺
超声检查前列腺内容为观察前列腺的大小,形态、位置、有无占位病变等。受检者检查需要憋尿,保持膀胱中等充盈即可。那喝250-500ml温开水后半小时为宜。如果怀疑前列腺内有占位病变者,推荐经肛门检查,它比经腹B超更能清晰显示前列腺内部结构,发现较小、较隐匿的病灶。
4、中晚孕期疑前壁胎盘粘连孕妇
中晚孕时特别是第一胎有剖宫产的孕妇,需要通过超声来观察胎盘粘连及其分度,中晚孕的孕妇因为有胎儿对膀胱的压迫,孕妇常会感到尿频导致更不能憋尿过多,怀疑胎盘粘连的孕妇只需要有憋尿的感觉即可,喝250ml温开水后半小时可检查。
