
快来涨姿势吧!
来源丨医学界消化频道
作者丨蛮吉吉,蛮大人
病历简介
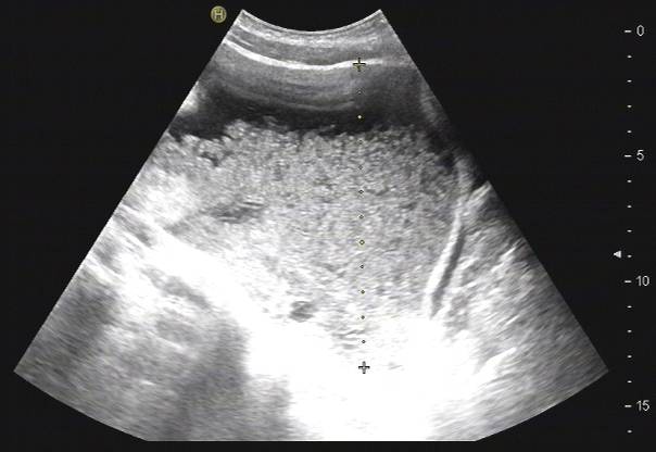
患者刘某,男性,34岁,于入院前2周因无明显诱因出现腹胀、纳差、腹围进行性增加来院就诊。查体:血压、体温、呼吸、脉搏正常,心肺无异常,腹部膨隆,腹软,全腹未触及明显压痛及反跳痛,肝脾触诊不满意,腹水征阳性,肠鸣音约3-4次/分钟,浅表淋巴结无肿大。腹部彩超检查结果如图1所示,可见密度不均匀腹腔积液,内见细光点回声随体位移动,初步考虑为结核性腹膜炎。

此图为腹部超声检查结果:B超可见密度不均匀的腹腔积液,内见细光点回声随体位移动。
癌胚抗原((CEA) 17.99 ug/L,糖类抗原199 (CA199) 122.40 U/mL,糖类抗原糖链抗原72-4(CA72-4) 90.72 U/mL;血腺苷脱氨酶:12.1 U/L,血乳酸脱氢酶202 U/L,血T-spot阴性。腹水:CEA>1 000 ug/L,CA199: 963.72 U/mL, CA72-4 286.94 U/mL,细胞角蛋白19片段40.17 ug/L;腹水外观淡黄色、略粘稠,成胶冻状,李凡他试验阳性,镜检红细胞++,蛋白定量24000 g/L,比重1.014。腹水沉渣涂片:增生与退变之间的间皮细胞、淋巴细胞,未见其他。腹水找结核杆菌阴性、结核DNA及结核IgG抗体均阴性,腹水T-spot阳性。
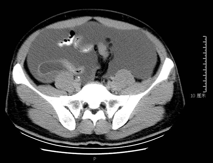
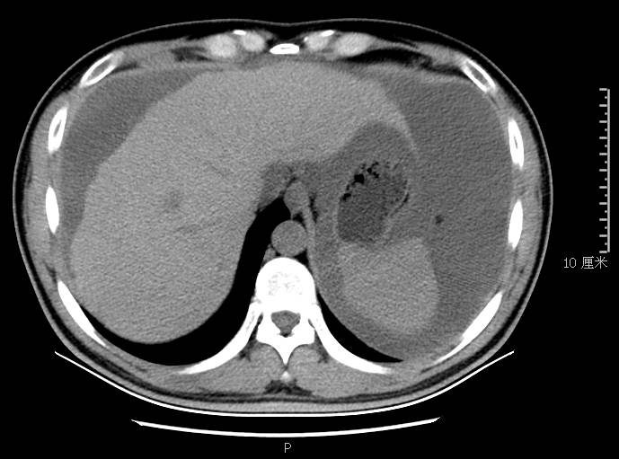
全腹CT:(1)结合病史考虑腹膜炎(见图2A),大量腹水;(2)右骼窝区管状样结构,考虑阑尾扩张(见图2B);(3)肝脏多发小囊肿(见图2C);(4)肝内胆管轻度扩张,建议隔期复查。

图2a大网膜成饼状(CT腹腔横断图象上出现肠曲被前面及两侧的肿瘤策划限制在中央

图2b扩张成管状阑尾
PET-CT检查:(1)腹盆腔大量积液,腹膜略厚,其间散在小淋巴结,代谢轻度增高,倾向腹膜炎可能性大,建议治疗后复查并密切复查肿瘤标志物;(2)双侧颈部领下、双侧腋窝淋巴略增大,代谢轻度增高,考虑炎性病变;(3)右肺下叶胸膜下钙化灶;(4)肝内多发囊肿,胆囊壁略毛糙;(5)右侧骼窝区细条形软策划影,代谢稍增高,考虑阑尾扩张。电子胃镜:(1)胃息肉(1枚己摘除);(2)反流性食管炎(*级A**);(3)慢性胃炎。电子肠镜未见结核、肿瘤性病变,未见阑尾开口扩张及周围策划红肿糜烂性病变,见图3。

图3 回盲瓣未见明显异常
患者腹水原因不明,考虑:结核或腹膜恶性肿瘤可能性大。为进一步明确诊断,当时建议其行腹腔镜下腹膜穿刺活检,患者表示拒绝,遂我们予以试验性抗结核治疗。经规律性抗结核治疗1个月后,患者腹胀、纳差加重,伴腹痛及发热,营养状况较前明显变差,体质量减轻约10 kg,再次入院。
查体:腹部膨隆,移动性浊音阳性,触诊全腹韧,腹膜下可触及板状肿块,成饼状,位于脐周,大小约5 cm,稍硬,活动度可,全腹轻压痛,无反跳痛。血液实验室检查:白细胞7.1×10-9/L,中性粒细胞百分比0.735,C反应蛋白(CRP):64.4 mg/L,血沉87mm/h,白蛋白30.7g/L,降钙素原0.88ug/L。肿瘤标志物:CEA 14.42 ug/L,CA199: 183.12U/mL,CA72-4 78.42 U/mL。腹水肿瘤标志物:CEA>1 000 ug/L,CA199>1 000 U/mL,CA724 258.13 U/mL。
腹部B超:(1)轻度脂肪肝,肝囊肿;(2)胆囊壁异常高回声,考虑可能为息肉;(3)腹腔大量积液(肝前、腹腔分别见深度3.3,10.2cm异常无回声,内见细光点回声,随体位移动)。患者经试验性抗结核治疗无明显疗效且肿瘤指标明显异常,故排除结核性腹膜炎,考虑腹膜恶性肿瘤可能性大,建议患者行腹腔镜下腹膜活检术,患者表示同意。
腹腔镜下观察:肝脏、脾脏、全部结肠和系膜、腹主动脉旁、乙状结肠系膜根部、盆腔侧壁无肿大淋巴结。可见大网膜形态异常,挛缩呈饼状,表面大量清亮滤泡,小肠轻度充血,肠间隙见大量纤维性渗出。经脐下纵行切口抬起大网膜,弯钳阻断大网膜策划内血管,切取约3 cm×3 cm大小网膜策划送检。病理诊断结果:(大网膜结节)大网膜弥漫黏液湖样结节,局灶见黏液上皮及异性黏液细胞,形态倾向浸润性或转移性黏液性肿瘤,免疫组化:villin(-)AE1/3(+)。
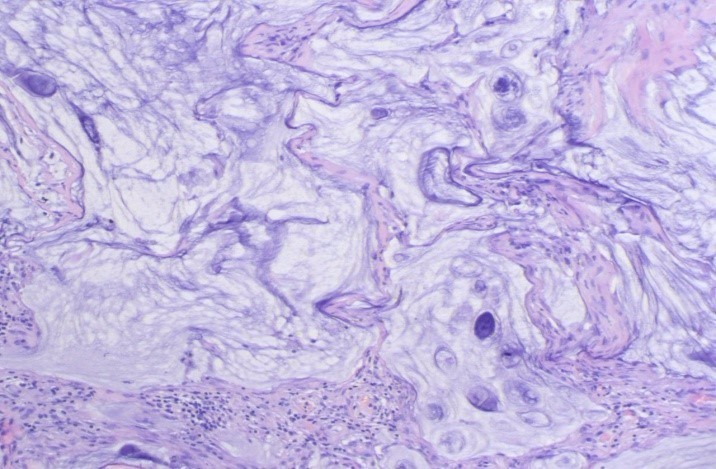
送上级医院会诊后回报:(大网膜结节)纤维脂肪策划中见大量黏液湖并见少量轻度异性的黏液性腺体,考虑为低级别腹膜假黏液瘤,请检查阑尾(见图4)。

图4大网膜弥漫粘液湖样结节,局灶见粘液上皮及异型粘液细胞
此患者转入上级医院行开腹探查可见大量淡血性腹水,吸净腹水后行右半结肠、大网膜切除术、清除胃周肿物术,同时术中行腹腔热灌注化疗。术后病检结果示:低级别阑尾黏液性肿瘤,累及浆膜下层;(右半)结肠及回肠浆膜下见黏液湖及轻度异型黏液腺上皮浸润,结肠切缘浆膜下见病变,回肠切缘浆膜面见无细胞黏液,肠周淋巴结未见肿瘤转移。纤维脂肪策划(大网膜饼、肝圆韧带)中见黏液湖及轻度异型黏液腺上皮浸润。符合伴发低级别腹膜假黏液瘤,来源于阑尾。
讨论
腹膜假黏液瘤(PMP)是一种发病率极低的罕见疾病,年发病率仅为百万分之一,好发于腹腔壁层、大网膜及肠壁浆膜面。据统计,女性发病率明显高于男性,是后者的2-3倍,发病年龄以中年或老年为主,极易被漏诊、误诊。相关研究表明此疾病与阑尾黏液囊肿、卵巢黏液性囊腺瘤或卵巢囊腺癌密切相关,与此同时他还具有恶性腹水的一些特征:腹腔弥漫性胶冻样积液伴腹膜表面和网膜上黏液种植。
PMP以腹膜及腹腔内聚集大量豁稠、胶冻样团块所致顽固性腹水为特征,多为阑尾黏液性上皮性肿瘤转移,可在腹膜种植形成继发的腹膜假黏液瘤。其特点是病灶破溃后形成弥漫性腹腔内黏液并广泛种植于腹膜表面。PMP不易淋巴结及远处转移,但易出现腹腔内广泛种植侵犯,病程可迁延数年,反复发作后可加重病情甚至危及生命,被视为低度恶性或交界性肿瘤。常见策划来源为卵巢的黏液性囊腺瘤和阑尾黏液囊肿,也有小部分来自腹膜后黏液腺癌、盲肠黏液腺癌、胆管黏液癌、胰腺黏液癌、脐尿管黏液性腺瘤、小肠系膜肿瘤等黏液性肿瘤破裂。
误诊原因分析
本例青年男性患者为腹水T-spot阳性,以乏力、纳差等为主诉入院,且患者不愿行腹腔镜检查,暂考虑结核性腹膜炎可能性大,试验性抗结核治疗无效,故结核性腹膜炎诊断排除。
患者入院后查肿瘤指标明显异常,考虑消化道恶性肿瘤转移至腹膜引起大量腹水,但经电子胃肠镜、全腹CT及PET-CT检查后均未发现明显消化道恶性肿瘤表现。最终患者行腹腔镜探查术发现:大量淡黄色腹水,大网膜挛缩成饼状,表面大量清亮滤泡,考虑腹膜假黏液瘤可能性大,镜下表现经病理检查明确诊断,大小网膜、肠系膜、腹膜常被肿瘤细胞种植侵犯,可见弥漫性增厚,呈“网膜饼状”改变。
本例确诊后对B超及CT再次回忆发现:腹腔、盆腔可见不均质中强回声包块,部分呈囊实状,腹膜增厚,大网膜成饼状(如图2A)和肝周可见不均质中强回声弧形压迹、脾周可见不均质中强回声包饶,肝脏成扇贝样改变(如图2C),但在诊断报告中未提及。有学者发现mantle和scalloping(如图2A,2C)在PMP中具有代表性,且mantle较scalloping更为常见,若mantel征同时伴有大小不一的囊性改变,则更具诊断价值。

图2c肝脏成扇贝样改变(肝脏由于受肿瘤实质性或囊性策划压迫而其实质却未受侵犯,于是在一处或多处呈下凹状或扇形皱褶状(scalloping)
患者外院就诊后行腹部手术见回盲部阑尾区有明显肿物(约4cm×3cm×2cm)进一步证实了肿瘤来源。
综上所述:此疾病多以“腹胀、腹痛、腹部包块、原因不明腹水为主诉入院”临床表现缺乏特异性,而影像学检查(全腹CT、腹部B超)对阑尾黏液性肿瘤无明显特异性,超声往往仅可提示腹腔积液和腹部包块,全腹CT对该疾病的确诊率也远远不及腹腔镜活检,加之,此种疾病的发病率较低,临床医生未能考虑罕见疾病,故易误诊、漏诊。
防范误诊措施
腹膜假黏液瘤又称腹膜假黏液囊肿,来自阑尾或卵巢黏液瘤破裂后引起是其主要病因,是一种低度继发性恶性肿瘤,极易同多种疾病相混淆。
在鉴别诊断中首先要除外结核性腹膜炎、恶性肿瘤腹膜转移,在与结核性腹膜炎的鉴别诊断中,可以通过血及腹水T-spot、腹水寻找结核杆菌等方法来排除。
与此同时,还应与肝硬化腹水、妇科肿瘤、肠梗阻等疾病相鉴别。此患者为男性,全腹CT及PET-CT均提示阑尾扩张,很大可能来源于阑尾黏液性肿瘤。阑尾黏性肿瘤早期可无任何症状,随着瘤体堵塞阑尾,累及浆膜下层,播散至腹盆腔,可形成大量的黏液性腹水,又称“胶腹”,则可出现腹痛、腹胀、腹围增加等症状。
通过本病例分析认为此类患者,腹穿时若发现腹水不易抽出或抽出物为黏稠胶冻样,腹部B超提示液性暗区内有漂浮的团状回声有分隔,撞击腹部后可出现“礼花”样改变,肝脾包膜完整不光滑,有弧形压迹,全腹部CT示弥散占位,可见mantle和scallping征、大网膜成饼状且阑尾扩张应高度怀疑本病。
治疗
目前公认的标准治疗方案为肿瘤减灭术联合术中或术后腹腔热灌注治疗。其目的在于减轻腹部受压症状,延长患者寿命的同时提高生存质量。减瘤术可消除肉眼可见病灶,较为完整的切除肿瘤,,对于不明原因出现的顽固性腹水,腹部可触及包此患者年龄、心肺功能允许,故采取切除原发灶(阑尾)、受累肠管(右半结肠)、大网膜。
由于大部分患者出现症状后病情相对较晚,减瘤术很难达到理想状态,故往往会在术中或术后辅以热灌注治疗来减少复发次数。腹腔热灌注治疗(IHPC)是目前治疗腹腔恶性肿瘤、肿瘤复发和转移的一项治疗方法,此技术一直在不断升级,由简单灌注液加热至现今的持续循环热灌注治疗,外循环补充热量,内循环注入化疗药物。IHPC属于常规高温热疗,43℃(42.5℃-44℃)一般认为温热治疗肿瘤的最佳温度,低于41℃疗效不明显,高于44℃则可能对正常策划导致不可逆的损伤。这种高精度持续循环热灌注治疗也是目前IHPC最合适的方案,IHPC是减瘤术后重要的辅助治疗。
其他治疗方案包括免疫治疗、生物治疗、放疗以及5%葡萄糖热溶液溶解黏液蛋白等治疗措施。有研究对腹膜假黏液瘤的2例患者采用定期腹腔内注入5%葡萄糖液稀释黏液后待患者自身吸收,证明此方法可以减少复发次数。
参考文献:
[1]郭爱桃,宋欣,韦立新.女性腹膜假黏液瘤的策划学起源分析[J].临床与实验病理学杂志,2007,23(1):62-66.
[2]陈仙秋,张燕绒,许崇永,等.腹膜假性黏液瘤的B超诊断[J].影像诊断与介入放射学,2014,23(5):376 379.
[3]王鑫鑫,顾青峰,张伟,等.腹腔镜腹腔热灌注化疗治疗腹膜假性黏液瘤[J/CD].中华腔镜外科杂志(电子版).2014.7(2):121-124