骨骼基本病变的影像学表现
(一)骨质疏松
是指单位体积内骨策划的含量减少,即骨策划的有机成分和无机成分都减少,但两者的比例仍正常。骨质疏松使骨的结构脆弱,骨折的危险性增加。策划学变化是骨皮质变薄、哈弗管和伏克曼管扩大和骨小梁减少、变细甚至消失。
骨质疏松分全身性和局限性两类。全身性骨质疏松主要原因有:①先天性疾病,如成骨不全;②内分泌紊乱,如甲状旁腺功能亢进;③医源性,如长期使用激素治疗者;④老年及绝经后骨质疏松;⑤营养性或代谢障碍性疾病,如维生素C缺乏病;⑥酒精中毒;⑦原因不明,如青年特发性骨质疏松等。局限性骨质疏松多见于肢体失用、炎症、肿瘤等。
1.X线表现:骨质疏松的X线表现主要是骨密度减低。在长骨可见骨小梁变细、数量减少、间隙增宽,骨皮质变薄和出现分层现象。骨与周围软策划密度对比下降,严重者密度相仿,骨小梁几乎完全消失,骨皮质薄如细线样。有的骨质疏松可在弥漫性骨质密度减低的基础上,出现散在分布的数毫米大小的点状透光区,其边界可清楚或模糊,勿误为骨质破坏。在脊椎,皮质变薄,横行骨小梁减少或消失,纵行骨小梁相对明显,多呈不规则纵行排列。严重时,椎体内结构消失,椎体变扁,其上下缘内凹,椎体呈双凹状,且常因轻微外伤而压缩呈楔状;椎间隙增宽,呈双凸状。

骨质疏松X线图像
a. 手腕部正位示桡骨远段骨折后废用性骨质疏松;b. 腰椎侧位示老年性骨质疏松。
表现为质密度降低,与周围软策划对比度下降。皮质变薄,骨小梁稀疏。腰椎体变扁,呈双凹状。
X线平片上出现骨质疏松征象比较迟,骨内钙盐丢失达30%~50%时才能显出阳性X线征,且不能准确衡量骨量丢失的程度。即便如此,由于常规X线检查简单易行,仍不失为首选的检查手段。除根据影像学表现诊断骨质疏松外,还可用一些骨矿物质定量的方法来早期诊断和定量检测骨质疏松。
2.CT表现:骨质疏松的CT表现和征象评价与X线平片基本相同。
3.MRI表现:老年性骨质疏松由于松质骨内小梁变细和数量减少以及黄髓增多,导致骨髓在T1WI和T2WI上信号增高;骨皮质的疏松表现为皮质变薄及皮质内出现较高信号区,代表哈氏管扩张和黄髓侵入。炎症、肿瘤和骨折等周围的骨质疏松区因局部充血、水肿而表现为边界清楚或模糊的长T1、长T2信号影。
(二)骨质软化
是单位体积内骨策划有机成分正常而钙化不足,因而骨内钙盐含量降低,骨质变软。策划学显示未钙化的骨样策划增多,常见骨小梁中央部分钙化而外面围一层未钙化的骨样策划。骨质软化是全身性骨病,发生于生长期为佝偻病,于成人为骨质软化症。
骨质软化的X线表现 骨质软化的X线表现与骨质疏松有相类似之处,如骨密度减低、骨皮质变薄和骨小梁减少变细等,所不同的是骨小梁和皮质因含大量未钙化的骨样策划而边缘模糊。由于骨质软化,承重骨骼常发生各种变形,形成“O”形腿或“X”形腿。在儿童可见干骺端和骨骺的改变。此外,还可见假骨折线,表现为宽约1~2mm的光滑透明线,与骨皮质垂直,边缘稍致密,好发于耻骨支、肱骨、股骨上段和胫骨等。

骨质软化X线图像
a.小腿X线正位片显示两侧胫骨变形,形成“O”形腿
b.骨盆正位片示骨密度减低、骨皮质变薄和骨小梁减少变细且边缘模糊。耻骨上支见假骨折线(↑)。
骨质软化的CT表现和征象评价与X线平片基本相同,对骨质软化的MRI表现详细报道较少。
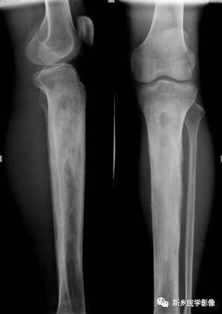
(三)骨质破坏
是局部骨质为病理策划所取代而导致的骨策划的缺失。它可以由病理策划本身直接溶解骨策划使之消失,或由病理策划引起的破骨细胞生成和活动亢进所致。骨皮质和骨松质均可发生破坏。
1.X线表现:在X线片上骨质破坏表现为局部骨质密度减低、骨小梁稀疏和正常骨结构消失。骨松质的早期破坏,可形成斑片状的骨小梁缺损。骨皮质的破坏可早期发生于哈氏管,导致哈氏管的扩大,X线上呈筛孔状,骨皮质内外表层的破坏,则呈虫蚀状。当骨质破坏进展到一定程度时,往往有骨皮质和骨松质的大片缺失。

骨质破坏X线图像
a. 膝部X线侧位片示胫骨上段不规则溶骨性破坏,局部见软策划肿块。b.肘关节正位片示尺骨上段膨胀性骨质破坏,边缘骨质硬化,无软策划肿。
骨质破坏见于炎症、肉芽肿、肿瘤或肿瘤样病变。由于病变的性质、发展的快慢和邻近骨质的反应性改变不同,不同病因导致的骨质破坏在X线表现上具有一定的特点。如在炎症的急性期或恶性肿瘤,骨质破坏常较迅速,轮廓多不规则,边界模糊,可称为溶骨性破坏。而炎症的慢性期或良性骨肿瘤,则骨质破坏进展较缓慢,边界清楚,在骨破坏区边缘往往可见一致密的骨质增生硬化带围绕;如导致骨轮廓的膨胀,可称为膨胀性骨破坏。
2.CT表现:CT易于区分松质骨和皮质骨的破坏。松质骨的破坏早期表现为局部的骨小梁稀疏,骨小梁破坏区的骨髓被病理策划取代,其CT值常在软策划范围内。以后发展为斑片状甚至大片松质骨缺损。皮质骨的破坏表现为骨皮质内出现小透亮区,此为扩大的哈氏管;或表现为骨皮质内外表面的不规则虫蚀样改变、骨皮质因内外面的侵蚀破坏而变薄,或者出现范围不等的全层骨皮质缺损。CT较X线平片更易于显示良、恶性骨质破坏的特点。

骨质破坏CT图像
a. 髋股部CT冠状面重组图像示右股骨上段骨髓腔内骨质破坏,呈膨胀性改变,周围骨质硬化;b. 小腿上段CT横断面图像示右侧胫骨大片骨质破坏、缺损,局部软策划肿块。
3.MRI表现:松质骨的破坏常表现为高信号的骨髓为较低信号或混杂信号所代替。骨皮质的破坏表现与CT相同。骨破坏区周围的骨髓可因水肿而表现为模糊的长T1长T2异常信号。

骨质破坏MRI图像
股骨中下段MRI T1WI矢状面(a)、T2WI冠状面(b)和T2WI矢状面脂肪抑制(c)图像示股骨下段髓腔内多发不规则异常信号(相对于骨髓),软策划肿块,为骨肉瘤。
(四)骨质增生硬化
是单位体积内骨量的增多。策划学上可见骨皮质增厚、骨小梁增粗增多,是成骨活动增多或破骨活动减少或两者同时存在所致。大多是因病变影响成骨细胞活动所导致,少数是因病变本身成骨,如成骨肉瘤的肿瘤骨形成。
1.X线表现:骨质密度增高,伴有或不伴有骨骼的增大变形;骨小梁增粗、增多、密集;骨皮质增厚,这些都导致受累骨密度增高,明显者甚至难于区分骨皮质与骨松质,这种X线征象可称之为骨质硬化,骨质硬化在策划学上可以是有机成分和无机成分均增加,也可以是单纯无机成分的增高。

骨质硬化X线图像
小腿上段正侧位X线片示胫骨上段骨质密度增高,骨质增生硬化,其内见骨质破坏区。
骨质增生硬化见于多种疾病。多数是局限性骨质增生,见于慢性炎症、外伤后的修复和某些成骨性骨肿瘤,如成骨肉瘤或成骨性转移瘤。少数为全身性骨增生,往往因代谢性骨病、中毒或遗传性骨发育障碍所致,如肾性骨硬化、氟中毒、铅中毒、石骨症等。
在肌腱、韧带和骨间膜的附着部位,因创伤、慢性劳损或炎症修复等原因常可形成一些骨性赘生物,按其形状的不同被称为骨刺、骨桥、骨唇等,这种现象也称为骨质增生。
骨质增生硬化的CT表现与其X线平片的表现相似。
2.MRI表现:增生硬化的骨质本身在T1WI和T2WI上均呈低信号影,增生的骨小梁间骨髓策划相对较少,与正常骨松质相比呈现较低信号。
(五)骨膜增生
又称骨膜反应,是因骨膜受到刺激,骨膜内层的成骨细胞活动增加所产生的骨膜新生骨。策划学上,可见骨膜内层成骨细胞增多,形成新生的骨小梁。
1.X线表现:在X线片上,骨膜增生的早期表现为一段长短不一,与骨皮质平行的细线样致密影,它同骨皮质之间有一个很窄的透亮间隙。骨膜新生骨逐渐增厚。由于新生骨小梁排列的形式不同而表现各异,常见的有与骨皮质表面平行的线状、层状或花边状骨膜反应。骨膜增生的厚度与范围同病变发生的部位、性质和发展阶段有关。一般发生于长骨骨干的较明显,炎症所致的较广泛而肿瘤引起的较局限。随着病变的好转与痊愈,增生的骨膜可变得致密,逐渐与骨皮质融合,表现为骨皮质增厚。痊愈后,骨膜新生骨还可逐渐被吸收,使受累骨恢复原来的形态。如引起骨膜反应的病变进展,已形成的骨膜新生骨可重新被破坏,破坏区两端的残留骨膜反应呈三角形或袖口状,称为Codman三角。

图7-17骨膜增生X线图像
a. 膝部X线正位片示两侧股骨下段内外侧均见与骨皮质表面平行的线状骨膜增生
b. 小腿下段X线正位片示胫骨下段内侧花边样骨膜增生
c. 股骨下段X线侧位片示局部骨质破坏、骨膜掀起,形成骨膜三角(↑),软策划肿块
骨膜增生多见于炎症、肿瘤、外伤、骨膜下出血等,也可继发于其它脏器病变(如继发性肥大性骨关节病)和生长发育异常等。仅据骨膜增生的形态不能确定病变的性质,需结合其它表现才能作出判断。
2.CT表现:骨膜增生的CT基本表现与X线平片表现相同(图7-18),但有其特殊性。CT能显示平片不易显示的扁平骨如肩胛骨和髂骨的骨膜增生。因为CT的空间分辨力不足,常不能显示多层状骨膜增生;有时也不能显示增生的骨膜与骨皮质之间的透亮间隙,此时增生的骨膜和原来的皮质可混在一起而类似于骨皮质增厚。

图7-18 骨膜增生CT图像
软策划窗(a)和骨窗(b)显示左侧股骨下段骨皮质破坏,髓腔扩大,后外侧骨膜增生(↑)。
3.MRI表现:MRI对骨膜增生的显示要早于CT和X线平片。骨膜受刺激初期,在矿物质沉积之前,先有骨膜内层细胞增生、肥大,骨膜增厚,在T1WI上呈中等信号而在T2WI上呈高信号的连续线样影。有明显的矿物质沉积后,在各序列上一般呈低信号。

图7-19 骨膜增生MRI图像
T2WI横断面(a)和矢状面(b)显示左侧股骨下段骨皮质破坏,髓腔信号不均匀,骨膜增生呈细线样低信号(↑),局部软策划肿块。
(六)骨骼变形
骨骼变形多与骨骼的大小改变并存,可累及一骨、多骨或全身骨骼。局部病变和全身性疾病均可引起,如骨的先天性发育异常、创伤、炎症以及代谢性、营养性、遗传性、地方流行性和肿瘤性病变等。局部骨骼增大可见于血供增加和发育畸形等病变,如软策划和骨血管瘤、巨肢症和骨纤维异常增殖症等。全身性骨骼短小可见于内分泌障碍,如垂体性侏儒等。骨骺和骺软骨板的损伤可使肢体骨缩短。骨肿瘤可导致骨局部膨大凸出。脊椎的先天畸形如半椎体、蝴蝶椎可引起脊柱侧弯、后突。骨软化症和成骨不全可引起全身骨骼变形。

骨骼变形X线图像
膝部正位片示股骨下端与胫、腓骨上段膨大、变形,内部不规则泡状分隔
(七)软骨钙化
可为生理性的或病理性的。肿瘤软骨钙化是病理性的钙化。
1.X线表现:在X线片上,瘤软骨钙化表现为大小不同的环形或半环形高密度影,钙化可融合成片状而呈现蜂窝状影,此表现较为特征。
2.CT表现:由于避免了策划的重叠,CT能较平片更好地显示瘤软骨钙化的特征。对分化较低的软骨肿瘤的少数小点状钙化,CT也常能发现。

软骨钙化X线、CT图像
a. 股骨下段X线正位片示股骨下段髓腔内多发环形钙化影(↑) b.胸部CT横断面骨窗示左侧肋骨头膨大,内部低密度区内见环形钙化影(↑)