
医脉通编译整顿,未经授权请勿转载。
细菌性肺炎
1.基本要点
细菌性肺炎是由肺部病原菌感染引起的。最常见的症状表现是咳嗽、咳痰。抗生素治疗是细菌性肺炎药物治疗的主要手段。

图1.1 细菌性肺炎。右上叶肺炎患者的放射影像。胸廓前后径增大,提示有慢性阻塞性肺疾病(COPD)。

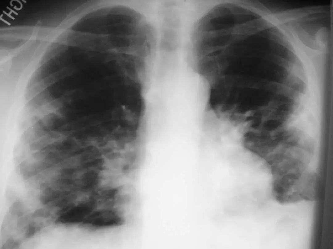
图1.2 细菌性肺炎。双肺下叶肺炎患者影像。

图1.3 细菌性肺炎。早期右肺中叶肺炎的影像学表现。

图1.4 53岁的严重军团菌肺炎患者。胸片显示双肺下叶致密实变。

图1.5 40岁肺炎衣原体患者。胸片显示右上、中、下叶多灶性斑片状实变。

图1.6 38岁的支原体肺炎患者。胸部X线片显示左下叶模糊不透明影。

图1.7 CT扫描显示左下叶模糊的气腔浸润。

图1.8 45岁的衣原体肺炎患者的胸部CT扫描显示右上叶浸润。

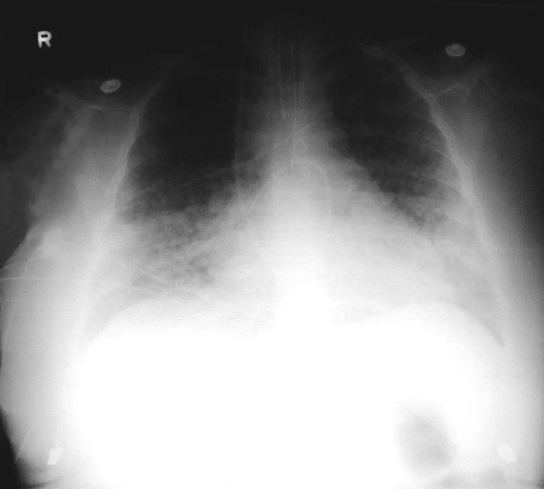
图1.9 49岁肺炎球菌性肺炎患者, 胸部X线片显示左下叶不透明伴胸腔积液。

图1.10 48岁的流感嗜血杆菌性肺炎患者, 胸部X线片显示双侧不透明,主要分布在外周。

图1.11 49岁的肺炎球菌性肺炎患者, 胸部CT显示左上叶不透明延伸至外周。

图1.12 50岁流感嗜血杆菌肺炎患者胸部CT。显示左下叶胸膜附近有致密圆形实变。

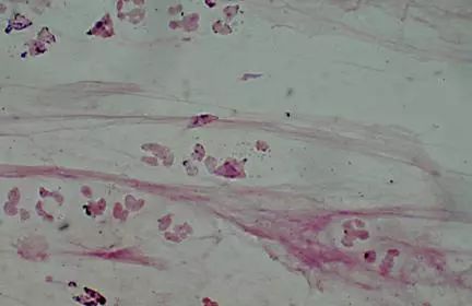
图1.13 (左)革兰氏染色显示成对和链状的革兰氏阳性球菌,(右)肺炎链球菌培养阳性。

图1.14 革兰氏染色显示肺炎链球菌。

图1.15 革兰氏染色显示流感嗜血杆菌。

图1.16 革兰氏染色显示卡他莫拉菌

图1.17 痰液直接荧光抗体染色显示军团菌感染。

图1.18 患者HIV感染,双侧肺门周围浸润和肺孢子虫性心包炎。

图1.19 胸部X线片,患者HIV感染和结核引起局部浸润。
2.细菌性肺炎的体征和症状
(1)咳嗽,特别是咳痰,是细菌性肺炎最一致的症状表现,可对病原体具有一定的提示作用:
➤肺炎链球菌:铁锈色痰
➤假单胞菌、嗜血杆菌和肺炎球菌:绿色痰
➤肺炎克雷伯菌:砖红色胶冻样痰
➤厌氧菌感染:浓臭痰
(2)细菌性肺炎的体征可包括以下几种:
➤体温过高(发热,通常> 38°C)或体温过低(<35°C)
➤呼吸急促(> 18次/分钟)
➤使用辅助呼吸肌
➤心动过速(>100bpm)或心动过缓(<60bpm)
➤中心性紫绀
➤精神状态改变
(3)体格检查可能包括以下几方面:
➤呼吸音异常,例如湿啰音、干啰音。
➤呼吸音强度降低
➤羊鸣音
➤胸耳语音
➤叩诊浊音
➤气管偏移
➤淋巴结病
➤胸膜摩擦音
(4)检查结果可能显示具体病因包括:
➤心动过缓:军团菌
➤牙周疾病:厌氧菌和/或微生物感染
➤皮肤结节:奴卡氏菌感染
➤呕吐反射降低:有吸入风险
3.诊断
(1)严重程度评估
评估疾病严重程度和死亡风险的工具包括PSI / PORT(即肺炎严重度指数评分/肺炎患者预后研究小组评分),CURB-65系统(即意识障碍,血尿素氮,呼吸频率,血压和年龄> 65岁)和APACHE(即急性生理学和慢性健康评分)等。
血检、动脉血气分析(ABG)、静脉血气分析(中心静脉血氧饱和度)、全血细胞计数、血浆游离皮质醇值、血清乳酸水平等检测有助于评估病情严重程度
(2)痰液评估
开始抗生素治疗前应进行痰革兰氏染色和培养。革兰氏染色可能会观察到单一的主要微生物,尽管吸痰时厌氧菌污染可能会观察到混合菌群。
(3)影像学研究
➤胸片:建立肺炎诊断标准
➤胸部计算机断层扫描
➤胸部超声检查
(4)支气管镜
(5)胸腔穿刺
(6)病原体特异性检查
➤尿检
➤痰液,血清和/或尿液抗原检测
➤血清免疫学检查
(7)策划学检查
肺炎策划学变化取决于患者是否患有大叶性肺炎,支气管肺炎或间质性肺炎。
4.管理
抗生素是细菌性肺炎药物治疗的主要方法。治疗肺炎最常见的病原体肺炎链球菌的首选药物是青霉素G和阿莫西林。对于耐青霉素的肺炎链球菌,应根据其敏感性选择首选药物。
同时支持以下治疗方法:
➤镇痛和解热药
➤胸部理疗
➤静脉输液
➤脉搏血氧检测,有或无心脏监测
➤氧疗
➤定位患者以最大程度减少误吸风险
➤呼吸治疗,包括使用支气管扩张药和N-乙酰半胱氨酸治疗
➤需要机械通气,继发双侧肺炎或急性呼吸窘迫综合征(ARDS)的患者,应进行小潮气量通气(6 mL/kg,理想体重)
➤全身支持:可能包括适当的补水,营养和运动
病毒性肺炎
1.基础要点
在过去的10年,病毒性肺炎的报道率有所上升。根据病毒的致病性及患者的年龄和合并症,病毒性肺炎可以是轻度、自限性疾病到危及生命的疾病。

图2.1病毒性肺炎:52岁妇女发热,咳嗽和呼吸困难。面部和躯干出现皮疹。胸部X线片显示间质浸润,有小结节。Tzanck涂片结果为水痘带状疱疹病毒。

图2.2 上图(图2.1)患者接受阿昔洛韦治疗7天后,水痘-带状疱疹病毒感染消退。

图2.3 31岁流感肺炎患者双肺间质浸润。

图2.4 2个月龄男孩肺炎患者,右中叶浸润,呼吸道合胞病毒(RSV)感染。

图2.5 巴氏染色(Pap),疱疹病毒的(被感染细胞位于右中部)。

图2.6 巨细胞病毒(中心)巴氏染色(Pap)。该细胞具有非常大的深色核内包含体。

图2.7 麻疹后,巨细胞肺炎的苏木精-伊红染色。多核细胞(中心)包含嗜酸性核内包含体。
2.体征和症状
发热、寒战、干咳、鼻炎、肌痛、头痛、疲劳是病毒性肺炎常见的全身性症状。
体格检查也可能出现这些症状:呼吸急促和/或呼吸困难、心动过速或心动过缓、喘息、干/湿啰音、胸骨或肋间隙回缩、叩诊浊音、呼吸音降低、胸膜炎、胸膜摩擦音、紫绀、皮疹、急性呼吸窘迫。
(1)流感病毒性肺炎
流感病毒是引起肺炎的最常见病毒。原发性流感病毒性肺炎表现为三至五天以上的持续不适症状(咳嗽、喉咙痛、头痛、肌痛)。随着时间推移,症状可能加剧,并出现新的呼吸道症状和体征,例如呼吸困难和紫绀。
(2)呼吸道合胞病毒性肺炎
呼吸道合胞病毒(RSV)是婴儿和儿童下呼吸道感染的最常见原因,也是成人病毒性肺炎的第二大最常见病因。
RSV肺炎患者通常表现为发热、干咳、耳痛、厌食和呼吸困难。体格检查常见:喘息、干/湿啰音。
(3)副流感病毒性肺炎
副流感病毒(PIV)仅次于RSV,是儿童下呼吸道疾病以及6个月以下婴儿肺炎和细支气管炎的主要病因,。PIV肺炎和细支气管炎主要由PIV-3引起。体征和症状包括发热、咳嗽、鼻炎、呼吸困难和喘息。
3.诊断
(1)实验室检测
➤细胞学评价:脱氧核糖核酸(DNA)病毒感染的细胞中经常存在核内包含体。细胞质内含体通常存在于被核糖核酸(RNA)病毒感染的细胞中。
➤病毒培养
➤快速抗原检测
➤聚合酶链反应(PCR)
➤血清学:适合明确诊断
(2)影像学检查
胸部放射线检查常显示双肺受累
(3)肺活检和策划学检查
通常,对于免疫功能下降的病情严重的患者,需要进行肺活检以确定诊断。
4.管理
所有病毒性肺炎患者必须接受的支持治疗包括:氧疗、休息、解热药、镇痛药、营养、密切观察、静脉输液、机械通气
不同类型的病毒性肺炎的具体治疗方法如下:
(1)流感性肺炎:盐酸金刚烷胺和盐酸金刚乙胺被批准用于预防和治疗甲型流感病毒感染。对于治疗流感病毒性肺炎或重度流感患者的疗效尚不清楚。
(2)RSV肺炎:利巴韦林是唯一可用于治疗RSV肺炎的有效抗病毒药,但对于其治疗作用,尚有争议性数据。
(3)PIV肺炎:主要是支持性的治疗。但,对于免疫力下降的患者,雾化和口服利巴韦林与减少PIV脱落与临床改善有关。
医脉通编译整顿自:
1.Bacterial Pneumonia-emedicine Medscape-Oct 25, 2019.
2.Viral Pneumonia- emedicine Medscape- Jun 20, 2019.