文章来源:影像时间
No.1
脊髓的影像解剖

脊髓由灰质和白质组成,颈、胸、腰、骶髓所含灰质和白质的比例并不相同,在横断面上灰、白质的形态和比例也不一样。在脊髓的横断面上,中央为细小的中央管,围绕中央管周围的是「H」形的灰质,灰质的外面是白质。
No.2
脊髓的非肿瘤病变
脊髓的非肿瘤病变包括:感染性或炎性、血管性、代谢性或中毒、炎性脱髓鞘,在日常工作中占了脊髓病变的绝大部分。
鉴别诊断的要点在于:
1、病史(例如年龄、性别、外伤、免疫状态、治疗史、其他系统疾病等),二次问诊相当重要;
2、脊髓病灶的分布部位和范围。
1、感染性或炎性
急性横贯性脊髓炎(Acute transverse myelitis,ATM):是一种脊髓的炎性疾病,原因不明,进展迅速,大致运动、感觉和自主神经功能障碍,10-19 岁和 30-39 岁之间多见,无性别差异或家族倾向,通常没有神经系统异常的既往史。
MRI:超过 40% 的患者 MRI 检查会发现病灶
-
T2WI 呈高信号
-
T1WI 呈等或稍低信号
-
增强扫描多变(无、弥漫、斑片、环形)
-
轴位占脊髓直径 2/3,长度:3-4 个椎体长度

T2WI显示脊髓内长节段高信号,范围超过脊髓直径2/3,斑片状明显强化
神经梅毒(Neurosyphilis):是由梅毒螺旋体感染中枢神经系统引起,HIV 或 AIDS 发病率较高,确诊需要实验室检查。
MRI:
-
脊髓内出现长节段 T2WI 高信号
-
增强扫描出现结节样强化(肉芽肿形成)
-
邻近脑膜可出现强化

T2WI显示脊髓内长节段高信号,增强扫描出现多发结节状高信号,位于脊髓表面
脊髓灰质炎(poliomyelitis):是由脊髓灰质炎病毒引起的脊髓前角运动神经元损害为主,患者多为 1-6 岁儿童。
MRI:
-
双侧灰质前角对称性 T2WI 高信号,类似于脊髓前动脉梗死的「鹰眼征」
-
急性期明显强化

T2WI双侧灰质前角对称结节状高信号,似「鹰眼」

结节病(sarcoidosis):是一种系统性肉芽肿疾病,多器官存在非干酪性肉芽肿为主,累及中枢神经系统发病率为 14%–27% ,小于 10%CNS 结节病患者有脊髓病变。
MRI:
-
颈髓>胸髓
-
髓内长节段 T2WI 高信号(提示血管周围渗出)
-
脊髓表面多发结节状强化
-
颅内脑膜、脊膜多发强化(线样、结节状)
-
骨质异常强化

模式图显示脊髓内多发片状炎性渗出,T2WI 显示脊髓内长节段高信号,增强扫描椎体出现结节状强化出现多发结节状高信号

软脑膜出现线样强化,以小脑表面及基底池为主,额叶可见强化结节;脊膜出现结节状强化
HIV 相关脊髓炎(HIV associated myelopathy):是由 HIV 感染导致的脊髓病,胸髓发病率高于颈髓,是 AIDS 患者出现脊髓病最常见的原因,发生率约 20-55%,也有报道指出 AIDS 能够导致维生素 B12 的代谢紊乱。
MRI:
-
脊髓萎缩最常见
-
病灶位于侧索或后索多见
-
T2WI 呈高信号;T1WI 呈等或稍低信号
-
增强扫描呈斑片状强化

脊髓局部轻度萎缩,T2WI 高信号发布于侧索

T2WI 高信号发布于后索,呈反「V」形(不只见于亚急性联合变性)
带状疱疹脊髓炎:患者往往存在带状疱疹病史
MRI:
发病皮区相对应的单侧脊髓节段受累,T2WI 为高信号

发病皮区相对应脊髓层面出现T2WI高信号
人类 T 细胞白血病/淋巴瘤病毒-1 相关脊髓病(Human T-Cell Leukemia/Lymphoma Virus,HTLV-1 associated myelopathy):是由 HTLV-1 感染导致的脊髓病,表现为慢性痉挛性截瘫,伴有肠和膀胱功能障碍和下肢感觉障碍,HTLV-1 还可导致成人 T 细胞白血病、葡萄膜炎、肌炎、肺泡炎和关节病。
MRI:
-
脊髓萎缩常见
-
病灶常分布于侧索
-
T2WI 呈高信号

模式图显示HTLV-1病灶主要位于双侧侧索,脊髓明显萎缩

病灶位于双侧侧索,出现强化

2、血管性
脊髓梗死(spinal infarction),各种原因(比如动脉夹层、椎体术后、纤维软骨栓塞等等)导致的脊髓供血动脉缺血,脊髓前动脉最多见
MRI:
-
前 2/3 脊髓(脊髓前动脉);双侧灰质前角(脊髓前动脉);后索(脊髓后动脉)
-
T2WI 高信号病灶,DWI 呈高信号,ADC 呈低信号
-
轴位「鹰眼征」
-
矢状位「铅笔征」


脊髓前动脉梗死导致双侧灰质前角梗死(鹰眼征),矢状位呈线样,DWI 提示细胞毒性水肿

脊髓前动脉梗死导致脊髓前 2/3 梗死,DWI 提示细胞毒性水肿

脊髓后动脉梗死导致脊髓后索梗死,DWI 提示细胞毒性水肿

脊髓后动脉梗死导致脊髓后索梗死,DWI 提示细胞毒性水肿

Sulcal 动脉梗死
硬脊膜动静脉瘘 (spinal dural arteriovenous fistula,SDAVF):供应脊膜或神经根的细小动脉,在椎间孔处穿过硬膜与脊髓引流静脉相通,导致脊髓回流受阻。病因不明,成人-老年人胸腰段多见,缓慢起病,进行性加重。
MRI:
-
矢状位 T2WI 发现长节段高信号
-
矢状位 T2WI 脊髓周围流空低信号血管影
-
部分可见强化,提示血脑屏障破坏

脊髓内长节段T2WI高信号,髓周可见多发点状流空血管,增强扫描出现强化
3、治疗相关
放射性脊髓病(Radiation myelopathy):一般为放疗后 1 个月至数年出现进行性麻木和虚弱±括约肌功能障碍,大多数情况下呈持续进展。镜下可见脱髓鞘、星形胶质细胞肿胀,血管内皮损伤、坏死,局部钙离子沉积,血管壁透明变性等。
MRI:
-
脊髓肿胀
-
T1WI 呈稍低或低信号;T2WI 呈稍高信号
-
环形或不规则强化
-
晚期出现局灶性脊髓萎缩
-
T1WI 出现放射治疗后椎体黄骨髓置换,提示本病具有重要意义

脊髓长节段病灶,中心分布为主,T2WI高信号,注意椎体T1出现高信号
化疗性脊髓病(Chemotherapy myelopathy):常见于肿瘤患者存在化疗治疗病史,出现脊髓功能障碍。
MRI:
T2IW 病灶呈高信号,常位于后索

病灶分布于脊髓后索,T2WI高信号
4、中毒或代谢性
亚急性联合变性(Subacute combined degeneration,SCD)是由于维生素 B12 缺乏导致的脊髓变性疾病
MRI:
-
轴位图:脊髓后索「倒 V」或「倒兔耳」;病灶也可位于侧索
-
T1WI 病灶稍低信号,T2WI 稍高信号
-
无强化或强化
-
伴或不伴脑白质高信号

病灶分布于脊髓后索,T2WI高信号,呈倒“V”字征,明显强化
铜缺乏性脊髓病(Copper Deficiency Myeloneuropathy,CDM):是一种由铜缺乏而导致的脊髓变性疾病,可见于胃肠道术后、消化道功能障碍或肝豆状核变性患者。
MRI:
-
可与 SCD 相似
-
也可与 SCD 不相似,病灶位于后索常见

病灶分布于脊髓后索,T2WI高信号,呈倒“V”字征,铜补充治疗后病灶消失
一氧化氮中毒(笑气中毒):N2O 是一种常用的吸入麻醉剂,N2O 毒性常见于牙医和通风不良手术中工作的医疗人员,能够导致维生素 B12 的代谢紊乱。
MRI:
与 SCD 相似

病灶分布于脊髓后索,T2WI高信号,呈倒“V”字征
5、炎性脱髓鞘
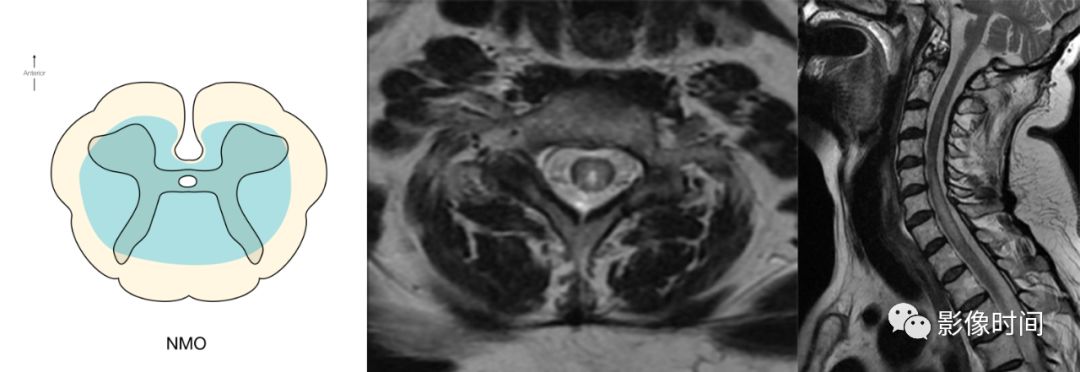
神经脊髓炎谱系疾病(neuromyelitis optica spectrum disorder,NMOSD):是一种由水通道蛋白-4(AQP-4)自身抗体介导的炎性脱髓鞘疾病,青年或中年女性较多见,临床常为双侧视神经炎和脊髓炎导致失明和截瘫,也可累及大脑。
MRI:
脊髓:病灶 T2WI 呈高信号,T1WI 呈稍低信号,急性期出现斑片状或云雾状强化,轴位常位于脊髓中央,长度>3 个椎体长度。亮点征:轴位 T2WI 很高信号的多发斑点,信号高于脑脊液,特异性=97%。

病灶分布于脊髓中央,长度大于3个椎体,亮点征
视神经:双侧视神经广泛受累,病灶长度通常>1/2 视神经长度,优先损害后视通路,包括视神经颅内段、视交叉和视束,急性期 T2WI 视神经肿胀伴明显高信号,T1WI 视神经明显强化,后视通路为主。

后视路受累为主,明显强化
大脑:AQP4 通道是中枢神经系统最丰富的水通道,在室管膜周围、下丘脑和软脑膜下区以及脑干、极后区均有高表达。因此,高表达 AQP4 的特定区域成为 NMO 自身免疫靶点

后视路受累为主,明显强化
多发性硬化(Multiple sclerosis,MS)亦是一种严重的中枢神经系统自身免疫脱髓鞘病变,免疫球蛋白分泌 B 细胞和浆细胞的克隆性扩增,可使 CSF 中出现寡克隆带特征。
MRI:
脊髓:颈髓较常受累,病灶 T2WI 呈高信号,T1WI 呈稍低信号,轴位常分布于前索、侧索或者后索,长轴 ≤ 2 个连续阶段椎体,急性期呈斑片状、结节状或环形强化。

病灶位于侧索、长度小于3个椎体节段
大脑:病灶常呈卵圆形,病灶长轴与侧脑室前后径垂直,沿深髓静脉分布,「Dawson 手指征」

病灶长轴垂直于侧脑室分布
6、其他
无骨折脱位型脊髓损伤 (Spinal cord injury without radiographic abnormality,SCIWORA) 是指在 X 线或 CT 检查未发现骨折或脱位的脊髓损伤,主要见于儿童,SCWORA 的创伤机制包括过度伸展、屈曲、牵引和脊髓缺血损伤。
MRI:
脊髓长节段或短节段病灶,颈胸髓常见
T2WI 高信号;T1WI 低信号


来源:影像时间
【版权声明】本平台属公益学习平台,转载系出于传递更多学习信息之目的,且已标明作者和出处,如不希望被传播的老师可与我们联系删除