
一直都说奶瓶不能用太久,否则会影响宝宝的口腔发育。可不管是母乳喂养还是配方粉喂养,家长都有个统一的疑问“不给宝宝用奶瓶,那用什么?”
这不,小小崔同学前来回答了。

哈哈,就是这么不精致,那些杯杯瓶瓶的更换顺序,到他这里完全没有用武之地。
小编很想大吼一声“嘚(dei),你这小子,咋不按套路出牌?还给不给机会照书养啊?”
01用的好好的,干啥要换掉奶瓶
每次提到换杯子的事儿,不少家长心里都有些排斥。总觉得明明宝宝喜欢奶瓶,用的也得心应手,有什么必要非得换呢?搞不好又是拒吃又是哭闹的,弄得人仰马翻,多划不来。
唉,小编也没奈何,若真是没影响,谁愿意讨人嫌的一次次唠叨呢。
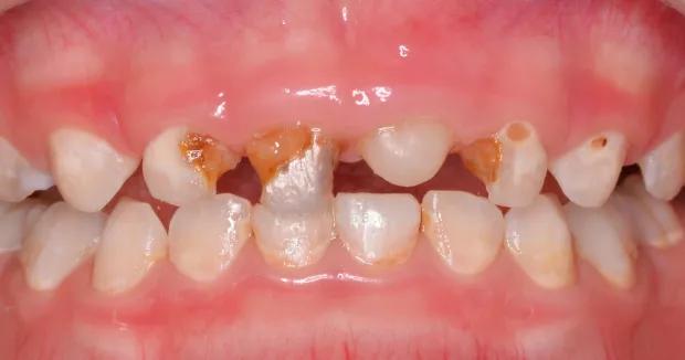
奶瓶因为流速慢,宝宝进食时含在嘴里的时间相对较长,而且吃着睡着的情况更是见怪不怪,牙就这么一直在奶里泡着的话,不龋齿都有点对不起这么有利的条件。

另外,用奶瓶吃奶的时候,家长经常会让宝宝躺下来(毕竟就算自己会拿,坐着也喝不进嘴里),长期在这种吮吸和重力的共同作用下,很容易导致宝宝颌骨发育不良,形成牙齿不齐、“地包天”或“天包地”等情况,不仅影响咀嚼功能,还有损美貌呢。母乳宝宝虽然不用奶瓶喝奶,但会常用奶瓶喝水,加上有时候还得碰上母乳瓶喂,所以接触奶瓶的机会也不少,面临的局面差不多。

有的家长可能会不服来战“我家宝宝用了那么久,啥事儿也没有啊,这怎么说?”确实,不能否认部分宝宝就是没受任何影响,小编只能欣慰于宝宝是那个抽中大奖的人。可中奖靠几率,并且几率低,这是不争的事实,难道真的要把影响宝宝未来发育的头等大事儿,交给几率去掌控吗?
所以换肯定是要换的,就是啥时候换的事儿了:
美国儿科学会建议,宝宝六个月之后就应该开始学习使用杯子,一岁时要停止使用奶瓶,最晚也不应该超过个十八月;
我国的《儿童口腔保健指导技术规范》则建议,儿童十八个月后停止使用奶瓶,最晚不要超过两岁。
虽然两者在推荐时间上略有差异,但基本看法是大致相同的,也就是说宝宝在六到十八个月之间,应该走在放弃奶瓶的路上了。
02问“从奶瓶到水杯,总共分几步?”
答:两步,把奶瓶放下,把水杯拿起来。
这个回答很找打,不过仔细想想也不是一点儿都不靠谱哦。
虽然我们给过更细致的替换方案推荐,比如从奶瓶先过渡到鸭嘴杯,再到吸管杯,接着学饮杯,最后使用敞口杯。但这只是为了让家长们在毫无头绪的时候,可以有一个实操参考,并不意味着必须按这个顺序来。

事实上更换原则最终还是看宝宝的需求。打个比方,如果你一开始给宝宝用的是吸管杯,几天下来发现他一直容易呛咳,并且表现的不喜欢,那就换个鸭嘴杯试试,但这说不上是错误。又或者像小小崔同学这样,上来就是什么杯子也不感冒,连勺子都拒绝,非要抱着碗豪饮的,那干脆就顺着他的心意来,只要能喝进去就行,也没必要再回头找补前面那些过渡性水杯。
更换各种杯子的最终目的,是为了让宝宝学会和成人一样使用普通杯子喝水。只要完成这个任务就算成功,过程嘛,当然可以各凭手段。
所以,如果你就是不知道该怎么选杯子,可以按照我们给的参考顺序去尝试。但如果家长凭自己对宝宝的了解,心中有了主意,或者宝宝能适应更直接的变化,那么按自己的想法来也完全没问题。
借着选水杯的事儿,正好也想向大家传递这么一个观念,书本上的知识很多是用来参考的,起一个指导作用,在把握基本理论的前提下,最终还需要大家把它和实际结合起来灵活运用,才能发挥最优的效果。特别是在育儿这件事上,更没有现成的答案,时刻都在考验着家长的应变能力,确实是一个“一起长大”的过程哦。
好啦,今天咱们水杯的话题,就先聊到这里啦。大家如果有什么疑问或想法,可以在留言区一起聊聊哦。咱们下期再见。