【原创】智齿又双叒叕发炎了!拔,还是不拔?
夜半时分,3颗磨牙在对话——
第二磨牙有点生气地对第三磨牙说:“三弟,你别挤了,再挤我的腰就要断了!”
第三磨牙似乎还有点委屈:“我也不想啊,可主人的牙床就这么大点地方,我总要扎根呀!”
第二磨牙无奈地向第一磨牙求助:“大哥,你可得替我做主呀,三弟太过分了!”
第一磨牙安慰第二磨牙:“二弟消消气,熬过今晚,明天早上主人就会把它拔掉的!”
第二磨牙:“太好了!这大半年,这小子可没少让主人遭罪,早该拔了!”
第三磨牙暗自哭泣:“我虽然很捣蛋,但毕竟也是主人的骨肉,本是同根生,相煎何太急啊!”
第三磨牙(智齿)到底冤不冤?今天我们就来断断案。
智齿是怎么来的?
人的一生有两副牙齿——乳牙和恒牙。乳牙一般从6岁开始脱落,12岁左右全部脱落,6~12岁也叫“换牙期”。
乳牙脱落后,会逐渐萌出恒牙。恒牙有28~32颗,28与32之间相差的4颗,便是智齿,学名第三磨牙,一般有1~4颗不等。
智齿不是人人都有,萌出时间也有差异。相当一部分人在18~25岁萌出,有的人在不惑之年才萌出,也有的人终身与智齿无缘。
因为18~25岁是人的心智走向成熟的阶段,因此长智齿被看作是“智慧到来”的象征,故有了“wisdom tooth”的命名,其实与人的智慧并无关系。
人为什么会长智齿?
这其实是一个“用进废退”的进化问题。人类告别茹毛饮血后,进食的食物越来越松软、精细,不需要过多的切撕研磨,久而久之,颌骨和牙齿的功能也就退化了,智齿也显得多余了。
怎样判断自己有没有长智齿?
最简单的方法:对着镜子,从一侧的门牙开始往后数,第8颗就是智齿。
如果看不到第8颗牙,就说明没有长智齿吗?不一定。可能有两种情况:一、真的没长智齿;二、长了智齿,不过它很皮,在跟主人玩“潜伏”。
对于第二种情况,虽然肉眼看不到智齿,但它时不时会刷一下存在感——当人过度劳累、焦急上火、抵抗力低下的时候,就会觉得那个位置不舒服。所以,有些人会觉得自己好像长了智齿,又好像没有长。
最准确的方法:拍片检查,借助X光让智齿现形。

说明:检查智齿或拔智齿前,医生一般都会建议拍个全景片,很多人觉得麻烦,其实这是非常有必要的。全景片可以清晰地呈现上下颌骨、全口牙列的全貌,以及智齿与邻牙、周围牙槽骨的关系,帮助医生评估拔牙的难度,并安全快速地拔除智齿。拍片时,需要穿防护服。

图:全景X光牙片机
如果发现智齿,都要拔掉吗?
智齿虽然是多余的,但也不需要一刀切全部拔掉。
不过也不能高兴得太早,因为事实上,不好的智齿比比皆是,好的智齿却是百里挑一。
好好的牙齿,怎么就变坏了呢?
说到底,还是因为人类进化后的牙床,只能优先满足先萌出的28颗恒牙扎根,后萌出的智齿没有立足之地,就只能想尽办法抢占别人的地盘了,歪着长、斜着长、横着长,甚至倒着长的都有。
如此一来,这个“捣蛋鬼”就给口腔埋下了不少隐患。常见的,出现以下这些问题的智齿,建议最好拔掉,以绝后患:
1.反复发炎
不能完全萌出的智齿会和周围的牙龈形成一个“盲袋”,这可是个藏污纳垢的地方,而且难以清洁,时间长了,就容易诱发智齿冠周炎、甚至牙髓炎,红肿热痛在所难免。对了,还会带来恼人的口臭问题。
很多人智齿发炎,又下不了拔牙的决心,所以就长期处在“发炎—消炎—再发炎—再消炎”的恶性循环中。正确的做法是:一旦发炎,不要存有侥幸心理,长痛不如短痛,早拔早好(拔之前要先消炎)。
2.不安分守己,骚扰邻居
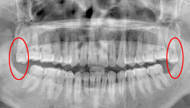
就像开头对话里提到的,智齿为了扎稳根,就会使劲顶前面的第二磨牙。如果放任不管,第二磨牙真会被顶出龋齿来,实在委屈!
这种情况如果平时没有明显症状,一般要拍片才能发现,如下图:

3.没有咬合关系
牙齿也是需要相互抗衡的,不长智齿的情况下,上、下各14颗。而智齿比较任性,什么时候出来、每次出来几个都不固定。
如果上面长了、下面没长,或者下面长了、上面没长,那长出来的那颗就会更加放肆地过度萌出。这样一来,第二磨牙会被挤得更惨,对侧的牙龈和口腔黏膜也会跟着遭殃。如下图:

4.已经发生龋坏
智齿位置太靠后,很难清洁,本身就容易发生龋坏。这种情况一般定期去洗牙或者做口腔检查就能发现。
龋坏的智齿,补起来难度大,而且几乎没有意义,为避免带来更严重的口腔问题,一拔了之方为上策。
与上述情况相反,如果智齿萌出位置正常、有咬合关系,且没有不适症状,也没有引起病变,则可以暂时保留,定期观察。
拔智齿,没你想得那么恐怖
很多人一想到口腔科的那张躺椅,就不寒而栗,更别说五花八门的器械了,细的、尖的、弯的,每一个看上去都很不友好。

其实拔智齿,最主要的是先过心理关
想想智齿带给你的那些痛,以及潜藏的隐患和高昂的治疗成本,当拔不拔,反受其乱啊!搞清楚了利害关系,坚定了拔牙的决心,后面的问题交给专业的医生就可以了。
一般不太复杂的智齿,拔牙过程只需10分钟左右,医生“手起刀落”,加上麻药的作用,几乎感受不到疼痛。大约三四个小时后,麻药作用逐渐消失,如果疼痛难忍,可以吃止痛药。
拔牙后,医生都会嘱咐:咬紧药棉,半小时后吐掉;2小时后可以喝水、进食,但切忌辛辣、过热、过硬的食物;24小时内不要漱口、刷牙;2~3天避免剧烈运动等。有些医院还会提供拔牙后的护理知识小卡片,大家遵医嘱即可。
拔1颗智齿的费用一般三四百元,也有上千元的,主要看智齿的生长状态、拔牙的难度。
拔牙前的准备tips:
1.女性拔牙,要避开生理期和孕期。
2.心脑血管疾病、糖尿病、血液病患者拔牙前,要经过医生评估。
3.如果两侧都有智齿需要拔掉,最好分两次就诊,留一侧吃东西。
4.最好选择早上拔牙,方便白天观察,有异常情况可以得到及时处理。
5.最好先吃点东西,不要空腹拔牙,避免出现低血糖。