
患者为一名54岁女性,因乏力就诊。有糖尿病史和肾移植史。
影像学

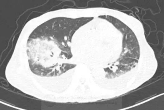
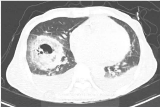
图1胸片示右肺下叶空洞性实变和左肺下叶实变。CT示右肺下叶类圆形实变伴中央磨玻璃影(反晕征),和空洞性病变。可见双侧胸腔积液。
支气管镜活检,真菌菌丝提示毛霉病。
诊断:毛霉病
简评
毛霉病是由毛霉菌引起的一种临床极少见的机会致病性严重感染 。
毛霉菌属于条件致病菌,免疫力低下是此病的诱发因素,包括糖尿病、血液系统肿瘤、移植患者等 ,其中糖尿病是最多见的,占 60%~81%。
该病共分六型,即鼻眶脑型、肺型、播散型、皮肤型、胃肠型、单一病灶型,以鼻眶脑型最多见。毛霉病的死亡率较高,介于 32%~57%。
其诊断主要根据患者有潜在诱发因素的基础性疾病;结合其临床表现;病变部位标本真菌涂片及培养,活检发现特征性菌丝和病理改变等来确诊,活策划检查和策划病理学是金标准;实时定量聚合酶链反应检测毛霉菌 28SrRNA 基因,从而快速确诊毛霉病。
由于毛霉病病程多呈急性进展,死亡率高,因此及时诊断及治疗十分重要。毛霉病的早期诊断是预后的关键,毛霉菌病确诊并在 5d 内应用多烯类抗真菌治疗,与确诊时间大于 6d 后再用药比较,生存率由 49% 提高至 83%。早期足量应用两性霉素 B 或两性霉素 B 脂质体,尽快进行手术清除坏死病灶,以及原发疾病的有效控制对存活率的影响十分重大。
参考
[1]J H Chung, J D Godwen, J W Chien, et al. Pulmonary mucormycosis, Radiology 2010;256:667-670
[2]J Jung, M Y Kim, H J Lee, et al. Cimparison of computed tomographic findings in pulmonary mucormycosis and invasive pulmonary aspergillosis. Clin Microbiol Infect 2015;21:684.el1-684.dl8