又高又帅的小伙子,突然喘不动气
一位22岁帅小伙,有点瘦,个头高高的,家人陪着来的时候,话都快说不出来了。
打喷嚏后出现右边胸口疼,呼吸困难,不能深吸气,赶紧上担架车做了急诊CT:

胸部CT显示右侧液气胸,胸腔积液和气体压迫肺策划,导致呼吸困难和不能深吸气,并且挤压心脏向左侧移位。
再看纵隔窗:

在大量灰色的胸水里,有一块椭圆形的小团块沉在水底,里面还有4个小气泡。
这是什么东西?
影像科值班医生是个吃货,开玩笑道:“血块吧?猪肉摊上带着小气泡的猪血就是这个样子。”

还真是,相似度95%以上,急诊科医生咯噔一下:要当心了!
这个病人不是单纯的液气胸,准确点说,他是自发性血气胸,出血量在400ml以上了。
病人生命体征不稳,要警惕失血性休克,先找到出血点,马上急诊增强CT:

增强扫描发现右肺尖背侧造影剂渗漏,符合活动性出血,需要手术!
这里要重点提一下,家属一直很配合,服从医生安排,可能急诊和影像科医生们及时、果断的处置也获得了家属的信任!
期间有一位家属还动用私人关系,电话咨询外院专家,专家也同意这个诊断和治疗。
最终没有拖延病情,及时进手术室接受了治疗。
在电视胸腔镜下,看到了肺尖部多个肺大泡,周围有胸膜黏连带,可见活动性出血点,顺利结扎、引流。

什么是自发性血气胸?比普通气胸更危险?
1.自发性血气胸是一种好发于青年人,比较罕见的急症,其定义为胸腔内出血400ml以上,同时合并自发性气胸。
2.临床变化快,常常是胸痛、呼吸困难并快速进展,当血液动力学不稳定,发生低血容量性休克时,可危及生命。
3.肺部CT上表现为气胸和血胸并存,胸腔积液密度常较高(50Hu以上)。
4.不伴有活动性出血的病人,可以微创引流;活动性出血,血流动力学不稳定的病人,应当及时手术。

这个病例要给所有参与的急诊科、影像科、胸外科医生点个赞!
抢救生命很有意义!
拉个小外传,这位抢救医生在术后总结的时候,自嘲地说了另一个小插曲:

还好,后来的这位病人也抢救成功……
医生有时候压力很大,好在大家经常互相安慰,期待明天会变好……
回到这个病人,好好的年轻人,为什么会肺里出血呢?
这种血气胸发生出血的机制可能有3种:
1.脏层胸膜和壁层胸膜黏连,被自发性气胸撕裂;
2.由血管化的肺大泡破裂和下方肺实质撕裂;
3.肺尖部胸膜与肺大泡之间存在先天性异常血管,气胸发生时导致血管撕裂。

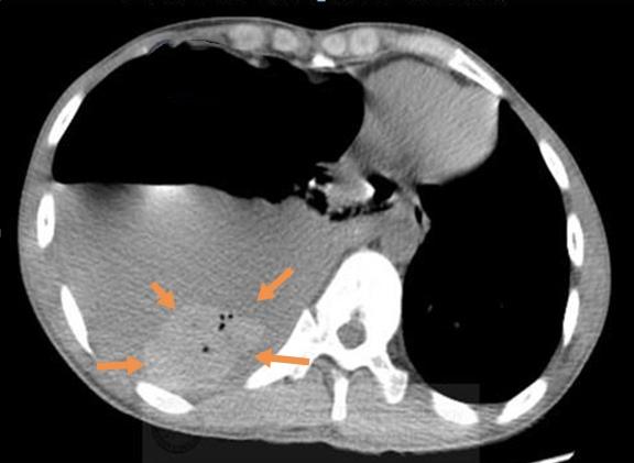
像上图这个小伙子就相对幸运一点,肺尖部胸膜下的肺大泡(橙色箭头)破裂,引起自发性气胸,没有伴发出血,经导管引流后顺利出院了。
最后简单解说一下自发性气胸
原发性自发性气胸是指无明确肺部疾病,在无诱发事件的情况下发生的气胸。常见原因就是上面这个病例,是由胸膜下肺大泡破裂所致。
发病率存在地域差异和性别差异,男性群体中,美国每年7.4/10万,英国每年37/10万;
女性群体的发病率明显低于男性,美国每年约1.2/10万,英国每年15.4/10万。
导致这些差别的原因不明。
而比较明确的气胸高危因素有:吸烟、家族史、马方综合征、同型半胱氨酸尿症和胸腔子宫内膜异位症。
吸烟是一个重要危险因素,很可能与吸烟引发气道炎症有关。
所以,年轻人不要学吸烟,没意思的!

最后要警惕气胸复发:
自发性气胸的复发率从25%至超过50%不等,多数复发病例见于首次发病后的第1年内。
女性、高瘦男性、体重偏低和戒烟失败均与复发风险增加相关。
完毕!
我是影像科豪大夫,分享曲折的临床病例,传递正能量,欢迎大家关注!
本文参考文献:
