子宫常见检查方法:
超声 :最常用,方便,初筛首选方法 。
在子宫畸形(双子宫、双角子宫、纵隔子宫、弓形子宫)的鉴别上同MRI相比还是有一定的局限性。
子宫输卵管碘油造影(HSG):同时显示不孕患者的输卵管的形态、判断阻塞位置。因有辐射,已少用。
MRI: 安全无创,且软策划分辨率较高,可以多参数多方向成像,可以观察到子宫的形态轮廓、宫底,宫腔内情况,研究表明,MR对子宫畸形判断率高达100%,可以替代宫腔镜。超声不能诊断的病变,MRI是最佳的选择。
宫腔镜:可以观察宫腔内的情况。
腹腔镜:可以观察宫腔外的情况。
子宫正常解剖及MR影像表现:

子宫内膜:周期性变化,T2WI高信号。
结合带:肌肌层(致密平滑肌纤维),T2WI低信号。
肌层:疏松平滑肌,T2WI中等信号

卵巢:由生殖嵴发育而成。
生殖管道:Mullerian管形成输卵管、子宫体、宫颈、阴道 上段
尿生殖窦:形成阴道下段及外生殖器。
Mullierian管发育异常(MDA):发育成输卵管、子宫、宫颈、阴道上段

6W时,女性Wolffian管消退,Mullerian管发育为输卵管、子宫体、宫颈及阴道上2/3段。10-13W时双侧Mullerian管融合,纵隔下部吸收,13-20W时剩余纵隔吸收。
分类:

I:苗勒氏管不发育或发育不良
I-A:阴道不发育或发育不良(子宫正常/1种或多种畸形)
I-B:宫颈不发育或发育不良
I-C:宫底不发育或发育不良
I-D:输卵管不发育或发育不良
I-E:复合苗勒氏管不发育或发育不良
II:单角子宫
II-A:具有宫内膜腔的残角,与单角子宫相通。
II-B:具有宫内膜腔的残角,与单角子宫不相通。
II-C:残角无宫内膜腔
II-D:无残角
III:双子宫
IV:双角子宫
IV-A:完全双角子宫,分隔延伸至宫颈内口或外口
IV-B:部分双角子宫,分隔局限于宫底
V:纵隔子宫
V-A: 完全纵隔子宫,“纵隔”延伸到宫颈内口
V-B:部分纵隔子宫,“纵隔”未达宫颈内口
VI:鞍状子宫
VII:乙烯雌酚相关性子宫畸形
VII-A:“T"型子宫
VII-B:”T“型子宫伴宫角扩张
VII-C:子宫发育不全
常见6类子宫畸形
I:子宫未发育或发育不全:无子宫或残留小的子宫,缺乏正常带状解剖。


尿道与直肠间无间隔,无子宫、阴道。双侧卵巢结构正常。
II:单角子宫:

子宫单角,呈香焦形。伴或不伴残角,残角体积小,可存在内膜腔,可同外界相通。
1、有宫内膜腔的残角,与单角子宫相通。
2、有宫内膜腔的残角,不与单角子宫相通。
3、残角内无内膜腔。
4、无残角。


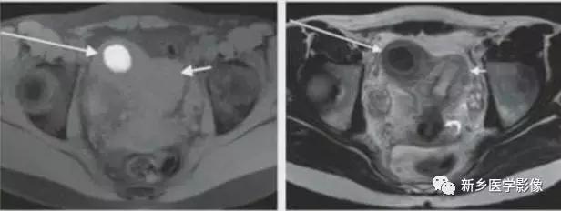
上图:单角子宫(II-B残角,有内膜腔,不相通):右侧残角宫腔内积血,为短T1长T2异常信号。左侧单角子宫,见带状结构,呈香蕉样。

上图:II-D无残角:右侧单角子宫,左侧无残角
III:双子宫

双子宫:子宫和宫颈完全不融合,两宫角完全分离,宫颈两个,阴道75%
伴分隔。

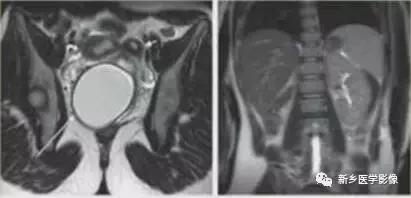
上图:双子宫:双侧子宫及宫颈完全分离


双子宫:双侧子宫完全分离,右侧阴道积血(阴道斜隔),宫腔积血,呈长T2信号。
右侧先天性肾缺如。
IV:双角子宫

左图:完全双角子宫,分隔延伸至宫颈内口或外口。
右图:部分双角子宫,分隔局限于宫底。
子宫上部不融合,下部及宫颈融合。宫底凹陷>1cm,双侧宫角分离。宫颈有或无分隔,25%伴有纵隔。

双角子宫:不完全型,宫底凹陷,上部子宫不融合,子宫纵隔未达宫颈内口水平。


双角子宫:完全型
V:纵隔子宫

左图:完全纵隔子宫,纵隔延伸至宫颈内口。
中图:部分纵隔子宫,纵隔未达宫颈内口。
纵隔子宫:宫底轮廓凸出、平坦、轻度凹陷<1cm,肌壁或纵隔深入内膜腔>1cm。
弓形子宫:宫底轮廓凸出、平坦、轻度凹陷<1cm,肌壁或纵隔深入内膜腔<1cm。

完全型纵隔子宫:短T2信号纵隔贯串宫腔,宫颈管及阴道上段。
MR诊断为完全型纵隔子宫伴阴道纵隔。

完全型纵隔子宫:宫底平坦,纵隔贯串宫腔和宫颈

不完全型纵隔子宫:宫底平坦,纵隔未达宫颈内口水平
VI:弓形子宫

纵隔子宫:宫底轮廓凸出、平坦、轻度凹陷<1cm,肌壁或纵隔深入内膜腔>1cm。
弓形子宫:宫底轮廓凸出、平坦、轻度凹陷<1cm,肌壁或纵隔深入内膜腔<1cm。


宫底凸出、平坦、轻度凹陷(小于1cm),肌壁或纵隔深入内膜腔小于1cm.
参考内容:子宫发育异常的MR诊断,北京大学第一医院,朱颖教授,在此深表感谢!!
来源:新乡医学影像
【版权声明】本平台属公益学习平台,转载系出于传递更多学习信息之目的,且已标明作者和出处,如不希望被传播的老师可与我们联系删除