每个人都想拥有一口健康漂亮的牙齿!牙齿对于我们来说有着非常重要的作用,如果我们的牙齿出现了问题,会给日常饮食和生活带来诸多不便。例如,生活中有很多人的牙齿缝隙是比较大的,吃饭时经常塞牙,说话时漏风,更有甚者说话时还会有口水喷出,不管从哪方面来说这都是不好的现象,给他们的生活带来了很大的不便。

那么,牙齿的缝隙为何会变大呢?
一、 牙齿生长发育不好
智齿:倾斜生长方向的智齿与前面磨牙之间形成一定的间隙,导致牙齿间隙大。
多生牙:有的儿童在上门牙的唇侧、中间或腭侧,往往多长出一至两个畸形牙,严重影响正常恒牙的生长排列,导致上门牙间隙增宽。

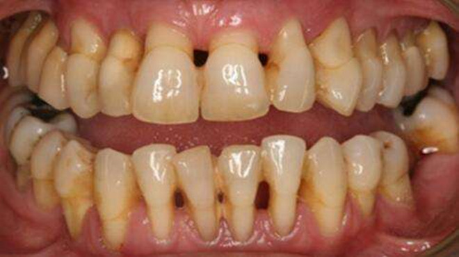
二、牙周炎
牙周炎患者的牙槽骨吸收,导致牙齿松动而引起间隙过大,牙周反复脓肿,牙齿松动,导致牙缝越来越大。

三、牙龈萎缩
一般情况下,牙缝因为牙龈策划而充满,而机械刺激、不正确的刷牙方式、牙龈炎症和牙周疾病,会使牙龈乳头发炎、出血,持续的牙龈炎症炎容易引起牙龈萎缩和牙龈乳头的高度降低,牙缝就越来越大。
如果你的刷牙方法不对,没有把牙齿表面尤其是牙龈边缘的牙菌斑清除干净,那么牙菌斑就会堆积,钙化成牙石,长期刺激牙龈,引起牙龈炎甚至牙周炎,导致牙龈出血、牙龈退缩、牙根暴露,牙缝就不可避免地出现了。
此外,患蛀牙比较多,或牙齿排列比较稀疏,有夜磨牙症等,同样会导致牙齿出现缝隙。

四、乳牙牙缝过大
儿童乳牙期、换牙期新长出的门牙缝过宽是一种正常现象,乳牙的牙缝太过密合,将来宽大的恒牙长出来时空间不够,生长出现偏差,会导致牙列不整齐,导致稀疏和缝隙较大。

五、牙齿移位
牙齿在牙槽骨内是会移动的,例如拔了牙齿而未将缺失的牙齿修复,就会导致相邻的牙齿移动倾斜,本来排列整齐的牙齿就会出现缝隙。
温馨提示:
一、有些儿童在出牙和换牙时出现吐舌、吮指、舔牙、咬铅笔、咬嘴唇等不良习惯,家长应及时纠正,否则会导致牙齿的畸形,影响孩子牙齿咬合的能力。
二、注意口腔卫生,这是牙齿健康的第一道防线。凡是有以上情况的患者,应及时去医院进行详细检查,根据病情及时做相应的治疗。

三、定期洗牙很重要

四、推荐使用毛软,顶端圆钝的牙刷;牙膏以含氟牙膏为佳,其中含的摩擦剂应粗细合适;同时要学会正确的刷牙姿势,大多数人可采用竖刷法或短横颤动法;刷牙要全面,防止菌斑结石复发。