6岁的小紫托着右手由妈妈带焦急匆匆的来到小儿骨科,这已经是她第二次骨折了。第一次是在三年前,小紫玩耍时,不慎从椅子上摔下,到附近医院拍片后诊断为左肱骨外髁骨折,移位不明显。接诊的成人骨科医生对其手臂进行石膏固定后就让小紫回家了。后来,小紫的父母发现她的肘关节发育严重外翻,于是带着小紫到湖南省人民医院小儿骨科进行了矫形手术。这次则是由于过马路避让汽车摔倒,右手撑地,怀疑骨折前来就诊。
像小紫一样,小朋友天性好动,难免发生摔倒、磕碰,而车祸的增加等都是儿童骨折高发的原因。统计表明,骨折的发生率在儿童损伤中所占的比例可高达50%以上,存在明显的季节性,夏季发生率高。
儿童骨折常见误区
儿童骨折 = 成人骨折的缩小版?
错!
儿童长骨可分为骨骺、骺板、干骺端和骨干4个解剖区,其中,骺板也称为生长板,是儿童特有的结构,如果损伤有可能引起生长障碍。因此,儿童骨折应找专业的儿童骨科医生来医治。
儿童骨干骨折复位=对齐?
错!
与成人相比,小儿骨折愈合能力强,速度快,再塑形能力强。因此,儿童骨干部骨折如果力线符合原则,纠正旋转和缩短移位,即使有一些错位,也能随着生长发育矫正而不留任何后遗症。对于骨干部的骨折一味追求对齐而进行反复复位,骨折的断端可能会引起局部血管和神经损伤,得不偿失。但是对于儿童骨干骨折,除了不片面扩大手术及内固定治疗适应症外,也不能过分依赖生长塑形。

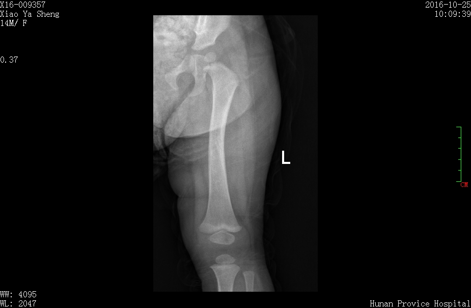
3月女婴股骨骨折正位片

3月女婴股骨骨折侧位片

2 月后复查正位片

2月后复查侧位片

1年后复查正位片,已完全愈合,自行矫形至正常
X线上没显示骨折=没骨折?
不一定!
为什么X线片上明明没显示骨折,医生还要求打上石膏,7天后复查,该不会是过度医疗吧?这是因为儿童发生隐匿性骨折几率很高,尤其在肘关节,这种骨折常规X线检查难以发现,需要经过一段时间或其他影像学方法才能发现。这类骨折如果不及时诊治,可能会导致骨折移位、畸形愈合,给患儿带来不可预测的痛苦和伤害!因此有经验的医师会要求给患肢打上石膏,并嘱咐7天复查。
儿童骨折只打石膏就可以了?
不一定!
治疗方法的选择要根据骨折的情况具体分析,确实有部分儿童骨折经过手法复位后,打上石膏外固定就可以了,但骨骺骨折、关节内骨折等需要及时手术治疗,以免引起畸形愈合导致残疾。
手术对儿童伤害太大?
非也!
对于必须手术治疗的骨折儿童,家长认为伤口太大,孩子太遭罪,心痛不已。其实,随着科技与医学的飞速发展,目前微创技术治疗骨折疗效显著,一些本来要开"大刀"的手术现在很小的切口就可以达到同样的效果或者更好的效果。
我科采用小切口微创技术治疗儿童肘部骨折,切口小,术后恢复快,功能好,治疗效果显著提高。
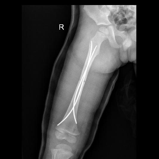
我科采用弹性髓内钉技术治疗儿童四肢骨干稳定性骨折,相比传统手术技术,切口小,创伤小,不影响骨骺生长板,不给生长带来麻烦。


如何判断儿童骨折
1、局部有疼痛和压痛感,孩子不愿活动,且活动后疼痛可能加重。
2、局部出现肿胀,皮肤可出现变色。
3、严重时肢体出现畸形,如成角、缩短、扭曲等。
骨折后如何护理
1、保持患儿的石膏清洁干燥,防止石膏沾水、被大小便污染。
2、注意观察患肢末端(手指/脚趾)血运、颜色、皮温、感觉、肿胀等。
3、石膏内皮肤瘙痒时,轻拍石膏,切勿使用坚硬物抓挠,以免掉进石膏内形成压疮。
4、术后适当抬高患肢,鼓励患肢末端早期进行功能锻炼,以利于消肿。
5、上肢术后病情平稳时,应避免患儿久卧,鼓励下床活动;下肢骨折术后,应定时为患儿翻身,更换体位,防止压疮。
6、石膏拆除后,患肢先进行热敷、被动活动,以轻柔为主,并逐渐增加患肢主动活动。
7、麻醉后以清淡易消化饮食为主,胃肠功能恢复后可食富含蛋白质、维生素和粗纤维的食物。