在过去几年中流行的瓷牙由于其良好的修复效果和适中的价格而受到众多牙友的认可。但是,随着时间的流逝,金属内冠的材料,再加上当时的技术可能并不完整,许多瓷牙在使用过程中就开始暴露出问题,甚至损坏了原来的真牙,瓷牙一旦发生以下情况,就不能再拖延了,必须拆除。

一、烤瓷牙的性能“浪费”
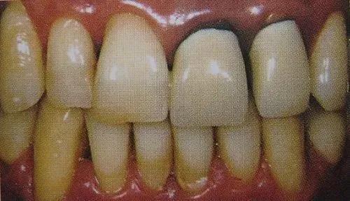
牙龈边缘变黑
在长期佩戴过程中,一些非贵金属瓷牙,例如镍铬合金,钴铬合金等,金属会在口腔中氧化成灰色氧化物,并长时间沉积在牙龈附近,导致牙龈上出现黑线,既不漂亮也损害牙周健康。

自身真牙龋坏
如果医生备牙不符合标准,牙齿模型不精准,烤瓷牙齿加工技术不到位,佩戴后容易出现,边缘不密合,细菌会进入冠里面并腐蚀冠内的真牙,整个牙齿会慢慢龋烂,因此必须拆除此类瓷牙。
牙周炎
做烤瓷牙之前,牙龈牙周没有做一个详细的评估,如有牙龈炎症,牙龈红肿等的问题,在没有治疗或治疗不到位的情况下安上了烤瓷牙,会导致牙周炎加重,牙龈出血、萎缩,出现牙齿松动甚至脱落的危机。

烤瓷牙崩裂
烤瓷牙材料不良或由于使用不当导致瓷器破裂,破裂部分的边缘锋利,金属会暴露出来,这很容易对舌唇黏膜导致伤害,必须将其更换。
二、牙冠全瓷牙

随着牙科技术的发展,全瓷牙正逐步取代金属瓷牙,成为牙齿修复的首选方法,全瓷牙齿完全由陶瓷切割和烧制而成,没有金属内冠,有效避免了金属过敏,牙龈退缩和黑牙龈纹的问题。
形状和颜色更加自然逼真,磨牙更少,可以更大程度地保护牙齿。除了选择正确的材料之外,还需要医生的技术补充以使牙冠和牙齿紧密贴合,以确保修复后的修复。为了让牙齿使用时间更长,应将那些该拆的烤瓷牙拆掉。