近年来,长“双排牙”的小朋友越来越多,从幼儿园到小学比比皆是......在家长无微不至的关怀下,恒牙萌出,乳牙滞留,孩子长出了“双排牙”。

孩子六岁,乳牙未退,又长出新牙,这是她长出的第一颗恒牙,现在成了双排牙,医生,乳牙是拔掉啊,还是顺其自然不用管呢?
孩子前两个月开始喊牙疼,有颗下牙松了。前两天发现下牙里面的恒牙已经冒出一大截了,乳牙也摇摇晃晃的就是不掉。身边的人都说,必须得拔掉乳牙。这是真的吗?
孩子直到8岁才开始有换牙迹象,但旧的乳牙依然 " 坚挺 ",没有脱落,下牙齿中间长出的两颗新牙,被挤成 " 倒八字 " 的形状,中间还产生了半颗牙的空隙,看上去就像两排异形牙,极影响美观。这可怎么办呀?

1.什么是“双排牙”
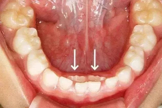
儿童换牙期,乳牙脱落和恒牙萌出关系十分密切。孩子六七岁时,乳牙就已经基本完成使命,自动脱落,随后恒牙逐渐萌出。但是,有些孩子恒牙已经长出来了,而相应的乳牙却迟迟不肯“退位让贤”,恒牙被迫“委曲求全”,从后面萌出,形成一前一后双排牙。在口腔医学中,这种情况被称为乳牙滞留。
2.双排牙形成的原因
第一,营养过剩。营养供给好,牙胚发育早,乳牙没脱落时,恒牙等不及就冒头了。
第二,饮食精细。食物过于松软、精细,乳牙牙根未得到充分的刺激和锻炼,和牙槽骨紧密相连,不易脱落。
第三,乳牙病变。乳牙出现龋坏,情况严重时会导致乳牙根吸收障碍,导致乳牙不能及时脱落。
3.“乳牙会自然脱落不用拔”是错的
“双排牙”一般在七八岁的孩子中最为常见,通常发生在下牙,也有上牙长双排牙的现象。
双排牙的出现,从临床医学上讲,是由于恒牙顶乳牙的位置发生了偏差。出现双排牙,不及时治疗可诱发其他问题。

一般情况下,“双排牙”的危害有以下4点:
①、导致新生恒牙萌出异常,对孩子颌骨发育、咀嚼功能、面部美观导致影响。上颌的乳牙滞留,最有可能会导致反合,也就是俗话说的“地包天”,而下颌最常见的就是牙齿排列不齐。
②、不利于牙齿清洁,牙齿间滞留的食物残渣,容易形成牙垢和牙结石,导致口臭。
③、可能诱发龋齿、牙髓炎、根尖周炎等口腔炎症性疾病。
④、如果产生炎症,局部含有细菌微生物的慢性炎症病灶,其中的细菌及其毒素通过血管及淋巴管被带到其他器官和策划,当机体的抵抗力降低时,这些远离患牙的策划器官也可能发生病变,引起机体一系列的疾病比如心肌炎、肾炎、心内膜炎、眼疾、风湿性关节炎等问题。
很多家长认为“乳牙会自然脱落不用拔”,这是错误的,这主要看恒牙萌出时间与乳牙脱落时间。

4.双排牙到底要不要拔?
拔不拔牙,首先要看恒牙萌出的高度,当恒牙只萌出1/3或者2/3,且前排牙齿还没有松动的情况下,建议家长要有耐心,让孩子多吃硬的食物,比如啃苹果、咬玉米等生理性的刺激,以促进其自然脱落。
如果出现恒牙已经萌出,乳牙尚未及时正常脱落,应拔除未脱落的乳牙。因为未脱落的乳牙会占据相应恒牙的位置,导致新萌出的恒牙侧方萌出,导致牙列不齐。如果不及时拔掉,等它们完全自行脱落,还需要三四个月到一年的时间,这对于恒牙的生长有很大的影响。
如果其他异常情况,家长要及时带孩子去看牙医。

5.如何预防孩子出现双排牙?
首先,家长要循序渐进地给孩子吃一些硬度适中、可撕拽的食物。如,可以给孩子啃个苹果,啃甘蔗、玉米、花生等耐嚼的食物,这样做保持对乳牙良好的刺激作用,促使乳牙按时脱落。家长应该监督孩子,纠正孩子的不良习惯,例如:咬唇、咬舌、吹口哨、咬铅笔等。
其次,家长要让孩子培养良好的卫生习惯,定时好好刷牙。少吃甜食糕点,少喝糖分高的饮料,进食后及时漱口刷牙。
双排牙拔不拔,要具体情况具体分析。如果家长不确定,建议及时带孩子到口腔诊所、医院诊治。
切勿耽搁!