本期博览群术带来青海红十字医院神经外科姚凯华教授团队应用Tubridge®完成一例夹层动脉瘤救治。
基本资料
男,32y
主诉:突发晕厥1小时余,头痛、恶心、双眼视物不清4天;
现病史:2020年4月10日13:20左右如厕时突发晕厥,约1小时后他人听到呼救声后发现患者倒卧于地,周边呕吐物,患者可发音,无对答,20分钟后恢复意识,感头痛,头颈部劈裂样剧痛,恶心,未吐,双眼视物不清,急送格尔木市健桥医院救治。
头颅CT提示:蛛网膜下腔出血,药物治疗4天后呼叫青海红十字医院空中医疗救援,我院医护乘救护飞机接回院进一步诊治。

头颅CT
查体:嗜睡状,G.C.S13分,粗测双眼光感,颈抵抗阳性,余无神经系统阳性体征。Hunt-Hess Ⅲ级,改良Fisher分级:4级。眼科查体:双眼玻璃体积血,可及视网膜片状出血。入院急诊在局麻下行DSA,结果示:左侧椎动脉PICA远端夹层动脉。
诊断
- 左侧椎动脉PICA远端夹层动脉瘤
- 自发性蛛网膜下腔出血
- 双眼Terson综合征
手术材料
- 双侧6F鞘
- 6F Envoy,5FChaperon
- Trexcess 14 0.014
- Headway-17,T-track 0.029
- Cosmos 5mmx10cm,4mmx8cm、Helical soft 3mmx8cm、2mmx6cm两枚
- Tubridge® 3.0mm×30mm
术前测量


左侧椎动脉V4段,小脑后下动脉远端夹层样改变,长度16.96mm,夹层最宽处4.48mm,椎动脉近心端2.40mm,远心端2.21mm。
手术过程
患者全麻下行“左侧椎动脉夹层动脉瘤Tubridge®支架辅助栓塞术”。患者取仰卧位,常规消毒铺巾,Seldinger技术穿刺左股动脉,置入6F鞘,穿刺右股动脉,置入6F鞘。在0.035超滑泥鳅导丝带领下,“路途”指导下分别置入6FEnvoy,5FChaperon导引导管于左侧椎动脉V2段,分别Trexcess.014带领下置入T-track入左侧大脑后动脉P1段、Headway-17入夹层处。
循Headway-17置入Cosmos 5mmx10cm,调整成篮满意,脊髓前动脉保护良好。3.0mm×30mm Tubridge®支架入T-track,缓慢分阶段成功释放,覆盖夹层及首枚弹簧圈,解脱弹簧圈,顺序置入4枚弹簧圈。
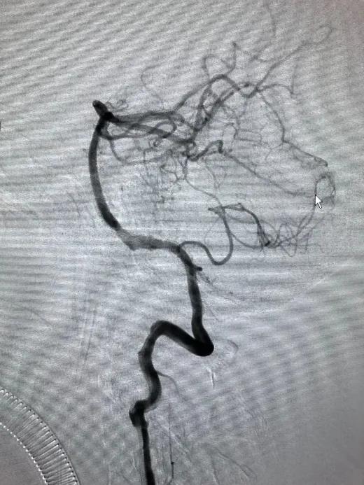
术后造影


造影见载瘤动脉通畅,支架打开、贴壁、覆盖满意,夹层动脉瘤未显影,脊髓前动脉显影良好,结束手术。
患者即刻麻醉清醒,对答准确,四肢活动、感觉正常,安返病房。
术者思考
该患者为青年男性,左侧椎动脉(优势)PICA以远夹层动脉瘤(破裂),累及脊髓前动脉,治疗血管重建为目标。
手术治疗效果最佳的方式为血流重建装置置入,夹层动脉瘤破裂加弹簧圈辅助。患者血管路径、病变部位血管条件均较佳,选择镍钛合金金属丝的Tubridge®,可提供良好的贴壁性和夹层所需的支撑力。选择较长支架定位准确,覆盖病变两端尽可能多的正常血管,覆盖夹层近心端内膜破口,为夹层愈合提供网架支持。
医生简介
姚凯华 青海红十字医院
神经外科,主任医师。1993年毕业于青海医学院临床医学系,现任青海省医学会神经外科分会副主任委员,中国医师协会神经介入分会委员,中国老年病协会神经病分会委员,北京市老年病学会神经病分会委员。
本文首发于脑血管介入(id:i-neuro)