
最近总是阴雨绵绵,急诊病人也随之增多起来。有一天120送过来一位摔倒的老人,这个老人的病情让我的心情如同过山车一般起伏不定。通过这个老人的病情,我们再次得到经验教训:主动脉夹层可以完全没有疼痛的症状!
原来这是一位70岁的独居老人,事发当天清晨老人冒雨外出,摔倒在马路边。具体是自己摔倒还是其它原因已经不得而知,但是可以肯定的是直到老人的外衣被雨水打湿之后才有路人拨打120。
老人被送进医院后已经恢复了一些神志,不停的问:“这里是什么地方?”。但是可惜的老人已经想不起自己的住址和子女的联系方式,好在老人并没有任何的不适,而且血压、脉搏、心率、呼吸、指脉氧等生命体征基本平稳。在报警后等待警察联系家属的同时,我们为老人开通了绿色通道,先治病救人,费用问题以后再说。
下面这张图便是老人当时的照片,大家可以明显的看见患者的双下肢位置似乎有些不对劲,因为左下肢明显的外展。会不会存在骨折?因为大多数老年人都存在骨质疏松,如果摔倒后有可能发生股骨颈骨折或者股骨干骨折等情况。但是事实上经过外科医生会诊后基本确定老人不存在骨折。
就在我以为这位生命体征平稳的老人没有大碍的时候,老人开始有了自己的症状:“我后背发凉一直不舒服!”。因为老人摔倒在路边没有人扶,所以衣服已经被雨水打湿,会不会与此有关?但是老人一直在反复唠叨后背发凉这个问题,即使是已经为老人更换了衣服做好了保暖工作。

因为老人除了反复追问自己身处何地和后背发凉之外,并不能准确回答问题,所以不可能了解患者既往的病史。就在我一筹莫展的时候,有了意外的发现,原来在老人的包袱里有着一个破旧的日记本,里面没有规则的记录着一些事情。最重要的是里面记录了老人平日里使用的一些药物,包括降压药和降脂药、扩血管药等等。
有了这个发现之后,我决定为这位已经开通绿色通道的老人完善胸部和腹部CT。其实当时我的内心比较矛盾,因为老人的生命体征是平稳的,而且除了后背发凉之外并没有不适。其次,从老人的衣着打扮来看经济并不宽裕,而胸部和腹部CT的费用不菲。但是,我的内心总是不安,隐约有一种不好的感觉。
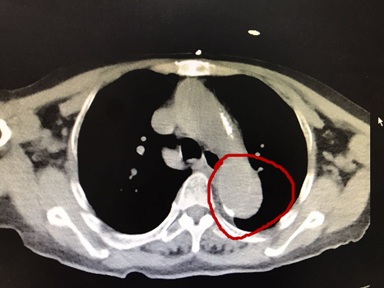
事情总是朝坏的方向发展,放射科打来电话报告危急值:主动脉夹层A型!下面就是患者CT中的截图,红色圈中的便是主动脉,因为这是普通CT平扫,所以有可能显示不清,如果仔细观看的话,就会发现主动脉内已经分为真腔和假腔!

教科书上告诉我们主动脉夹层患者会有明显撕裂样疼痛,但是现实中这种情况很少见。最起码两年来我只遇见过一例剧烈胸痛的主动脉夹层患者,其余的大多只是轻微的胸痛或腹痛,甚至也有如这位老人一般根本没有疼痛的患者存在!
主动脉夹层指的是主动脉腔内的血液从主动脉内膜撕裂口进入主动脉中膜,并沿着主动脉长轴方向扩展,导致主动脉真假两腔分离的一种病理改变。而这位没有明显症状的老人,夹层是起源于升主动脉,已经扩展超过主动脉弓到降主动脉。
很多人想当然的认为主动脉夹层必定有剧烈的疼痛感,事实上这想当然般的大错特错,如果死抱着教科书必定会导致惨痛的教训!比如如果夹层累及颈动脉、无名动脉的话,患者可以只有头晕或者精神异常的表现。如果夹层压迫了喉返神经,患者可以突然出现声音嘶哑。如果夹层撕裂扩展到第2腰椎水平,患者可以突然出现瘫痪等等!

最后这位老人的子女因为各种原因,放弃了积极治疗,将老人带离了医院。其实对于老人来说,回家便意味着死路一条。因为对于主动脉夹层来说如果不处理,两天内的死亡率在30%-50%之间,一周内死亡率可达90%!
最后我想提醒大家的是:
1、如果老人,特别是有高血压、糖尿病等慢性基础病的老人出现了胸痛、腹痛,尤其是在没有腹泻的情况下,一定要及时就医,排除主动脉夹层、心肌梗死等严重的致死性疾病!
2、如果条件准许的话,不要让老人独自居住。
让更多人了解更多一点!