医脉通导读
肺结节通常是指CT或X线中发现的直径≤3cm的类圆形或不规则形病灶。其中直径≤2cm的类圆形病灶又称为肺部小结节。根据结节的密度,可分为磨玻璃结节(GGO)和实性结节。
本文内容为出版社授权医脉通使用,未经授权请勿转载。
GGO是肺部小结节中较为特殊的一类,是指影像学上表现为模糊而不透光的模糊影,这种密度影对伴行的肺血管并不产生遮盖效果,由肺实质异常改变所致。随着低剂量CT广泛应用于肺癌筛查,GGO 的检出率明显上升。随着对GGO认识的不断深入,对其关注度亦逐年增加(图5-1)。GGO的标准定义是“在CT图像上肺密度轻度增加,支气管、血管束清晰可辨,形似磨玻璃”。定义中的这些特征是由部分空气填充,肺间质增厚,部分肺泡塌陷,或者增加的毛细血管血流量等导致的。GGO可为多种不同疾病的影像学改变,主要包括恶性肿瘤、癌前病变及其他良性病变(炎症、肺纤维化、出血渗出等)。
相比于实性结节,GGO的重要意义在于其高恶性肿瘤诊断率。GGO在影像学上又分为两类,一类叫作单纯性GGO(pGGO),没有实性成分,另一类叫作混合性GGO(mGGO)或部分实性磨玻璃结节,除了纯GGO部分外还有实性部分。在恶性的部分实性GGO中,实性部分具有侵袭性,而纯GGO部分则为原位腺癌。所以GGO的实变被认为是一个强烈的恶变信号。也有研究报道,根据实性成分所占的比例,可以判断恶性肿瘤是否具有侵袭性。据统计,约20%的pGGO在随访过程中发展为mGGO;约40%的mGGO在随访中增大或实变区增大。
GGO发展缓慢,通常从原位癌恶变需要花费数年时间,需要长时间的随访。按照Fleischner协会关于肺部小结节的治疗指南,小的GGO要求2年以上的随访。但有的情况下,恶性磨玻璃病灶可以在大小上保持36个月不变。GGO常常预后较好,它们的病理特征通常是低侵袭性的,通常这些肿瘤被认为是可以外科切除的。而对于原位腺癌和微小侵袭性腺癌,治疗方式应该不仅局限于外科切除术,还应该包括非侵入性治疗方法,比如射频消融术、冰冻消融术、立体定向外科。因此,在这些治疗开始前,对GGO的策划学诊断确认是非常有必要的。

图5-1 1978-2018年的40年间,以GGO为关键词,在Pubmed数据库中检索到文章的年发表数量
虽然有研究认为CT上的不同形态有助于区分恶性GGO和良性改变,但一般来说单纯依靠CT 检查来区分GGO的良恶性是非常困难的。CT引导下活检是一项成熟的诊断技术,主要用于实性肺部病灶,但是关于CT 引导下经胸廓细针穿刺活检GGO的报道大部分都是病例数较少的单中心研究。具体见表5-1:
表5-1 CT引导下经胸廓细针穿刺活检GGO的单中心研究汇总

在2014年发表的一个系统的、大样本的评估CT引导下经胸廓细针穿刺活检对于GGO的诊断效益的Meta分析发现,对于GGO病灶的CT引导下经胸廓细针穿刺活检具有高特异度(0.94;95%CI,0.84~0.98)和高灵敏度(0.92;95%CI,0.88~0.95)。SROC曲线呈现了诊断试验的总体诊断效率,并且折射了敏感度与特异度之间的变化关系。基于SROC曲线的Meta分析显示敏感度和特异度的最大交接点是0.92,曲线下面积(AUC)是0.97,提示高水平的总体精确度。诊断比值比(DOR)是另一个可以折射诊断实验准确度的方法,它将特异度和灵敏度合并成一个值;在该研究中,DOR是131.38(95% CI,39.6~436.0)。这些结果提示CT引导下经胸廓细针穿刺活检对GGO的诊断是非常有价值的。
不良事件的发生率在可接受范围内。气胸是经胸廓细针穿刺活检最常见的并发症,发生率为16.0%~51.8%。在341位患者中,只有7位患者需要留置胸腔引流管。咯血发生率为8%~23%,没有患者需要治疗。从穿刺技术层面上来看,GGO的穿刺活检与普通肺结节的穿刺活检基本类似,同样需要注意避免引起气胸或出血的危险因素,从总体诊断效能及并发症发生情况来看,与普通肺结节大体一致。但也有部分研究者认为,GGO本身为经皮肺穿刺活检发生出血的一个危险因素,分析其可能的原因主要是GGO的体积通常较小,在使用全自动活检枪进行切割式活检时会损伤到更多的肺策划及肺内血管,导致较为明显的肺内出血。我院完成的GGO穿刺活检同样表现为较为明显和广泛的肺内出血征象(图5-2~图5-4)。这一点在小结节的穿刺活检中同样经常出现。因此,我们要求对于小结节/GGO的穿刺活检,务求“一击必中”。因活检取材易出现较明显的肺内出血征象,如取材不满意,即使再次进行CT扫描,亦可能无法为我们提供有效的影像引导,导致最终无法进行有效的调整,导致活检取材失败。

图5-2 A~C. 显示患者右肺下叶后基底段mGGO,选取俯卧位进行穿刺活检;D~F. 显示穿刺活检的实时CT影像,选取最短的穿刺路径,并尽量使同轴穿刺针与较粗大的肺内血管平行。图中显示同轴穿刺针到达预设位置,并未紧邻靶结节表面,为活检预留好空间,以免损伤该结节远端的肺内血管;G~I. 显示完成活检后,拔除同轴穿刺针。再次进行CT扫描,见靶结节活检区域明显的肺内渗出性改变,提示较严重的肺内出血。病理结果示:(右肺)浸润性腺癌

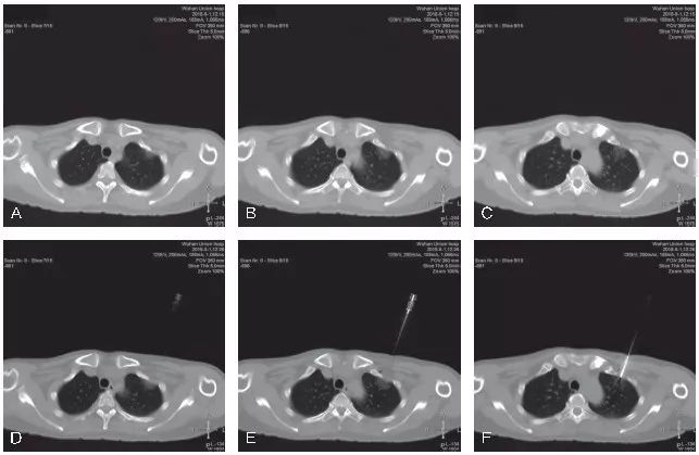
图5-3 展示了1例pGGO的CT引导下经皮穿刺活检
A~C. 显示患者左肺上叶前段胸膜下pGGO,选取仰卧位进行穿刺活检;D~F. 显示穿刺活检的实时CT影像;G~I. 显示活检完成后,拔除同轴穿刺针,再次进行CT扫描,未见明显气胸及肺内出血征象。病理结果示:(左肺)浸润性腺癌

图5-4 展示了1例mGGO的CT 引导下经皮穿刺活检
A~C. 显示患者右肺下叶后基底段mGGO,实性成分处可见胸膜牵拉,选取俯卧位进行穿刺活检;D~F. 显示穿刺活检的实时CT影像,可见同轴穿刺针前端位于mGGO的实性成分处;G~L. 显示活检完成后,拔除同轴穿刺针,再次进行CT扫描,未见明显气胸及肺内出血征象。病理结果示:(右肺)肺泡腔扩张伴肺泡间隔炎性细胞浸润及策划细胞聚集,局灶浆细胞聚集,未见明确肿瘤性病变,请结合临床。