在飞利浦MR序列名称中,我们会发现PSS这个序列名称后缀,那么PSS是什么意思?有什么用?又应该怎么使用呢?我们本期就来和大家一同探讨PSS这个技术。
PSS-TSE(Pseudo-Steady State TSE) ,从名称上可以看出,PSS技术是用于快速自旋回波(TSE,Turbo Spin Echo)序列。
SE&TSE

图1.SE序列,经典的90°激发,180°重聚焦
SE序列的缺点就是成像时间比较长,每一次激发只能采集一个回波,总结成一个字来说就是慢。
如果想把SE的图像对比度好,信噪比高的这种特点发挥好,时间又不想太长,就需要对序列进行一些改进,那么就有了快速自旋回波序列,也就是TSE序列。

图2.TSE序列
TSE的序列结构是首先它有一个90°的射频脉冲,然后180°的重聚脉冲,再采集信号。单看前面这一部分,它就是一个SE序列。
为了给SE加速,在采集完这个信号后,再给予一个180°的脉冲,继续采集信号。这样重复多个180°脉冲,其实是一个反向翻转、聚相、然后再反向再翻转、再聚相的反复循环过程。也就是说在一个90°激发脉冲后,有多个180°重聚脉冲,采集多个信号,于是K空间中的多条线可以在一个90°脉冲后采集,然后进行填充,这样的话图像采集的速度就加快了。
TSE序列特点:
优点:
- 增加TSE factor,有效缩短采集时间
- 受磁场不均匀影响较小
缺点:
- RF功率增加,SAR升高
- TSE factor过长,会导致信号衰减,图像模糊
- 脂肪过亮,带来更多伪影
但在实际扫描过程中,TSE序列不使用180°重聚焦,而是使用120°作为重聚焦角度。

图3.signal、SAR与θ的关系
从上面的公式可以看出,信号强度与θ成正相关。SAR与θ也是正相关。也就是说θ越大,信号强度越高,但SAR值也会上升,而SAR上升幅度要大于信号强度。因此为了平衡信号强度与SAR值,我们在临床工作中常使用120°作为重聚焦角度,而不是180°。
但使用非180°重聚焦,会带来一个新的问题。非180°重聚焦,会使水平方向产生的横向磁化矢量不能完全衰减,在下一次重聚焦时,就会产生新的信号。

图4.FID&SE&STE
在第一个α1之后,会产生一个自由感应衰减信号,就是FID signal。第二个射频脉冲会对第一个射频脉冲残存的横向磁化矢量做一个重聚焦,于是会在第三个射频脉冲这里产生一个自旋回波信号,SE signal,与FID信号产生一个叠加。在第四个回波处又产生了一个新的回波——刺激回波(stimulated echo,STE)。

图5.TEequiv
由于PSS中引入了STE,这部分磁化矢量有一段时间被保存在纵轴上,并没有经历完整的T2衰减,采集信号经历的实际T2衰减时间要小于回波时间。因此,PSS序列中引入了等效TE(TE equivalent)的概念。
参数设置

图6.参数设置
在contrast栏Refocusing Control中设置。
- 对于T2加权图像,使用"T2-optimized"选项:a. 使用小角度聚相脉冲,可以抑制流动伪影;b. 使用较大的"mid. angle"可以减少图像模糊;c. 使用较大的"max. angle"可以提高SNR。
- 对于T1加权图像,使用"T1-optimized"选项:a. 只适用于2D, MS和M2D;b. 如果有截断伪影,可以尝试加一个startup echo;c. "min. angle"和"max. angle"之差太大(~40°)可能导致图像模糊;d. 减小"min. angle"可以提高T1权重,同时可以减少运动伪影;e. 增大"max. angle"可以提高SNR,但是同时也会增大SAR。
- 做任何改动,都要随时 注意 TEeff / TEequiv的变化 。

图7.PSS推荐角度
PSS的优势
PSS的优势:
- 降低SAR:由于使用可变翻转角,部分重聚焦角度有所下降,SAR与角度的平方成正相关,因此角度减少的同时,SAR也会降低。
- 增加图像锐利程度

图8.PSS增加图像锐利程度

图9.常规TSE与PSS-TSE
上述两图对比可以看出,使用PSS-TSE的图像中椎体边缘及终丝锐利度提高,运动伪影也有所减少。
- 抑制血流信号

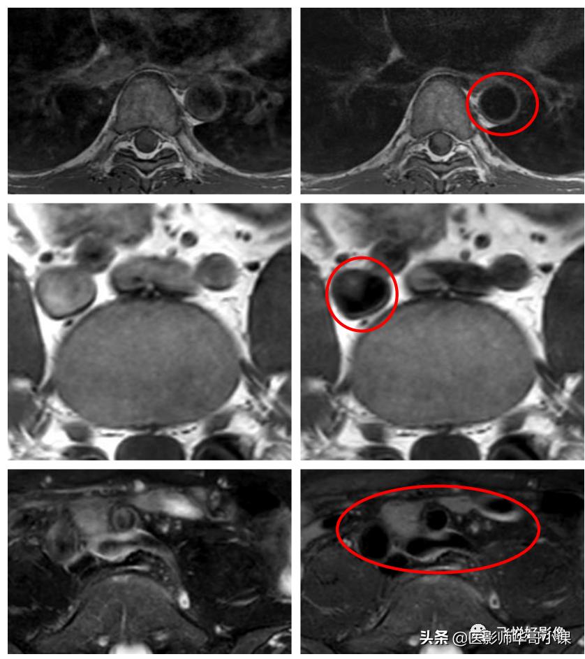
图10.左图为常规TSE图像,右图为PSS-TSE
我们可以从上图中看出,使用PSS技术,红圈中血管信号被抑制,呈低信号。
临床应用

图11.PSS在盆腔中的应用,使用PSS图像锐利度提高,血流信号被抑制。

图12.PSS在头颅的应用,使用PSS血管搏动伪影减少

图13.PSS在膝关节中的应用,使用PSS能减少血管搏动伪影
转自: MR Education