不少人表示,就喜欢笑起来好看的人
会被一口大白牙圈粉

而在当今社会,早已不再流行笑不露齿了
更重要的不是说爱笑的女生运气不会太差吗?

所以怎么能因牙齿黄、牙齿缺损这种小缺点
就削减我们的魅力呢?
如果开怀大笑时露出一口黄牙、缺损牙
那绝对就迷之尴尬了
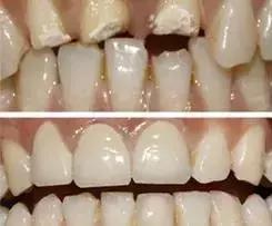
所以今天小编就给大家介绍两种牙齿修复方法
——牙贴面、烤瓷牙

牙贴面
牙贴面是一种用牙科材料制成的壳状薄片
用它们被粘结在牙齿的前侧表面
以改善牙齿的外观

使用时间
陶瓷贴面通常能使用5至10年
牙贴面并不需要特别护理
只需要保持良好的口腔卫生习惯
和平常一样刷牙和使用牙线就可以了
适合人群
主要适用于釉质发育不良
变色牙(氟斑牙、四环素牙等)
牙齿畸形(牙缝大,过小牙,错位牙)等
例如牙齿染色

当牙齿染色过重时
无法用炫彩美白改善
使用牙贴面
可以使牙齿染色的情况得到很大改善
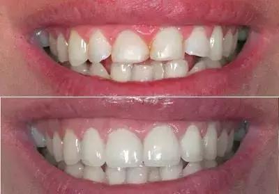
牙齿受损:

过度磨损、过量饮用碳酸饮料
牙齿小缺口以及意外断裂
都可能导致牙齿出现严重破损
使用牙贴面可以把上述问题都进行隐藏
牙缝过大:

牙贴面可以遮盖过大的牙缝
对不想用正畸的方式来关闭牙缝的人来说
是一种方便快速的方法
烤瓷牙
烤瓷牙是恢复牙齿缺损
达到功能和美观要求的修复牙冠。
从结构上分内冠和釉面瓷层
从质地上分为金属内冠、和全瓷内冠烤瓷
主要针对牙齿缺损
根管治疗后牙齿容易裂
容易崩掉或补物不容易补牢的情况下做

使用时间
一颗经过正规医师严格
规范、正确的操作、设计、制作的烤瓷牙
戴在口内的使用年限
普通合金烤瓷经研究得出
65%左右的能使用20年以上
全瓷牙的寿命比普通烤瓷牙要长
适用人群
01.烤瓷牙适用于缺牙患者人群
对于牙齿缺失的患者
如果缺失牙齿的数目相对比较少
而且相邻的牙齿较为健康
经过医生的检查确定后
可以选择烤瓷牙修复缺牙

02.烤瓷牙适用于变色牙患者人群
变色牙齿如四环素牙、氟斑牙等
如果不适合用其他方法美白
可以考虑烤瓷牙

牙贴面和烤瓷牙的区别在哪里?
区别一 适应症不同
牙贴面适合轻微损坏的牙齿
而对于牙齿严重缺损的则无能为力
烤瓷牙适合几乎所有类型牙齿
只要保留牙根,就可以做烤瓷牙

区别二
磨牙程度不同
牙贴面用于修复轻微受损的牙齿
烤瓷牙会根据牙齿损坏的程度来磨牙
区别三 使用寿命不同
烤瓷牙由于是整体套在真牙上
且与牙龈间有更好的连接
不论受力还是磨损,都会更加合理、科学
让它的使用寿命远远高于牙贴面

牙贴面和烤瓷牙都是美学矫正
主攻修复和美观功能
适用于轻微个别的牙齿不齐

对于牙齿修复的方法选择
还是需要根据个人情况选择
本文来源于网络;版权归原作者所有,如有违规、侵权请联系我们,本平台会及时做出处理。